- -
- 100%
- +

Peter Eickholz
PARODONTOLOGIE von A bis Z
Grundlagen für die Praxis

Bibliografische Informationen der Deutschen Nationalbibliothek
Die Deutsche Nationalbibliothek verzeichnet diese Publikation in der Deutschen Nationalbibliografie; detaillierte bibliografische Daten sind im Internet über

Postfach 42 04 52; D–12064 Berlin
Ifenpfad 2–4, D–12107 Berlin
© 2021 Quintessenz Verlags-GmbH, Berlin
Dieses Werk ist urheberrechtlich geschützt. Jede Verwertung außerhalb der engen Grenzen des Urheberrechts ist ohne Zustimmung des Verlages unzulässig und strafbar. Dies gilt insbesondere für Vervielfältigungen, Übersetzungen, Mikroverfilmungen und die Einspeicherung und Verarbeitung in elektronischen Systemen.
Lektorat, Herstellung und Reproduktionen:
Quintessenz Verlags-GmbH, Berlin
ISBN: 978-3-86867-555-9
Für Anna, mit der ich seit 30 Jahren verheiratet bin
2013 erschien die erste Auflage von „PARODONTOLOGIE von A bis Z. Grundlagen für die Praxis“. Warum brauchen wir eine 2., überarbeitete Auflage? Nun, zum einen ist die 1. Auflage mittlerweile komplett abverkauft. Das allein wäre aber noch kein Grund für eine umfassende Überarbeitung. Wir hätten es uns einfach machen und das Buch von vor 8 Jahren nachdrucken können. Aber es hat sich in der Parodontologie in den letzten Jahren so viel getan, dass eine Überarbeitung nun sinnvoll und notwendig erschien, und sich eine Anschaffung dieser 2. Auflage auch für jeden lohnt, der die 1. schon hat!
Die European Federation of Periodontology (EFP) und die American Academy of Periodontology (AAP) haben gemeinsam nach 19 Jahren eine neue Klassifikation der parodontalen und periimplantären Erkrankungen und Zustände erarbeitet und 2018 publiziert. Die Klassifikation löst die von 1999 ab und wurde von der Deutschen Gesellschaft für Parodontologie (DG PARO) übernommen. Die neue Behandlungsrichtlinie für die systematische Therapie von Parodontitis und anderen Parodontalerkrankungen, die Ende 2020 vom Gemeinsamen Bundesausschuss (G-BA) verabschiedet wurde und im Laufe des Jahres 2021 Gültigkeit bekommen wird, berücksichtigt diese Klassifikation bereits. Die gesamte 2. Auflage wurde hinsichtlich dieser Klassifikation von 2018 überarbeitet.
Im Jahr 2018 hat die DG PARO in der Systematik und unter Mitwirkung der Arbeitsgemeinschaft der Wissenschaftlichen Medizinischen Fachgesellschaften (AWMF) 4 S3-Leitlinien, unter anderem zur adjuvanten Gabe systemischer Antibiotika bei subgingivaler Instrumentierung, veröffentlicht. Inspiriert durch diesen Leitlinienprozess hat die EFP in konsequenter Weiterentwicklung der Klassifikation von 2018 eine klinische Leitlinie zur Therapie von Parodontitis der Stadien I, II und III erarbeitet und 2020 publiziert. Die DG PARO hat diese europäische Leitlinie 2020 in einem von der AWMF begleiteten Adaptationsprozess unter Einbeziehung nationaler Fachgesellschaften und Interessengruppen (z. B. KZBV) auf die deutsche Situation übertragen. Die entsprechende Leitlinie wurde 2021 veröffentlicht. Die 2. Auflage wurde auch hinsichtlich dieser neuen Leitlinien komplett überarbeitet. Das Buch ist also hochaktuell!
Seit 2013 haben sich aber nicht nur Inhalte verändert. Es wurden nicht nur viele Glossare der Zeitschrift PARODONTOLOGIE, die in diesem Buch zusammengefasst sind, in diesen 8 Jahren aktualisiert, sondern es sind auch Themen hinzugekommen, sodass sich seit meinem Eintritt in die Redaktion der Zeitschrift PARODONTOLOGIE inzwischen 47 solcher thematisch zusammengestellten Glossare angesammelt haben. Die goldene Regel, mit nur 10 wesentlichen Literaturstellen für jedes Glossar auszukommen, die schon vor 8 Jahren schwer einzuhalten war, wurde verlassen und auf möglichst nicht mehr als 20 Referenzen erhöht. Aber auch das war nicht immer einzuhalten: Es gibt Themen, die sind nicht mit 20 Referenzen abzudecken. Ansonsten bleibt die 2. Auflage den Maximen des 1. Wurfs treu, Grundlagen darzustellen und sich nicht in ausschweifendem Für und Wider zu verlieren. Einzelne Leser werden vermutlich Themen vermissen, während sich andere möglicherweise an aus ihrer Sicht überflüssigem Detailwissen stören. Dennoch hoffe ich, dass auch die 2. Auflage von „PARODONTOLOGIE von A bis Z. Grundlagen für die Praxis“ dem parodontologisch interessierten Leser einen kompakten Überblick über den klinischen Teil der Parodontologie verschafft und gleichzeitig zur Unmissverständlichkeit für eine sichere Kommunikation mit Kollegen, aber auch Patienten beiträgt.
Prof. Dr. Peter Eickholz,
Frankfurt am Main, Februar 2021
Danksagungen
Herrn Wolters, dem damaligen Leiter des Quintessenz Verlages, gebührt immer noch Dank für seine Idee, aus den einzelnen Glossaren ein Buch zusammenzustellen, und für seine Hartnäckigkeit, mit der er mich immer wieder an die Realisierung der 1. Auflage erinnert hat. Jetzt ist sogar eine 2. Auflage fertig und gedruckt und ich bin umso mehr sehr froh, dass er vor 10 Jahren nicht lockergelassen hat.
Großer Dank gebührt meiner erklärten Lieblingslektorin Frau Anita Hattenbach. Sie hat die Zeitschrift PARODONTOLOGIE und damit das „Glossar der Grundbegriffe für die Praxis“ in den vergangenen 8 Jahren immer wieder vertretungsweise betreut und ist deshalb sehr gut im Thema drin. Viel bedeutsamer für die 2. Auflage aber war ihr sorgfältiger und überaus kritischer Blick als Lektorin auf die einzelnen Beiträge, von denen manche wie Ping-Pong-Bälle zwischen unseren Computern hin und her gesprungen sind, bis sie ins Buch durften.
Auch Frau Dr. Marina Rothenbücher möchte ich danken, die, seitdem Herr Wolters als Verlagsleiter in den Ruhestand gegangen ist, im Hause Quintessenz die Zeitschriften und damit auch die PARODONTOLOGIE betreut. Schließlich darf im Hause Quintessenz Frau Ina Steinbrück nicht vergessen werden, die mit großer Routine und Geduld für das perfekte Layout und die Umsetzung von Änderungswünschen sorgt.
Großer Dank gilt natürlich all meinen Mitautoren, ohne deren Ideen für Themen und deren konsequente Umsetzung in Manuskripte es mir nicht gelungen wäre, alle 3 Monate ein Glossar für die PARODONTOLOGIE parat zu haben. Viele Mitautoren waren oder sind als Mitarbeiter in der Poliklinik für Parodontologie der ZZMK der Goethe-Universität Frankfurt am Main tätig. Ohne die enge und gut geölte Zusammenarbeit von Zahnärzten und ZFAs/DHs hätten die Unterlagen, die in die Beiträge des Buches Eingang gefunden haben, schwerlich erstellt werden können.
So ist denn dieses Buch das Ergebnis einer sehr erfreulichen und ausgezeichneten Zusammenarbeit auf vielen Ebenen.
Vorwort zur 1. Auflage
Was ist eigentlich ein Glossar? Der Hobbyethymologe erkennt den griechischen Wortstamm „glossa“ für Zunge, Sprache, fremdartiges Wort. Im ursprünglichen Sinne ist ein Glossar eine Art Wörterbuch, das die entsprechenden Begriffe zweier Sprachen gegenüberstellt. Ein fachsprachliches Glossar listet die Terminologie einer Fachsprache mit den entsprechenden Definitionen auf. Ein solches Glossar soll den richtigen Gebrauch von Fachausdrücken ermöglichen und so Unmissverständlichkeit herstellen. Das „Glossar der Grundbegriffe für die Praxis“ in der Zeitschrift PARODONTOLOGIE hatte sich zum Ziel gesetzt, genau dies zu leisten: Die Grundbegriffe der Parodontologie sollten erläutert werden. Dabei wurde keine alphabetische Reihenfolge, sondern eine thematische Zuordnung gewählt: Die einzelnen Beiträge arbeiteten bestimmte Themen (z. B. Diagnostik, periimplantäre Erkrankungen) auf und erläuterten im jeweiligen Kontext die Grundbegriffe. Es sollten möglichst etablierte, unstrittige Fakten kurz und bündig dargestellt werden; Grundbegriffe eben. Jeder Beitrag sollte mit nicht mehr als 10 wesentlichen Literaturstellen auskommen.
So haben sich seit meinem Eintritt in die Redaktion der Zeitschrift PARODONTOLOGIE mehr als 30 solcher thematisch zusammengestellten Glossare angesammelt, die schließlich einen wesentlichen Teil der klinischen Parodontologie knapp und übersichtlich abbilden. So ist der Gedanke entstanden, die einzelnen Artikel als Kapitel eines Buches zusammenzustellen. Es ist nicht immer gelungen, die Obergrenze von 10 wesentlichen Literaturstellen einzuhalten, und es gibt Themen, die einerseits wichtig sind, aber zu denen es andererseits keine etablierten, unstrittigen Fakten gibt (z. B. unterstützende Antibiotikatherapie). Außerdem stellt sich die Frage, wo die Grundbegriffe aufhören und das erweiterte Wissen beginnt. Das bedeutet, dass einzelne Leser vermutlich Themen/Grundbegriffe vermissen werden, während sich andere möglicherweise an aus ihrer Sicht überflüssigem Detailwissen stören werden. Ich hoffe dennoch, dass „PARODONTOLOGIE von A bis Z. Grundlagen für die Praxis“ dem parodontologisch interessierten Leser einen kompakten Überblick über den klinischen Teil der Parodontologie verschafft und so zur Unmissverständlichkeit für eine sichere Kommunikation mit Kollegen, aber auch Patienten beiträgt.
Prof. Dr. Peter Eickholz,
Frankfurt a. M., September 2012
Autorenverzeichnis
Dr. med. dent. Talal Aldiri
Poliklinik für Parodontologie
Zentrum der Zahn-, Mund- und Kieferheilkunde (Carolinum)
Johann Wolfgang Goethe-Universität Frankfurt
Theodor-Stern-Kai 7, 60596 Frankfurt am Main
und
A1 Zahnarztpraxis
Opernplatz 4, 60313 Frankfurt am Main
Dr. med. dent. Frédéric Baron
13 en Chaplerue, 57000 Metz, Frankreich
Prof. Dr. med. dent. Bettina Dannewitz
Poliklinik für Parodontologie
Zentrum der Zahn-, Mund- und Kieferheilkunde
(Carolinum)
Johann Wolfgang Goethe-Universität Frankfurt
Theodor-Stern-Kai 7, 60596 Frankfurt am Main
und
Zahnärztliche Gemeinschaftspraxis
Dres. Dannewitz & Glass
Langgasse 36−38, 35781 Weilburg
Dr. med. dent. Thomas Eger
Abteilung XXIII Zahnmedizin-Parodontologie
Bundeswehrzentralkrankenhaus Koblenz
Rübenacherstraße 170, 56072 Koblenz
Prof. Dr. med. dent. Peter Eickholz
Poliklinik für Parodontologie
Zentrum der Zahn-, Mund- und Kieferheilkunde (Carolinum)
Johann Wolfgang Goethe-Universität Frankfurt
Theodor-Stern-Kai 7, 60596 Frankfurt am Main
Dr. med. Christa Flechtenmacher
Pathologisches Institut der Universität Heidelberg
Im Neuenheimer Feld 220, 69120 Heidelberg
Dr. med. dent. Yuri Glass
Zahnärztliche Gemeinschaftspraxis
Dres. Dannewitz & Glass
Langgasse 36–38, 35781 Weilburg
Prof. Dr. med. Dr. med. dent. Ti-Sun Kim
Klinik für Mund-, Zahn- und Kieferkrankheiten
Poliklinik für Zahnerhaltungskunde
Sektion Parodontologie
Im Neuenheimer Feld 400, 69120 Heidelberg
Dr. med. dent. Filip Klein
Zahnarztpraxis G3
Goethestraße 3, 60313 Frankfurt am Main
Dr. med. dent. Diana Krigar
Dr. Krigar & Partner
Schlosskirschenweg 24, 69124 HeidelbergKirchheim
Dr. med. dent. Matthias Mayer, MSD
Arndtstraße 14, 60325 Frankfurt am Main
Prof. Dr. med. dent. Jörg Meyle
Zentrum für Zahn-, Mund- und Kieferheilkunde
Poliklinik für Parodontologie
Justus-Liebig-Universität Gießen
Schlangenzahl 14, 35392 Gießen
PD Dr. med. dent. Katrin Nickles, M.Sc.
Poliklinik für Parodontologie
Zentrum der Zahn-, Mund- und Kieferheilkunde (Carolinum)
Johann Wolfgang Goethe-Universität Frankfurt
Theodor-Stern-Kai 7, 60596 Frankfurt am Main
Dr. med. dent. Hari Petsos, M.Sc.
Poliklinik für Parodontologie
Zentrum der Zahn-, Mund- und Kieferheilkunde
(Carolinum)
Johann Wolfgang Goethe-Universität Frankfurt
Theodor-Stern-Kai 7, 60596 Frankfurt am Main
Prof. Dr. med. dent. Bernadette Pretzl
Klinik für Mund-, Zahn- und Kieferkrankheiten
Poliklinik für Zahnerhaltungskunde
Sektion Parodontologie
Im Neuenheimer Feld 400, 69120 Heidelberg
Dr. med. dent. Christoph A. Ramseier
Klinik für Parodontologie
Universität Bern
Freiburgstrasse 7, 3010 Bern, Schweiz
Dr. med. dent. Matthias Roßberg
Rheinstr. 20, 64283 Darmstadt
Dr. med. dent. Beate Schacher
Poliklinik für Parodontologie
Zentrum der Zahn-, Mund- und Kieferheilkunde (Carolinum)
Johann Wolfgang Goethe-Universität Frankfurt
Theodor-Stern-Kai 7, 60596 Frankfurt am Main
Dr. med. dent. Susanne Scharf, M.Sc.
Zahnarztpraxis Dr. Scharf & Dr. Lagan
Burkhardtstraße 13, 64342 Seeheim-Jugenheim
Dr. med. dent. Isabel Simon
Dr. Krigar & Partner
Schlosskirschenweg 24, 69124 HeidelbergKirchheim
Dr. med. Dr. med. dent. Oliver Thiele
Klinik und Poliklinik für Mund-, Kiefer- und Gesichtschirurgie
Universitätsklinikum Heidelberg
Im Neuenheimer Feld 400, 69120 Heidelberg
Prof. Dr. med. dent. Clemens Walter
Klinik für Parodontologie, Endodontologie und Kariologie
Universitäres Zentrum für Zahnmedizin Basel (UZB)
Mattenstrasse 40, 4058 Basel, Schweiz
Dr. med. dent. Kay-Arne Walther
Zentrum für Zahn-, Mund- und Kieferheilkunde
Poliklinik für Parodontologie
Justus-Liebig-Universität Gießen
Schlangenzahl 14, 35392 Gießen
Dr. med. dent. Martin Wohlfeil
Lågenvegen 15 E, 2615 Lillehammer
Norwegen
Inhaltsverzeichnis
Vorwort zur 2. Auflage
Danksagungen
Vorwort zur 1. Auflage
Autorenverzeichnis
Anatomie
1 Anatomie des Parodonts
2 Die Zunge: Morphologie und Funktion
Ätiologie
3 Gingivitis
4 Parodontitis
5 Gingivawucherungen
6 Parodontitis als Symptom von Syndromerkrankungen
7 Endodontal-parodontale Läsionen
8 Gingivale Rezessionen
Diagnostik
9 Klassifikation der parodontalen und periimplantären Erkrankungen und Zustände
10 Diagnostische Tests und ihre Eigenschaften
11 Klinische Plaque- und Entzündungsparameter
12 PSI und Sondierungsparameter
13 Furkationsdiagnostik
14 Zahnbeweglichkeit
15 Röntgendiagnostik und -techniken in der Parodontologie
16 Mikrobiologie
17 Gingivale Rezessionen: Befunderhebung und Dokumentation
18 Halitosis
19 Gewebebiopsien der Mundschleimhaut
20 Die Zunge: Normvarianten und pathologische Veränderungen
Therapie
Parodontitistherapie Stufe 1: individuelle Plaquekontrolle, Verhaltensänderung
21 Motivierende Gesprächsführung in der Parodontologie
22 Tabakprävention und -entwöhnung in der Zahnarztpraxis
23 Hilfsmittel zur individuellen Mundhygiene und deren Anwendung
Parodontitistherapie Stufe 2: subgingivale Instrumentierung
24 Instrumentierung der Zahnoberfläche
25 Systemische Antibiotika in der parodontalen Therapie
26 Medikamententräger für die topische subgingivale Applikation von Antiseptika und Antibiotika
Parodontitistherapie Stufe 3: chirurgische Parodontitistherapie
27 Offene Kürettage und Kirkland-Lappen
28 Modifizierter Widman-Lappen und distale Keilexzision
29 Resektive Furkationstherapie: Wurzelamputation, Trisektion, Hemisektion
30 Resektive Furkationstherapie: Tunnelierung, Prämolarisierung, Extraktion, palliative Furkationstherapie
31 Regenerative Parodontaltherapie: Das biologische Prinzip der gesteuerten Geweberegeneration
32 Regenerative Parodontaltherapie: Indikationen
33 Regenerative Parodontaltherapie: Membrantypen – nichtresorbierbar und biologisch abbaubar
34 Regenerative Parodontaltherapie: Bioaktive Wirkstoffe – Differenzierungs- und Wachstumsfaktoren, Schmelzmatrixprotein
35 Papillenerhaltungslappen: klassisch, modifiziert und vereinfacht
36 Minimalinvasive chirurgische Technik (MIST) und modifizierte MIST
37 Knochentransplantate und Knochenersatzmaterialien in der regenerativen Parodontalchirurgie
Plastische Parodontalchirurgie
38 Korrektur von Lippen- und Wangenbändchen
39 Freies Schleimhauttransplantat
40 Bindegewebstransplantat (Envelope-Technik)
41 Koronaler Verschiebelappen
42 Gingivawucherungen
43 Die chirurgische Kronenverlängerung
44 Die flexible Gingivaepithese: Indikationen und Herstellung
Unterstützende Parodontitistherapie (UPT)
45 Ziele und Inhalte der unterstützenden Parodontitistherapie (UPT)
46 Individuelles Parodontitisrisiko und Bestimmung der UPT-Intervalle
Periimplantäre Erkrankungen
47 Periimplantäre Erkrankungen: Diagnostik und Therapie
Stichwortverzeichnis
Anatomie

Peter Eickholz, Bettina Dannewitz
Anatomie des Parodonts1Die Zähne als solche bestehen zum einen aus Schmelz und Dentin und zum anderen aus dem das Pulpakavum ausfüllenden Pulpagewebe. Obwohl das Wurzelzement innig mit dem Dentin und z. T. der Schmelzoberfläche verbunden ist, stellt es definitionsgemäß einen Teil des Parodonts dar. Der Zahnhalteapparat, das Parodont, besteht aus vier Geweben: der Gingiva, dem Desmodont, dem Wurzelzement und dem Alveolarknochen. Der letztere besteht aus dem eigentlichen Alveolarknochen, der mit der Lamina cribriformis der Alveole gleichzusetzen ist, und dem Alveolarfortsatz (Abb. 1). Desmodont, Wurzelzement und eigentlicher Alveolarknochen entstammen als ektomesenchymale Gewebe dem Zahnsäckchen. Herkunftsmäßig ist Epithelgewebe uneinheitlich, da alle embryonalen Keimblätter in der Lage sind, Epithelgewebe zu bilden. Das Epithel der Mundschleimhaut ist zum Teil ektodermaler (Lippen, Vestibulum, Gingiva, Wangen, Gaumen, Mundboden) und zum Teil entodermaler (Zunge) Herkunft. Das Parodont verfügt über Rezeptoren, die Schmerz, taktile Reize und Druck übertragen. Die Funktion des Parodonts besteht zum einen darin, den Zahn im Kiefer zu verankern und zum anderen das aseptische Ökosystem der inneren Gewebe von der bakteriell kontaminierten Mundhöhle abzuschirmen1,2.

Abb. 1 Das Parodont als funktionelle Einheit besteht aus vier Geweben: der Gingiva propria, dem Desmodont, dem Wurzelzement und dem eigentlichen Alveolarknochen, der mit der Lamina cribriformis der Alveole gleichzusetzen ist.
Gingiva
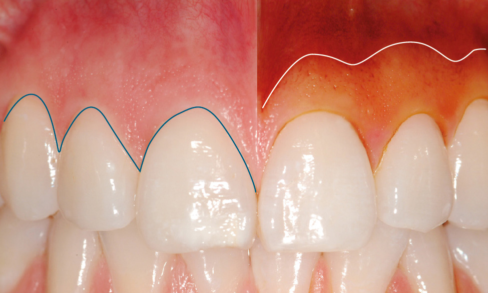
Die Gingiva ist ein Bestandteil der Mundschleimhaut. Sie umschließt als epitheliale Manschette (Saumepithel, „junctional epithelium“) den Zahnhals und heftet sich der Zahnoberfläche an (Epithelansatz). Auf diese Weise wahrt die Gingiva die Kontinuität der epithelialen Auskleidung der Mundhöhle. Darüber hinaus bedeckt die Gingiva die koronalen Abschnitte des Alveolarfortsatzes (Abb. 2).

Abb. 2 Gesunde Gingiva. Die Gingiva wird koronal durch den Gingivasaum (Limbus gingivae, blaue Linie) begrenzt und geht vestibulär an der mukogingivalen Grenze (Linea girlandiformis, weiße Linie) in die Alveolarmukosa über. Die mukogingivale Grenze kann mithilfe Schiller‘scher Jodlösung dargestellt werden.
Die Gingiva wird koronal durch den Gingivasaum (Limbus gingivae) und apikal durch verschiedene Abschnitte der Mundschleimhaut begrenzt. Vestibulär geht die Gingiva an der mukogingivalen Grenze (Linea girlandiformis) in die Alveolarmukosa über. Lingual besteht eine ähnliche Begrenzung zwischen Gingiva und Mundbodenschleimhaut. Palatinal geht die Gingiva ohne Begrenzung in die Schleimhaut des harten Gaumens über. Die Gingiva besteht aus epithelialen und bindegewebigen Anteilen (Lamina propria), sowie Nerven und Gefäßen. Die Lamina propria ist ein faserreiches Gewebe, dabei dominieren kollagene Fibrillen, die sich zu Faserbündeln gruppieren. Dabei kann man histologisch zwei Schichten im gingivalen Bindegewebe unterscheiden, das zwischen den Retezapfen des Epithels befindliche Stratum papillare sowie dem Stratum reticulare, das zwischen Stratum papillare und dem Periost des Alveolarknochens liegt. Die Gingiva besteht ferner aus zwei sich in Struktur und Funktion unterscheidenden Epitheltypen: dem Saumepithel und dem oralen Sulkus- sowie Gingivaepithel. Bei dem oralen Sulkus- bzw. Gingivaepithel handelt es sich um ein 0,2 bis 0,3 mm dickes mehrschichtiges zumeist para- bzw. keratinisiertes Plattenepithel, das über Retezapfen mit dem Stratum papillare der Lamina propria verzahnt ist (Abb. 3). Dieses Epithel ist widerstandsfähig gegen mechanische Belastungen und relativ undurchlässig für Bakterien und deren Produkte1. Das orale Sulkusepithel bildet die gingivale Begrenzung des Sulcus gingivae, dem koronalen Abschnitt der dentogingivalen Berührungsfläche, in dem kein epitheliales Attachment besteht. Der Sulcus gingivae hat einen V-förmigen Querschnitt und gestattet das ungehinderte Eindringen einer Parodontalsonde. Unter idealen Bedingungen, die nur experimentell bei keimfreien Versuchstieren oder nach einer Phase intensivster Plaquekontrolle dargestellt werden können, ist die koronoapikale Ausdehnung des Sulcus gingivae 0 oder nahe 0 mm. Unter klinisch normalen Verhältnissen beim Menschen findet man mittlere Sulkustiefen von etwa 2 mm.






