Каверномы ЦНС. cavernoma.net

- -
- 100%
- +
Размеры каверном составляли от нескольких миллиметров до нескольких сантиметров в диаметре. Преобладали образования небольших и средних размеров (1,5—3 см в диаметре), но в ряде случаев каверномы достигали крупных и гигантских размеров (более 4 см в диаметре).
Табл. I. Распределение кавернозных мальформаций по локализации у 1272 больных, 1993—2011 гг.*

* При определении локализации учитывали как одиночные, так и множественные КМ. Из подсчета исключены «точечные» КМ. Сведения по КМ ствола представлены за 1986—2011 гг.
У 39 больных по данным клинического обследования установлена наследственная форма заболевания. В 23 семьях это предположение подтверждено результатами МРТ у кровных родственников (см. главу 14).
2.2. Сочетание КМ ЦНС с другой патологией
Сочетание кавернозных мальформаций с другой патологией ЦНС, а также с патологией других органов и систем установлено у 80 больных, что составило около 8% всех больных с каверномами. В эту группу не включали такие широко распространенные заболевания, как гипертоническая болезнь, атеросклероз, ИБС, сахарный диабет. Выявленные заболевания суммированы в табл. II.
Среди больных с сочетанной патологией в 20% случаев клинически проявилась только кавернома. У 44% больных клинически проявились как кавернома, так и другое заболевание. При этом симптомы каверномы и другого заболевания развивались в разной последовательности и с различными временными интервалами – от нескольких месяцев до нескольких десятков лет. В 28% случаев кавернома явилась случайной находкой. В 8% случаев установить, какое заболевание явилось причиной клинических проявлений, не представлялось возможным.
Табл. II. Сочетание кавернозных мальформаций головного мозга с другой патологией

* ВА, расположенные в непосредственной близости от каверномы, не учитывались. ** У одного больного могло быть несколько заболеваний
У 50-ти больных (64%) кавернозные мальформации ЦНС сочетались с другими заболеваниями нервной системы.
В 8 случаях это были сосудистые мальформации другого типа: АВМ или венозные ангиомы. Необходимо уточнить, что под «сочетанием» мы подразумевали наличие мальформации, структурно не связаной с каверномой. Случаи, когда при гистологическом исследовании удаленного образования обнаруживали ткань каверномы и другой сосудистой мальформации, отнесены в группу мальформаций смешанного типа и подробно обсуждаются в разделе «Морфология кавернзных мальформаций».
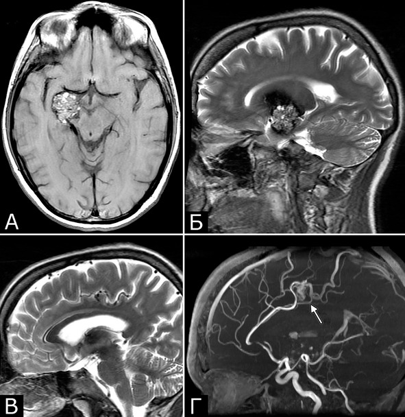
Сочетание каверномы с АВМ выявлено у двух больных, причем в обоих случаях клинические проявления заболевания были обусловлены АВМ, а кавернома явилась случайной находкой (рис. 1).
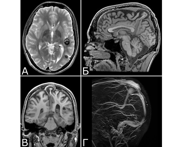
У 6 больных каверномы сочетались с венозными ангиомами и аномалиями венозной системы. Крупные патологические вены, расположенные в непосредственной близости к КМ, часто обнаруживают при МРТ или на операции, в связи с чем многие авторы рассматривают их как единую патологию (28, 93, 154, 351, 357). Тем не менее, в ряде случаев кавернозные и венозные мальформации можно четко дифференцировать как самостоятельные образования, особенно если они находятся в разных отделах мозга. У двух больных патология венозной системы представляла собой аномалию сразу нескольких крупных венозных коллекторов головного мозга (рис. 2).
Во всех случаях сочетания кавернозной и венозной ангиом клинические симптомы были обусловлены каверномами.
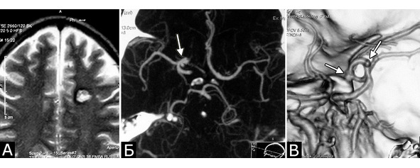
У 5-х больных с клинически проявившимися каверномами в ходе обследования выявлены бессимптомные артериальные аневризмы передних отделов вилизиева круга (рис. 3). Обращал на себя внимание тот факт, что в 4-х случаях аневризмы были множественными.
Довольно большую группу составили больные, у которых кавернома сочеталась с различными опухолями ЦНС. Чаще всего это были одиночные или множественные менингиомы различной локализации (3 наблюдения), опухоли пинеальной области (3 наблюдения), аденомы гипофиза (3 наблюдения), глиомы зрительного нерва (3 наблюдения).

Рис. 1. Б-ная Г., 27 лет. Сочетанная сосудистая патология мозга: КМ передне-медиальных отделов височной доли справа (А – МРТ, режим Т1; Б – МРТ, режим Т2); АВМ медиальных отделов лобно-теменной области справа (В – МРТ, режим Т2; Г – МРТ-АГ). Клиническое течение: редкие вторично-генерализованные судорожные эпилептические припадки, начинающиеся с судорог в левых конечностях

Рис. 2. Б-ной П, 22 г. Сочетанная сосудистая патология мозга: Множественные КМ головного мозга. Аномалия развития венозной системы мозга. А – КМ височной, теменной и затылочной долей слева (МРТ, режим Т2, аксиальная проекция). Б, В – аномалия развития костей и оболочек мозга в виде локальной деформации внутренней костной пластинки и губчатого вещества теменных костей в области впадения патологической вены в ВСС. Расщепление аномального ВСС на две лакуны, пролабирование мозга в область дефекта (МРТ, режим Т1, сагиттальная и фронтальная проекции). Г – аномалия венозной системы в виде отсутствия прямого синуса, формирования крупной патологической вены, впадающей в заднюю треть ВСС (МРТ-АГ, сагиттальная проекция)

Рис. 3. Б-ной К-ов, 37 лет. Сочетанная сосудистая патология мозга: КМ глубинных отделов лобной доли слева (А – МРТ, режим Т2); две аневризмы ВСА справа (Б, В – СКТ-АГ, аневризмы указаны стрелками). Течение болезни: за 6 месяцев до поступления перенес два генерализованных судорожных припадка. При МРТ выявлена КМ лобной доли слева, которая послужила причиной припадков. При СКТ-АГ выявлены две аневризмы ВСА справа (случайная находка). Лечение: 1-ая операция – клипирование двух аневризм ВСА справа. 2-ая операция – удаление каверномы левой лобной доли

Рис. 4.I. Б-ная С-ва, 51 г. Сочетаннная патология мозга
(см. далее)

Рис. 4. II. Б-ная С-ва, 51 г. Сочетаннная патология мозга:
1. Опухоль (менингиома) мосто-мозжечкового угла справа (А – МРТ с введением КВ, режим Т1, аксиальная проекция, Б – МРТ, режим Т2, сагиттальная проекция); 2. КМ верхнее-медиальных отделов левой гемисферы мозжечка (В, Д – МРТ, режим Т1, аксиальная проекция, Г, Е – МРТ, режим Т2, сагиттальная проекция. Стрелкой указана дополнительная тень гиперинтенсивного сигнала – косвенный признак венозной ангиомы). 3. Венозная ангиома (стрелки) левой гемисферы мозжечка (Ж, З – прямая АГ, венозная фаза). Клиническое течение: в течение нескольких лет – сильные стреляющие и ноющие боли в левой половине лица и головы

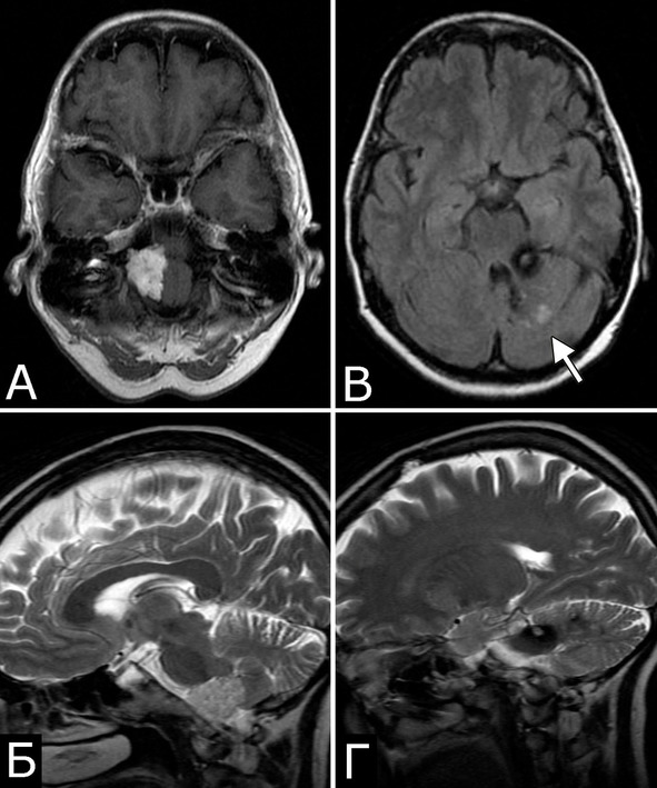
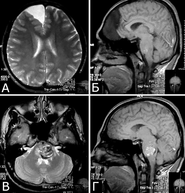
Рис. 5. Б-ной Е-ов, 30 лет. Сочетанная патология мозга: Большая арахноидальная киста правой лобной области, неуточненной этиологии (А, Б – МРТ, режимы Т2 и Т1, аксиальная и сагиттальная проекции). Крупная КМ ствола мозга на уровне средней и нижней трети варолиева моста, больше слева (В, Г – МРТ, режимы Т2 и Т1, аксиальная и сагиттальная проекции). Клиническое течение: острое развитие левостороннего гемипареза с последующим частичным регрессом

Рис. 6. Б-ная М-ич, 62 г. Сочетание кавернозной мальформации правой лобной доли (А – МРТ, режим Т1, аксиальная проекция) и ангиомы кожи щеки (Б)
Представляет интерес наблюдение, в котором выявлены сразу три типа патологии – кавернозная мальформация, венозная ангиома и опухоль, причем все образования располагались в задней черепной ямке (рис. 4).
Среди больных с внецеребральными опухолями у трех человек были опухоли головы (ретинобластома, лимфангиома лица, опухоль височной кости).
Другая церебральная патология была представлена мальформациями Арнольда-Киари I типа, арахноидальными кистами, рассеянным склерозом, тяжелой невралгией корешка тройничного нерва и другими заболеваниями (рис. 5).
Крайне редким следует считать случай сочетания множественных наследственных каверном с гепатолентикулярной дегенерацией (абдоминальная форма), которая клинически проявилась спустя несколько лет после появления симптомов, обусловленных каверномой зрительного бугра и среднего мозга (см. рис. 75).
Патология, не связанная с ЦНС, была представлена главным образом различными врожденными дефектами: дефектами, которые могут быть отнесены к дизрафическому статусу; сложным пороком сердца; аномалиями развития почек и другими заболеваниями.
Особого внимания заслуживают 4 случая врожденных гемангиом кожи, так как эта патология описана в литературе как генетически сцепленная с наследственными каверномами (рис. 6) (61, 66, 202).
У одной больной, скончавшейся после удаления каверномы мозжечка, при вскрытии обнаружена кавернома в околопочечной клетчатке.
2.3. Хирургическое лечение
Прямые хирургические вмешательства были выполнены 740 больным (58%). Подавляющее число операций заключалось в удалении каверномы. У больных с множественными каверномами удаляли одну или несколько каверном (однократное или повторное вмешательство). Нескольким больным выполнены повторные операции в связи с неполным удалением образований при первой операции. В отдельных случаях, при невозможности удалить каверному, вызывающую окклюзию ликворных путей, выполняли шунтирующие операции на ликворной системе. 55 больным было выполнено радиохирургическое лечение.
Показания и противопоказания к операциям, техника их выполнения и результаты подробно изложены в соответствующих главах.
2.4. Амбулаторное лечение и наблюдение
В случае отсутствия показаний к операции и отказа от нее больных оставляли под наблюдением. Многие их них получали консервативное лечение в виде постоянного приема антиконвульсантов. Повторные обследования включали проведение МРТ, ЭЭГ, коррекцию противосудорожной терапии. Некоторые наблюдавшиеся больные были в последующем оперированы, иногда спустя длительное время после первого обращения в институт.
Под наблюдением находились также оперированные больные. В этой группе дважды за последние 10 лет были проведены катамнестические обследования, направленные, главным образом, на оценку динамики эпилептического синдрома после операции (2, 23).
Таким образом, материал НИИ нейрохирургии представляет одну из самых больших серий кавернозных мальформаций ЦНС, представленных в литературе. Результаты морфологических исследований, клинических обследований больных, включая катамнестические исследования, опыт хирургических вмешательств, в особенности значительного числа операций по поводу глубинных КМ больших полушарий, КМ ствола мозга и спинного мозга, позволили составить представление по различным аспектам данной патологии.
3. Морфология кавернозных мальформаций
Классические описания макро- и микроскопического строения КМ принадлежат морфологам конца 19-го – первой половины 20-го века (233—236, 299, 230, 339). В России значительный вклад в изучение морфологии сосудистых мальформаций, в том числе, кавернозных, внесли исследования Ю. Медведева, Д. Мацко (20).
Существующие в НИИ нейрохирургии представления о морфологии кавернозных мальформаций основаны на анализе исследований материала, полученного во время удаления КМ (более 700 биопсий) интраоперационных данных, нескольких посмертных исследований мозга. Эти исследования, в целом полностью соответствуя мировым данным, позволили внести ряд дополнений, касающихся микроструктуры каверном и окружающих их тканей (2).
3.1. Макроскопическое строение
Кавернозные мальформации имеют характерный вид, который трудно спутать с каким-либо другим видом патологии. Они представляют собой округлые образования красно-синюшного или бурого цвета, с неровной, бугристой поверхностью, четко отграниченной от окружающей ткани (рис. 7).
Бугорки, образующие поверхность каверномы, представляют собой полости, заполненные кровью, которые либо плотно прилежат друг к другу, либо включены в строму каверномы в виде отдельных образований, легко отделяющихся от основного конгломерата и напоминающих горошину. Размеры венозных полостей, или «каверн», и их соотношение со стромой могут быть самыми различными. Некоторые каверномы состоят преимущественно из каверн с тонкими, быстро разрушающимися стенками. Размеры таких каверн могут быть достаточно крупными. При таком варианте строения в ходе хирургического вмешательства зачастую сложно обнаружить более или менее плотный участок, который может быть взят для гистологического исследования. Такие образования хирурги нередко характеризуют как «инкапсулированные гематомы».

Рис. 7. Вид каверномы на операции в процессе выделения (А) и после удаления единым блоком (Б)
На другом полюсе находятся «плотные» каверномы, состоящие преимущественно из тромбированных полостей и соединительной ткани. В некоторых из них можно обнаружить обызвествленные участки. Между этими крайними типами существует большое число различных вариантов. Эти особенности каверном хорошо определяются в ходе хирургического вмешательства, что позволило нам проанализировать частоту различных вариантов КМ при удалении мальформаций супратенториальной локализации (табл. III).
Наиболее часто встречались КМ, представленные множеством каверн, объединенных рыхлой соединительной тканью – более половины случаев. «Плотные» каверномы и каверномы, содержащие кальцификаты, встречались с одинаковой частотой. Такие КМ обнаруживали у больных самого разного возраста – от 1г до 56 лет. Тем не менее, при статистическом анализе установлено, что средний возраст больных с «плотными» и кальцифицированными каверномами был больше, чем средний возраст больных с мягкими каверномами (29,5 и 26,4 лет соответственно). Самыми молодыми (средний возраст 19,7 лет) были больные, у которых мальформации были представлены преимущественно гематомами с фрагментами мальформации. Эти данные косвенно указывают на то, что с течением времени структура КМ может становиться более плотной. Следует также отметить, что крупные мальформации чаще имели плотную структуру.
Табл. III. Характеристика структуры супратенториальных кавернозных мальформаций по данным хирургического вмешательства (179 случаев)

Ткани, окружающие каверному, чаще всего грубо изменены. Типична желтая окраска мозгового вещества, мозговых оболочек или нервов, свидетельствующая о перенесенных кровоизлияниях (рис. 8). Этот признак помогает обнаружить каверному в ходе хирургического вмешательства.
В небольшом числе случаев перифокальные изменения мозговой ткани отсутствуют (рис. 9).
При локализации каверномы в веществе мозга по ее границе в ходе операции можно видеть множество мелких артериальных сосудов, а в непосредственной близости нередко располагаются одна, реже несколько крупных патологических вен. Тем не менее, в отличие от АВМ, явные признаки шунтирования крови в каверноме отсутствуют, хотя доказательств того, что кавернозные полости полностью изолированы от кровеносной системы мозга, не существует. На этом основании некоторые авторы называют каверномы мальформациями с «медленным» типом шунтирования (low-flow malformations) (43, 146, 214). В ряде случаев патологические вены, расположенные в непосредственной близости от каверномы, имеют вид типичной венозной ангиомы по типу «головы медузы» (рис. 10, I – II). По разным данным, частота сопутствующих каверномам венозных ангиом колеблется от 0,7% до 48% (353). По сообщению R. Porter с соавт., венозные ангиомы сопутствовали КМ ствола мозга в 100% случаев (279).

Рис. 8. Б-ной И-юн, 13 лет. Кавернозная мальформация и гематома оперкулярной зоны слева. Повторные кровоизлияния. А, Б – МРТ, режим Т1, аксиальная и сагиттальная проекции. 4-е сутки после 2-го кровоизлияния. Видна ткань КМ в виде гетерогенного сигнала, и гематома в виде гиперинтенсивного сигнала, расположенная кзади от КМ. В – интраоперационное фото после вскрытия ТМО, 2 месяца после 2-го кровоизлияния. Виднаи желтая окраска окружающих тканей и отдельные каверны, выходящие на поверхность мозга

Рис. 9. Б-ная М-на, 39 лет. Небольшая КМ в глубинных отделах задней верхней височной извилины справа. Клиническое течение: Редкие эпилептические припадки в течение 3-х лет. А, Б, В – КМ диаметром 1см, без явных признаков кровоизлияний (МРТ, режимы GRE, Т2, Flair, аксиальная, фронтальная, сагиттальная проекции). Г, Д – интраоперационные фото. В ходе операции нет визуальных признаков изменения мозговой ткани вокруг каверномы, мозг после удаления КМ имеет нормальную окраску

Рис. 10.I. Сочетание кавернозной и венозной мальформаций. КМ и венозная ангиома лобной доли слева. А – МРТ, режим Т2. Б – прямая АГ, венозная фаза. Стрелкой указана патологическая вена. Клиническое течение: однократный эпизод сильной головной боли с головокружением (б-ная Б-то, 49 лет)

Рис. 10.II. Сочетание кавернозной и венозной мальформаций. КМ среднего мозга (А – МРТ, режим Т1). Венозная ангиома ствола. Аномалия венозной системы мозга в виде отсутствия прямого синуса (Б – СКТ-АГ. Стрелкой указана венозная ангиома). Клиническое течение: однократное кровоизлияние в ствол с развитием частично обратимой очаговой симптоматики. Острый тромбоз вен нижних конечностей и тромбэмболии ветвей легочной артерии (б-ной Ш-ов, 48 лет)
3.2. Микроскопическое строение
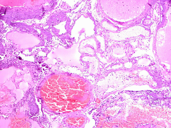
При рутинном исследовании в световом микроскопе (срезы толщиной 5 мкм, окраска гематоксилином и эозином, при необходимости – докрашивание по Ван-Гизон и Маллори) каверномы представляют собой конгломерат тонкостенных полостей разнообразной неправильной формы, выстланных эндотелием и разделенных соединительнотканными перегородками. Соединительная ткань перегородок может быть представлена как тонкими коллагеновыми волокнами, так и грубоволокнистой фиброзной тканью с различной степенью дистрофических изменений. Характерным признаком является отсутствие в стенах каверн гладкомышечных клеток и эластических волокон, а также мозговой ткани между кавернами (рис. 11) (2, 236, 299, 333).
Лишь в отдельных препаратах можно обнаружить незначительные прослойки мозговой ткани. Реактивно измененная мозговая ткань может быть также выявлена вокруг каверн, полностью отделенных, «отшнурованных», от основного конгломерата (рис. 12).
На основании этих признаков проводят дифференциальный диагноз каверном с другими сосудистыми мальформациями, прежде всего, с АВМ, при гистологическом исследовании которых выявляют сосуды артериального и венозного типа с относительно дифференцированными стенками и значительное количество мозговой ткани между ними.
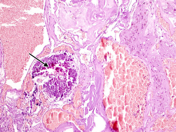
Полости, образующие каверному, могут быть заполнены жидкой кровью либо тромбами в различной стадии формирования (рис. 13).
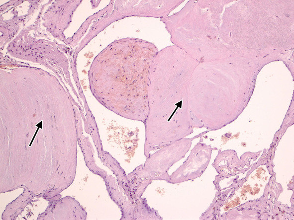
В ткани КМ могут быть обнаружены участки кальцификации, гиалиноза стенок (рис. 14).
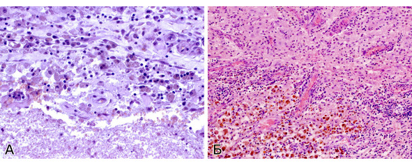
Довольно часто в строме встречаются признаки повторных кровоизлияний в виде остатков гематом различной давности. По периферии каверномы часто можно обнаружить фрагменты капсулы, типичной для хронической гематомы (рис. 15).
Характерной морфологической особенностью кавернозных мальформаций является наличие многочисленных мелких сосудов с кальцинированными стенками в окружающей мозговой ткани (рис. 16).
В последние годы проводятся иммуногистохимические исследования кавернозных мальформаций и окружающего мозгового вещества. Эти работы направлены на расшифровку механизмов формирования мальформации и ее биологического поведения (см. раздел «Этиология и патогенез). В исследованиях, выполненных в институте, при стандартном иммуногистохимическом исследовании КМ выявлена экспрессия мезенхимальных маркеров: виментина (Vim), гладкомышечного актина, и эндотелиальных маркеров CD31 и CD34 в стенках полостей мальформации (рис. 17 А, Б, В).

Рис. 11. Кавернозная мальформация «классического» типа — конгломерат сосудистых полостей различной формы и размеров, выполненных кровью. Ув. х 100

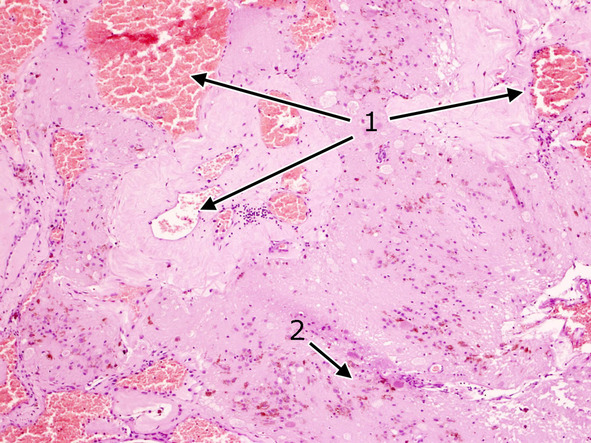
Рис. 12. Отшнуровавшиеся сосудистые полости (1) в ткани мозга с отложениями гемосидерина, гиперплазией глии (2). Ув. х 400
Экспрессия десмина (Des) в исследованных нами образцах отсутствует, пролиферативный индекс Ki-67 крайне низкий, исключая очаги капиллярной пролиферации и капсулы прилежащей гематомы (рис. 18).
Экспрессия фактора роста эндотелия сосудов VEGF, являющегося гликопротеином, влияющим на процессы ангиогенеза (рис. 19), а также эндоглина (СD105) и других факторов, участвующих в неоангиогенезе и сосудистой пролиферации, выявляется далеко не во всех кавернозных мальформациях.
Полученные в ходе иммуногистохимических исследований данные требуют дальнейшего углубленного изучения и сопоставления с особенностями биологического и клинического поведения каверном.
При изучении гистологической структуры различных сосудистых мальформаций было установлено, что, помимо мальформаций определенного гистологического строения, существуют сосудистые мальформации смешанного типа, в которых можно в разных сочетаниях выявить участки, соответствующие кавернозной ангиоме, АВМ, телеангиоэктазии (39, 90, 235, 281, 293, 299). Ю. Медведев, Д. Мацко предложили термин «промежуточные» мальформации для обозначения образований, сочетающих в себе черты как кавернозных, так и венозных мальформаций и/или телеангиоэктазий (20). Некоторые исследователи высказывают предположение, что КМ, ВМ и телеангиэктазии имеют общее происхождение и представляют собой лишь разные этапы формирования мальформации (293).

Рис. 13. Тромбоз и склероз сосудистых полостей в «классической» кавернозной мальформации. Ув. х 200

Рис. 14. Кальцификат (стрелка) и склеротические изменения в стенках сосудистых полостей. Ув. х 100

Рис. 15. А. Начальная стадия формирования стенки гематомы – скопления макрофагов, нагруженных гемосидерином. Ув. х 400. Б. Сформировавшаяся капсула гематомыс отложениями гемосидерина, лимфоплазмоцитарной инфильтрацией и новообразованными сосудами. Ув. х 200





