Действие вместо реакции

- -
- 100%
- +
Каждые несколько десятилетий способность человеческого мозга к переменам с большим отрывом превосходит сформировавшиеся в XX веке представления. Так, выяснилось, что миграция должностных обязанностей в нашем мозге не просто возможна, но приобретает регистрируемые современной техникой масштабы всего за час, а не за долгие годы.
Порой же в работе мозга происходят такие трансформации, что трудно назвать их иначе, нежели чудом. Когда слышишь о них впервые, они кажутся настолько невероятными, что разум отказывается в это верить.
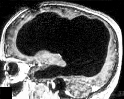
Пожалуй, наиболее известная иллюстрация – это история мужчины 44 лет, который прожил значительную часть своей взрослой жизни с 10 % мозга. На месте остальных 90 % была заполненная жидкостью полость, которая возникла из-за длившегося долгие годы отмирания нервной ткани. Тем не менее ни он, ни даже его близкие не подозревали об этом. Он вел вполне обыкновенную жизнь, имел жену, детей и постоянную работу на государственной службе.

МРТ-снимок мозга, демонстрирующий отсутствие около 90 % нервной ткани (сплошное затемнение). Черепная коробка мужчины в основном заполнена жидкостью.
Подробное описание его случая вместе с МРТ-снимками мозга было опубликовано в самом авторитетном медицинском журнале Европы Lancet в 2007 году и до сих пор поражает научное сообщество[11].
Выходит, человеческое сознание и личность не есть продукт особых клеток нашего мозга и каких-то конкретных его областей с неизменным и заранее им заданным набором обязанностей. Это скорее сложнейший тип взаимодействия между клетками – взаимодействие между потоками информации, которые эти маленькие живые компьютеры создают.
Человеческое сознание возможно и на основе куда меньшего объема нервной ткани, чем мы думали раньше. Сознание вообще не является чем-то по необходимости биологическим, а есть выражение творческой и познающей природы мира, способности всего внутри и вокруг нас к творческой самоорганизации. Впоследствии мы еще коснемся этого подробнее.
Другим ярким примером подвигов нейропластичности является история Кэмерон Мотт.
В возрасте четырех лет ей поставили страшный и редкий диагноз: энцефалит Расмуссена. В правом полушарии ее мозга возник огромный очаг хронического воспаления, который вызывал ужасные эпилептические припадки и с каждым днем прогрессировал. Прогноз был очень плохой, так что в 2007 году врачи приняли решение пойти на крайние меры: целиком удалить воспаленное правое полушарие.
Сложнейшая операция увенчалась успехом. Несмотря на столь радикальное медицинское вмешательство, Кэмерон выросла полноценным ребенком. Встретив ее, вы бы вряд ли заметили какие-нибудь странности в ее поведении и уж тем более заподозрили, что в ее черепной коробке имеется лишь половина мозга. Она получала хорошие оценки по математике, занималась спортом, успешно окончила школу и продолжила вести обычную жизнь.
Дело не в том, что половина нашей нервной системы избыточна, так что от нее можно без каких-либо особых неудобств избавиться. Просто под давлением необходимости мозг человека (и прежде всего в первые годы жизни) бывает способен на подлинные чудеса пластичности.
Мозгу Кэмерон Мотт и мозгу пациента из журнала Lancet удалось кардинально перепрограммировать свою структуру. В первом случае этому поспособствовал юный возраст, а во втором – крайне длительное течение заболевания. Все существенные функции организма были перераспределены между теми нейросетями, которые остались без повреждений. Таким образом, многое из того, с чем с горем пополам справляется здоровый человеческий мозг, в условиях кризиса способно делать и 10 % от его нормального объема.
Конечно, все это крайности и редчайшие примеры. Но даже если мы вынесем их за скобки, человек обладает самой сложной нервной системой на планете. Мы меняемся, учимся и развиваемся легче и быстрее, чем любое другое живое существо. Мы осваиваем новые ниши и экосистемы, новые взгляды и виды деятельности, меняем набор и иерархию своих потребностей.
Это значит, что для каждого из нас возможна глубокая личная трансформация и изменение наиболее фундаментальных привычек работы сознания. Об этом говорит как опыт мировой философии за последние тысячелетия, так и нейробиология.
Забывать или тем более отрицать собственную способность к метаморфозам является дорогостоящей ошибкой. Она запирает нас в клетке из невежества и пассивности и останавливает процесс самопознания и самосозидания. Между тем, только этот путь и ведет ко всем целям человеческого существования. Все в нашей жизни зависит от того, кем мы являемся и кем себя делаем, от того, чем наполнен наш ум и что в нем происходит.
Если мы устранили избыточные психические конфликты и навели порядок внутри, если мы понимаем себя и окружающую действительность, то наша деятельность раскрывает свои высшие возможности. Препятствия устраняются, и в уме воцаряется ясность видения. Это, в свою очередь, рождает точность жизненного выбора и твердость поступка. Мы избираем верные ориентиры и находим оптимальные маршруты для движения к ним.
Выясняется, что в нас море энергии, и ей уже не хватает маленького пространства одной лишь нашей жизни и жизни наших близких. Деятельность покидает узкие пределы мелких личных интересов и совершенно естественным и неизбежным образом распространяется вовне. Этому способствует и то, что мы все отчетливее начинаем сознавать свою неразрывную связь со всем вокруг. Так мы оказываемся полезны не только себе, но и другим.
Однако что делает возможным описанное здесь совершенствование умом самого себя? Разве генетика не накладывает на нейропластичность больших ограничений?
Генетика и механизм эволюции
Ни одно живое существо не рождается чистым листом. Внутри каждого из нас заключено богатое наследство из контуров и штрихов. Именно на это наследие и опираются все наши будущие трансформации. Как мы помним, чем существо примитивнее, тем ниже его нейропластичность и тем более законченным является его рисунок при рождении. Информация об этих унаследованных организмом чертах по большей части хранится в его генах.
В случае человеческого организма каждая клетка тела содержит ДНК с одним и тем же набором из приблизительно двадцати тысяч кодирующих генов. Они называются кодирующими, потому что представляют собой простые инструкции, как создать ту или иную белковую молекулу из аминокислот.
В кодирующем гене зашифрована последовательность, в которой аминокислоты необходимо соединить друг с другом, чтобы получилась специфическая молекула белка. Когда в клетке синтезируется белок определенного типа, он вступает в химические реакции и запускает особую перемену в клетке или организме. За счет создания и расщепления новых белков организм живет, развивается и реагирует на перемены среды.
Совокупность всех генов индивидуального организма называется генотипом. От того, какие именно белки зашифрованы в генотипе человека и в какой последовательности они будут синтезироваться, так или иначе зависит все остальное.
Генотип и есть те самые контуры и штрихи, о которых мы только что говорили. Он определяет строение нашего тела, цвет глаз, рост, работу органов, а также некоторые заданные шаблоны восприятия и поведения.
Совокупность всех этих измеримых свойств организма называется его фенотипом. Фенотип очень сильно зависит от генотипа. Это значит, что многие трансформации в кодирующей части генотипа приводят к специфическим фенотипическим изменениям – то есть к изменениям во внешности, устройстве и поведении.
Эволюция путем естественного отбора изобрела крайне элегантный способ, как приспособить простые и медленно меняющиеся организмы к очень сложной и динамичной среде. При зарождении нового живого существа в нем практически случайным образом перемешиваются гены его родителей (если мы говорим о половом размножении, разумеется). Кроме того, при копировании ДНК из родительских клеток в генотипе нового организма происходят случайные изменения генов, которые называются мутации.
Многие из этих случайных изменений неизбежно приводят и к изменениям в фенотипе. В итоге каждый рождающийся ребенок отличается от породивших его родителей. Естественно, эти отличия могут как сыграть ему на руку, так и сыграть против него.
Одни мутации и комбинации родительских генов вызывают явные сбои. Как правило, эти дефекты незначительны, потому что разные участки генотипа обладают различными темпами мутагенеза. Те части нашей ДНК, которые отвечают за наиболее фундаментальные процессы в организме, меняются намного реже. Их пластичность низка, и они более устойчивы к мутациям. Это весьма мудро, потому что любая резкая перемена на столь глубинном уровне скорее всего окажется фатальной. В тяжелых случаях, однако, генетическая лотерея может привести к рождению ребенка без глаз или с тремя руками, с неработающими органами или даже к его внутриутробной смерти.
Другие лотерейные билеты, напротив, несут в себе нечто полезное. Они могут повышать выживаемость ребенка и выживаемость его потомства за счет наделения его такими качествами внешности, здоровья и поведения, которые лучше соответствуют особенностям той среды, в которой он появился.
Эволюция всегда придерживается количественной стратегии в деле приспособления. Она случайным образом тасует гены и создает тысячи и миллионы вариантов, тысячи и миллионы существ, которые немного отличаются друг от друга.
Те, чьи свойства оказались полезны в той ситуации, в которой они очутились, выживают и дают больше потомства. Присутствие их генов в общем генофонде популяции и вида возрастает. Те же, чья карта легла плохо, с большей вероятностью гибнут и оставляют меньше потомства. Как следствие, их гены постепенно отсеиваются из генофонда.
Постоянные и случайные изменения в генофонде необходимы, поскольку полезность является относительным понятием. То, что полезно в этих условиях среды, в этом климате, в этой экосистеме и для этих задач, может оказаться бесполезно или даже губительно при их перемене.
Жизнь не может отказаться от метаморфоз и сделать ставку на некий раз и навсегда данный «хороший» набор свойств. Неизменного «хорошего» набора свойств просто не может быть. В разрезе эволюции хорошее и плохое напрямую зависят от условий, а условия меняются – и подчас крайне драматически.
Чтобы быть готовой к непредсказуемым вызовам реальности, эволюция видов непрерывно штампует бесчисленное множество разных вариантов взаимодействия с ней. Эта великая лотерея создает разных существ с разными свойствами. Мир и сам ход жизни выявят на практике, какие из них оказались хороши, а какие плохи. По эволюционной логике лучше были те, которые справились. Они передадут частичку своей удачи дальше.
Эпигенетика
Рассмотренная нами генетическая модель оставляет открытым принципиальный вопрос: как могли бы двадцать тысяч генов закодировать двести триллионов связей между нервными клетками? А ведь помимо этих связей в нашем мозге и в остальном теле плещется целый океан информации иного рода. В чашке не поместишь океан.
Генотип несоизмеримо меньше информационного богатства фенотипа, а потому он никак не может определять фенотип полностью, что особенно заметно у таких сложных существ, как люди.
В темные времена наук о человеке данное обстоятельство почти никем не было замечено. Кроме того, не было известно, что в нашей ДНК содержится лишь 20 000 кодирующих генов. Полагали, что их намного больше. Тогда еще не было возможности объяснить механизм повышенной индивидуальной пластичности нашего мозга и личности. В результате, само существование такого механизма отрицалось.
Казалось, будто мы предрасположены своими генами лишь к чему-то одному. В соответствии с господствовавшими представлениям, Сократ не имел выбора, становиться ли ему добродетельным и мудрым или же быть полной противоположностью этого. Он изначально имел в себе задатки добропорядочного гражданина, философа и просветителя и никакие иные, так что Зопир в своем суждении допустил грубую ошибку. ДНК и замыслы природы воспринимались предельно линейным набором инструкций, подобно партийному распоряжению, оставляя крайне малое пространство для свободы.
Затем, в 1990-х годах, была сделана череда открытий, развенчавших эти взгляды. Древние философские истины тем самым не просто подтвердились, но и были помещены в область строгого научного знания.
Стало понятно, что гены есть лишь набросок будущей картины. И вовсе не в них хранится все богатство деталей и красок, игра света и тени, оттенки и градиенты, а также все наши возможные метаморфозы.
Последний скачок в научном понимании человеческой изменчивости был связан с оформлением такого раздела генетики, как эпигенетика. Этимологически греческая приставка эпи- означает «сверх», «помимо», «в добавление к». В полном соответствии с этим значением эпигенетика изучает в первую очередь два рода явлений.
Во-первых, это такие наследуемые живым организмом признаки, которые не задаются последовательностью генов в нашей ДНК и с ней напрямую не связаны. Эпигенетика исследует все то, что определяет наши врожденные свойства «сверх» и «помимо» набора генов. Большую часть истории науки, начиная с создания Дарвином теории эволюции путем естественного отбора, сама возможность наследования приобретенных индивидом признаков отрицалась. Сегодня же известно много сценариев, как это происходит.
Во-вторых, в ведении эпигенетики находятся изменения в активности уже имеющихся у нас генов под воздействием внешних факторов. Этот момент будет полезно пояснить в отдельности.
Хотя для целого организма 20 000 генов – это довольно скромная цифра, для жизни отдельной клетки этот багаж огромен и избыточен. Не может так быть, чтобы каждой крошечной клетке от пятки до макушки, от печени и до мозга нужны были сразу все гены нашего тела, ведь их функции столь сильно отличаются.
Наконец, очевидно, что в одних ситуациях требуется один набор белков-инструкций, а в других – уже совсем иной. Это значит, что абсолютное большинство генов в каждой отдельной клетке должны быть всегда деактивированы. Они никогда не будут ей использованы, потому что сами ее задачи этого не предполагают. Тем не менее для какой-то другой клетки они будут жизненно необходимы.
По той же причине основная часть из оставшихся и нужных генов должна постоянно пребывать в спящем состоянии. Хотя в принципе они и необходимы, потребность в их работе возникает не всегда. Нельзя допустить, чтобы они работали безо всякой нужды. Такое несвоевременное перепроизводство химических реакций, противоречащих одна другой, привело бы к немедленной гибели всего организма.
Исследование эпигенетических процессов позволило научно объяснить, как получается, что в индивидуальном организме с одним набором генов может быть заложено столько разных траекторий развития. Действительно, последовательность генов в каждой клетке одна и та же – если, конечно, не считать случайных мутаций и вирусов. Но вот возможных комбинаций из активных и неактивных генов невероятно много.
Можно представить гены как кнопки на огромном пульте управления организмом. Если перед нами стоят два одинаковых пульта, мы можем исполнить на них чрезвычайно разные жизни. Количество возможных комбинаций, помноженное на время, так велико, что не поддается исчислению.
Или вообразите себе гигантский рояль с двадцатью тысячами клавиш. Можно ли утверждать, что набор и звучание клавиш предопределяют те композиции, которые могут быть на этом рояле исполнены? В каком-то смысле, да. И точно так же гены определяют множество черт нашего телесного устройства, восприятия и поведения. Но оставшейся свободы вариаций так много, что с лихвой хватит и самому взыскательному из людей.
Все заложенные в генах качества ума и тела безо всякого исключения пластичны для долгого эволюционного процесса. И большинство из тех, что нас интересуют, могут быть изменены в любом направлении в течение отдельной жизни.
Нужно признать, что применительно к ДНК аналогия рояля с двадцатью тысячами клавиш не совсем точна. Гены в клетках организма, в отличие от клавиш рояля, не могут быть активированы с той же легкостью и нажиматься совершенно произвольным образом.
Впрочем, аналогии и не должны быть точны во всем. Их задача иная – выделить некое существенное сходство и способствовать пониманию по крайней мере в чем-то одном. И в данном случае аналогия рояля подчеркивает крайне простой, но и крайне важный факт: наше биологическое наследие предполагает невероятную вариативность. За счет различных комбинаций из активных и неактивных генов во времени мы можем создать из своей жизни практически бесконечный набор мелодий.
Что же активирует и деактивирует гены в клетках организма? Прежде всего, это делает внешняя среда, в которой мы живем от момента своего зачатия до последнего вздоха. Мир и получаемый нами опыт влияют на нас. Они в самом прямом смысле слова проникают в поры и клетки нашего тела. Одни вещества приходят в соприкосновение с другими, химическая реакция следует за химической реакцией, и все это регулирует активность генотипа каждого из нас.
Так, когда наши глаза открыты, триллионы фотонов света ежесекундно попадают на сетчатку глаза. От этого в ее светочувствительных клетках изменяется баланс положительно и отрицательно заряженных ионов.
В нейронах сетчатки рождаются электрические импульсы, которые посредством химических сигналов добегают до следующих нервных клеток и запускают там череду новых химических реакций. Это повторяется тысячи и миллионы раз все далее и далее по цепочке.
Постоянный диалог нашего тела с миром и диалог клеток друг с другом и регулирует деятельность генов. Они то включаются, то выключаются, как лампочки на мигающей новогодней гирлянде.
Однако активность генов регулируется не только тем, что происходит с нами, но и тем, что делаем мы сами – осознанно и целенаправленно. Задействуя врожденные способности по управлению своим вниманием и эмоциями, мы изменяем движение потоков информации в нервной системе. Информация струйками, волнами и всполохами блуждает по уму, и каждое ее движение оставляет за собой следы из изменений.
Так эпигенетика позволила научно объяснить природу нейропластичности. Она показала, что общение нервных клеток друг с другом и взаимное общение частей нашего ума непрерывно производит серию активаций и деактиваций генов в нейронах. В результате генетических сигналов внутри нервных клеток происходят изменения: они перестраиваются и объединяются друг с другом в новые нейросети. Трансформируется сама информационная структура нервной системы. В итоге это и меняет наши взгляды, потребности, желания, привычки, саму нашу личность.
То, какова наша личность, не может быть задумано природой и спланировано заранее. Невозможно предугадать все и запрограммировать это в наших генах. Она бы не смогла оставить нам столь большое наследство, а мы были бы просто не в состоянии унести такой вес на своих плечах.
Мы, таким образом, есть продукт внешнего мира и своих собственных решений в той же мере, что и генов. Мы есть творение уникальных ситуаций, в которых оказываемся, и того, как мы себя в них ведем.
Новая парадигма изменчивости
Лавина данных из нейробиологии и генетики позволила современной науке понять три важнейшие вещи, которые еще недавно встречались ученым миром в штыки.
Во-первых, познание представляет собой универсальное свойство любого живого организма – без каких-либо исключений и изъятий. Даже наиболее примитивные бактерии с помощью механизма хеморецепции собирают сведения об окружающей среде на предмет содержащихся в ней вредных или полезных веществ. На основе этой информации они стараются избегать первых и двигаются по направлению ко вторым.
Во-вторых, обучение во всем многообразии его форм есть столь же универсальное свойство жизни, как и познание. Сегодня мы знаем, что даже одноклеточные существа являются обучаемыми. Лишенные нервной системы, некоторые из них тем не менее обладают развитой нервной деятельностью, как бы парадоксально это ни звучало.
Любимым примером ученых является одноклеточный слизевик physarum polycephalum, поведение которого в последние десятилетия было исследовано вдоль и поперек[12]. В серии экспериментов было показано, что этот амебоподобный организм запоминает местоположение еды в пространстве, запоминает различные временные интервалы и даже способен исполнять некоторые обязанности железнодорожного инженера[13].
В-третьих, в океане меняющейся и познающей мир жизни человек находится далеко не на последних ролях.
Конечно, у нас не принято избавляться от четверти своего мозга, а затем при необходимости отращивать его назад. Тем не менее и виду homo sapiens принадлежат славные подвиги по части нейропластичности. Многие из них могли бы впечатлить даже индийских прыгающих муравьев, если бы те могли быть впечатлены чем бы то ни было.
Стоит только отдать себе ясный отчет в способности человека к глубокой личной трансформации и в ее первостепенной ценности, как наше общее направление в жизни становится однозначным и прямым, как стрела. Вектор нашей деятельности сливается с сущностным устремлением всей природы, с ее великим движением к самопознанию, самоосвобождению и самосозиданию. Перед нами встают уже другие задачи, нежели прежде.
Мы задаемся вопросом: к каким конкретно переменам призывали и философы древности, и великие ученые нескольких последних веков? Что нам следует изменить в самих себе и почему именно это? С помощью каких методов это становится возможным и как далеко мы можем здесь зайти?
Часто, однако, эти вопросы остаются лишь теорией или же мы вообще отказываемся признавать их правомерность. Мы знаем, что перемены возможны и даже не требуют столь уж большого труда, но стараемся задвинуть это знание на задворки сознания. Вопреки всем фактам, мы принимаемся убеждать и себя, и других в обратном. Мы отстаиваем точку зрения, будто и наши дурные привычки, и дурные привычки общества неизбежны, непреодолимы и необходимы. А значит, можно ничего не делать.
Мы склонны невежественно отрицать свою способность к переменам и преуменьшать ее масштабы, потому что это освобождает от творческого усилия над собой и от ответственности за свою жизнь. Таков главный трюк и главный самообман эго, мешающий нам двигаться вперед. Далее мы еще подробно разберем, почему эго так сопротивляется трансформации и всегда стремится законсервировать себя.
В качестве доводов, почему перемены невозможны или по крайней мере весьма для нас затруднительны, мы приводим неблагоприятные условия жизни, плохое детство, дурную наследственность, сложившийся у нас характер или даже свой гороскоп. В ход пойдет любой аргумент. Важно лишь, чтобы он спас нас от творческого дискомфорта и помог оправдать status quo. Даже самые деятельные из нас еще тяготеют к подобной лени в самом главном.
Одна из целей этой книги – это выбить почву из-под ног эго, лишить его любимого трюка и помешать закатать и себя, и весь мир в консервную банку. А для этого необходимо лучше понимать, как именно устроен наш ум.
Веления сердца

Представьте, что у вас дома установлена крайне зловредная сигнализация. Бывает, мы уже мирно посапываем в собственной постели и смотрим десятый сон, как воздух вдруг наполняется оглушительным воем сирен. Мы опрометью вскакиваем с кровати, осоловело хватаем самый тяжелый из подручных предметов и готовимся к худшему.
К нашему недоумению, нигде не обнаруживается и малейшего признака опасности. Все совершенно спокойно. Не считая, разумеется, яростных завываний сирены. В иной раз по соседней улице пройдет шумная компания или паучок пробежит по стене, а у нас срабатывает пожарная тревога. С потолка брызжет вода, из динамиков доносятся пронзительные ноты, пробирающие до самого мозга костей, а мы, мокрые и злые, пытаемся утихомирить это бесовское устройство.
Случается и так, что сигнализация принимается бить в фанфары и оглашать всю округу звуками праздника. Она ведь умеет и такое, пускай и не часто балует человеческий слух сладостными звуками. Наше сердце не может сопротивляться музыкальным чарам и с легкостью поддается веселью. Пульс учащается, поступь становится резвой и прыткой, а затем сама собой переходит в танец.
Еще до того, как трели смолкают – а это происходит довольно быстро, – на нас накатывает расхолаживающее осознание. Радость была не только скоротечной, но и поспешной. В действительности ведь ничего хорошего не произошло. Это просто очередная компьютерная ошибка, сродни периодически раздающимся сигналам тревоги.










