- -
- 100%
- +

Abb. 9 Antikörper in der Abwehr von Mikroorganismen: 1) Verhinderung der Adhäsion von Mikroorganismen an Schleimhäuten durch Abschilferung von Epithelzellen und sekretorisches Immunglobulin A (IgA) im Speichel, 2) Komplementaktivierung durch spezifische Antikörper, 3) Opsonierung von Mikroorganismen als Voraussetzung für deren Phagozytose durch Leukozyten10.
Humorale Immunantwort
Der Speichel enthält hohe Konzentrationen von sekretorischem Immunglobulin A (IgA), einem aus zwei IgA-Monomeren, einem Verbindungsmolekül (J-Kette) und der Sekretkomponente zusammengesetztem Dimer. Das sekretorische IgA kann Schleimhäute passieren und die Anheftung bzw. das Eindringen von Mikroorganismen abwehren (s. Abb. 9). Es existieren zwei Unterklassen von IgA: IgA1, das im Serum vorherrscht, und IgA2, das zumeist als sekretorisches IgA auftritt.
IgG ist das häufigste intra- und extravaskuläre Immunglobulin (75 % aller Serumimmunglobuline). Es können 4 Unterklassen unterschieden werden, die unterschiedlich auf verschiedene Antigenklassen reagieren. Bakterielle Proteine induzieren primär die Bildung von IgG1, während IgG2 hauptsächlich per Induktion durch Polysaccharide und Lipopolysaccharide gebildet wird. Antikörper gegen bakterielle Zelloberflächenbestandteile wirken sich positiv auf die Infektionsabwehr aus.
Bei Parodontitis mit Molaren-Inzisiven-Muster (früher lokalisierte aggressive Parodontitis) überwiegt IgG2 gegen das Lipopolysaccharid von A. actinomycetemcomitans Serotyp b. Bei Patienten mit Parodontitis Stadium III und IV mit Grad B bzw. C sind häufig erhöhte Antikörpertiter gegen Parodontalpathogene (z. B. P. gingivalis, A. actinomycetemcomitans) nachzuweisen. Nach Therapie und Verbesserung der klinischen Parameter sinken die Antikörperspiegel. Erhöhte Antikörpertiter sind also auf der einen Seite ein Hinweis auf das Vorhandensein großer Mengen von Parodontalpathogenen. Auf der anderen Seite konnte gezeigt werden, dass bei Patienten mit Parodontitis mit Molaren-Inzisiven-Muster ausgeprägte Serumantikörpertiter gegen A. actinomycetemcomitans vorlagen, während dies bei generalisierter Parodontitis Stadium III und IV mit Grad C nicht der Fall war9.
Die ausgeprägte Immunantwort mit hohen Serumantikörpertitern könnte bei den Patienten mit Parodontitis mit Molaren-Inzisiven-Muster dazu beigetragen haben, dass eine Ausbreitung (Generalisierung) der Infektion und somit der parodontalen Zerstörung verhindert wurde. Die Bildung spezifischer Antikörper ist also Teil der Resistenz eines Wirts gegen eine spezifische mikrobielle Exposition.
Literatur
1. Eickholz P. Ätiologie. In: Heidemann D (Hrsg.). Praxis der Zahnheilkunde 4. Parodontologie. München: Urban & Fischer, 2005.
2. Brecx MC, Gautschi M, Gehr P, Lang NP. Variability of histologic criteria in clinically healthy human gingiva. J Periodont Res 1987;22:468–472.
3. Moughal NA, Adonogianaki E, Thornhill MH, Kinane DF. Endothelial cell leukocyte adhesion molecule-1 (ELAM-1) and intercellular adhesion molecule-1 (ICAM-1) expression in gingival tissue during health and experimentally-induced gingivitis. J Periodont Res 1992;27:623–630.
4. Kornmann KS, Page RC, Tonetti MS. The host response to the microbial challange in periodontitis: assembling the players. Periodontol 2000 1997;14:33–53.
5. Brecx MC, Fröhlicher I, Gehr P, Lang NP. Stereological observations on long-term experimental gingivitis in man. J Clin Periodontol 1988;15:621–627.
6. Liljenberg B, Lindhe J, Berglundh T, Dahlen G. Some microbiological, histopathological and immunohistochemical characteristics of progressive periodontal disease. J Clin Periodontol 1994;21:710–727.
7. Kinane DF, Berglundh T, Lindhe J. Pathogenesis of Periodontitis. In: Lindhe J, Lang NP, Karring T (Hrsg.). Clinical periodontology and implant dentistry. Kopenhagen: Munksgaard, 2008.
8. Löe H, Anerud A, Boysen H, Morrison E. Natural history of periodontal disease in man. Rapid, moderate and no loss of attachment in Sri Lankan laborers 14 to 46 years of age. J Clin Periodontol 1986;13:431–445.
9. Genco RJ, Zambon JJ, Murray PA. Serum and gingival fluid antibodies as adjunct in the diagnosis of Actinobacillus actinomycetemcomitans-associated disease. J Periodontol 1985;56(Suppl):41–50.
10. Ishikawa I, Nakashima K, Koseki T, Nagasawa T, Watanabe H, Arakawa S, Nitta H, Nishihara T. Induction of immune response to periodontopathic bacteria and ist role in the pathogenesis of periodontitis. Periodontol 2000 1997;14: 79–111.
Peter Eickholz
Parodontitis4Wird aus jeder Gingivitis eine Parodontitis?
Die bakteriellen Zahnbeläge induzieren eine entzündliche Reaktion der Gingiva (Gingivitis). Nach Beseitigung der mikrobiellen Exposition bildet sich diese Gingivitis komplett zurück, ohne dass es zu Zerstörungen des Parodonts kommt1. Bei wenigen Menschen (etwa 10 %) bleibt die Gingivitis (etablierte Läsion) über Jahre und ggf. ein Leben lang weitgehend stabil. Ebenfalls bei etwa 10 % geht die Gingivitis frühzeitig in eine Parodontitis über, bei der der Zahnhalteapparat (bindegewebiges Attachment und Knochen) ohne adäquate Therapie rasch zerstört wird und frühzeitig Zahnverlust droht (Parodontitis, Stadium III und IV, Grad C). Bei der Mehrheit der Menschen geht die Gingivitis im mittleren Alter in eine Parodontitis über, die durch eine langsame Progression gekennzeichnet ist2.
Fortgeschrittene Läsion: Parodontitis
Die fortgeschrittene Läsion (Parodontitis) entwickelt sich aus der etablierten Läsion (Gingivitis)1. Hinsichtlich der meisten histologischen Merkmale gleichen sich beide Läsionen. Der entscheidende Unterschied zur Gingivitis ist, dass es bei Parodontitis zu Attachmentverlusten kommt und erstmals Knochenabbau (Abb. 1) beobachtet werden kann3. Während sich die subgingivale Plaque nach apikal zwischen Taschenepithel und Zahnoberfläche schiebt, das subepitheliale Infiltrat sich nach apikal ausdehnt und der Epithelansatz, also die koronalste Ausdehnung des epithelialen Attachments, sich nach apikal verschiebt, ziehen sich der Knochen und das bindegewebige Attachment in apikaler Richtung zurück (Abb. 2). Der Knochenabbau wird durch Stimulation der Osteoklasten angeregt. Zwischen der apikalsten Ausdehnung der subgingivalen Plaque und dem koronalsten Anteil des Alveolarknochens persistiert eine Zone intakten Attachments von 1,5 bis 2,5 mm Breite5. Über eine Distanz von mehr als 2,5 mm kann bakterielle Plaque keinen Knochenabbau induzieren. Eine approximale infraalveoläre Knochentasche kann demnach nur in einem Zahnzwischenraum entstehen, der breiter als 2,5 mm ist, anderenfalls würde das gesamte Interdentalseptum zerstört6.




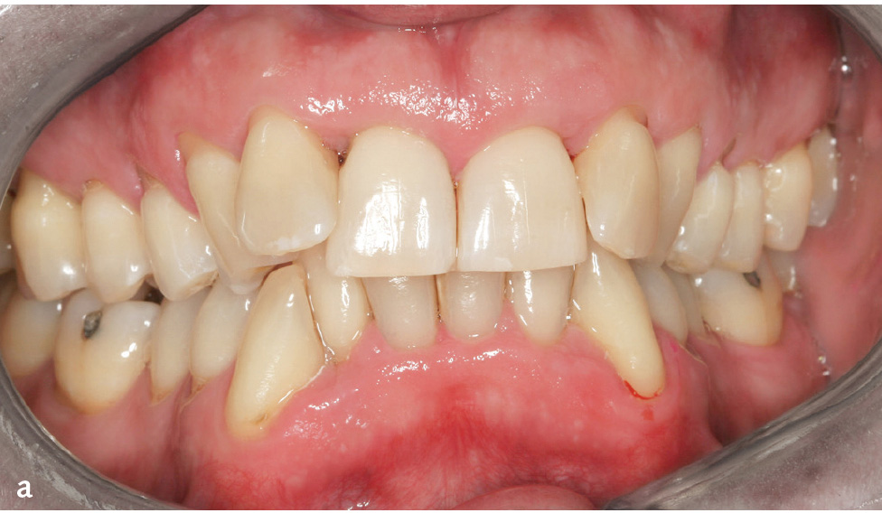
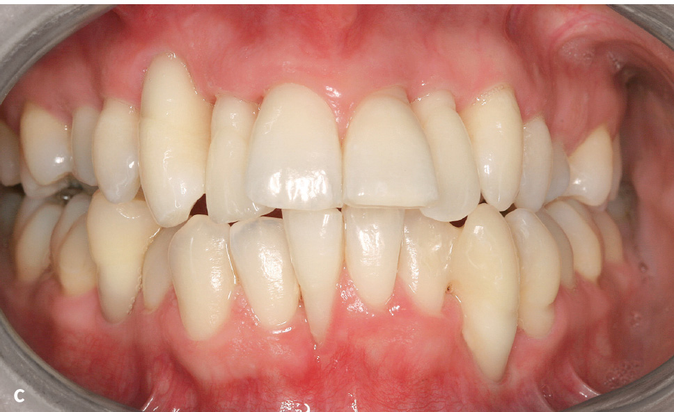
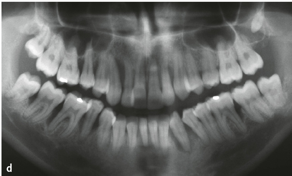
Abb. 1a bis d Parodontitis: a) Mann im Alter von 52 Jahren, Parodontitis, generalisiertes Stadium III, Grad C10: klinische Ansicht (Zahnfehlstellungen im Ober- und Unterkieferfrontzahnbereich, 31 Zahnstein); b) Röntgenstatus zu Abb. 1a: generalisierter überwiegend horizontaler Knochenabbau unterschiedlichen Ausmaßes (bis ins koronale Wurzeldrittel: 15–13, 23, 37–33, 43–47 [bis 33 % der Wurzellänge]; mittlere Wurzeldrittel: 17, 16, 12–22, 24–27, 32–42 [> 33 % der Wurzellänge]; auch am gleichen Zahn (z. B. 36); c) Frau im Alter von 24 Jahren: Parodontitis, generalisiert Stadium III, Grad C10; d) Panoramaschichtaufnahme zu Abb. 1c: Während sich an den Seitenzähnen des 2. Quadranten praktisch kein Knochenabbau findet, weisen andere Zähne Knochenabbau bis ins apikale Wurzeldrittel auf (z. B. 13, 33).

Abb. 2 Fortgeschrittene Läsion (Parodontitis): Die Bilder der etablierten und fortgeschrittenen Läsion gleichen sich mit dem Unterschied, dass es bei der fortgeschrittenen Läsion bereits zu Attachmentverlusten bzw. Knochenabbau gekommen ist, während dies bei der etablierten Läsion noch nicht der Fall ist. Die Menge der Entzündungsmediatoren im Gewebe nimmt zu. Es finden sich vermehrt Plasmazellen. MonozytenChemotaxis-Protein (MCP), Makrophagen-inflammatorisches Protein (MIP), RANTES („regulated on activation, normal T-cell expressed and secreted“), transformierender Wachstumsfaktor β (TGF-β), Interferon γ (IFN-γ), neutrophile segmentkernige Granulozyten (PMN), Leukotriene (LT), Immunglobulin G (IgG), Interleukin-1-Rezeptorantagonist (IL-1ra) (modifiziert nach Kornman4).
Ein hoher Anteil von Plasmazellen im entzündlichen Infiltrat scheint ein Hinweis auf eine aktive Läsion bzw. eine Verschiebung des Gleichgewichts in der Läsion von protektiven (Resolution der Entzündung) zu destruktiven Prozessen (chronische Entzündung ohne Resolution) zu sein7. Plasmazellen produzieren Antikörper. Es müssen also bakterielle Antigene von Makrophagen im körpereigenen Gewebe phagozytiert und entsprechend präsentiert worden sein. Bakterien konnten also in großer Zahl ins Gewebe eindringen: „Die Dämme sind gebrochen.“
Parodontitis ist die entzündliche, durch bakterielle Beläge verursachte Erkrankung aller Anteile des Parodonts, d. h. der Gingiva, des Desmodonts, des Wurzelzementes und des Alveolarknochens, mit fortschreitendem Verlust von Stützgewebe. Die Erkrankung kann sich an einzelnen, mehreren oder an allen Zähnen manifestieren. Dabei können unterschiedliche Stadien der Erkrankung beim gleichen Patienten oder am gleichen Zahn (s. Abb. 1b und d) gleichzeitig vorliegen. Parodontitis verläuft schubweise. Schweregrad und Verlauf können durch weitere Faktoren (z. B. anatomisch, funktionell, systemisch) beeinflusst werden8. Die Zerstörung des Zahnhalteapparates durch Parodontitis ist kein kontinuierlicher Prozess, sondern geprägt von Phasen der Aktivität mit Exazerbation der Entzündung und Schüben knöcherner Resorption und solchen der Inaktivität oder Ruhe, während derer ein Gleichgewicht zwischen Noxen und Wirtsabwehr zu bestehen scheint und sich resorptive und regenerative Prozesse die Waage halten (Abb. 3)9. Auch in einer parodontalen Läsion existieren Knochenformation und -resorption nebeneinander, nur dass die resorptiven Prozesse überwiegen und es in der Gesamtheit zu einem Abbau des alveolären Knochens kommt. Ein grundlegendes Ziel parodontaler Therapie ist es daher, den dysbiotischen Biofilm als Auslöser der chronischen Entzündung zu beseitigen oder zumindest deutlich zu reduzieren, um ein Dominieren kollagen- und knochenbildender Prozesse zu ermöglichen (Resolution)6.

Abb. 3 Kritischer-Verlauf-Pathogenesemodell der Parodontitis: Ineffektive Plaquekontrolle oder eine exogene Infektion transformieren die normale (Symbiose: 1) zu einer pathogenen Flora (Dysbiose: 2). Gelingt es den neutrophilen Granulozyten, diese Flora in Schach zu halten (neutrophile Clearance; 3), bleibt es bei Gingivitis. Können die Granulozyten die pathogene Flora nicht abwehren (z. B. Granulozytendysfunktion oder virulente Mikroorganismen überwinden diese Barriere), penetrieren Bakterien ins Gewebe (4). Damit ist die Grenze von der Gingivitis zur Parodontitis überschritten. Im lymphozytären Infiltrat, in dem bisher T-Zellen dominierten, reichern sich nun B-Zellen und Antikörper bildende Plasmazellen an (5). Gelingt es dem Organismus, genug protektive Antikörper zu produzieren, um die Mikroorganismen abzuwehren, bleibt die Zerstörung begrenzt. Die monozytäre/lymphozytäre Reaktion bestimmt, ob die über Zytokine vermittelten immunologischen und entzündlichen Prozesse primär protektiv oder destruktiv ablaufen (6) (nach Salvi9).
Welche Faktoren begünstigen die Entgleisung der entzündlichen Infektabwehr?
Warum geht eine durch bakterielle Plaque induzierte Gingivitis bei manchen Menschen früher, z. T. schon in jugendlichem Alter, bei anderen später oder aber bei manchen Individuen nie in eine Parodontitis über3,10? Die entzündliche Reaktion der Gingiva ist ein Schutzmechanismus: Sie soll verhindern, dass Mikroorganismen an der Schwachstelle der Körperhülle, die die Durchtrittsstelle der Zähne durch die Mundschleimhaut darstellt, ins Körperinnere (Blut, Bindegewebe, Knochen) eindringen. Diese Entzündungsreaktion ist hochkomplex1,4 und deshalb anfällig für Störungen insbesondere dann, wenn sie über Monate und Jahre aufrechterhalten werden muss. Welche Einflüsse bewirken eine Verschiebung des Gleichgewichts zwischen Noxen und Wirtsabwehr, zwischen protektiven (angemessene Immunantwort) und destruktiven (unangemessene Immunantwort) Prozessen? Zum einen spielt hier eine spezifische dysbiotische bakterielle Plaque eine wesentliche Rolle, die dazu in der Lage ist, zentrale Funktionen der wirtseigenen Abwehr außer Kraft zu setzen. Subgingivale Biofilme von spezifischer Zusammensetzung können die Funktion der neutrophilen Granulozyten, z. B. durch die Freisetzung von Leukotoxin oder die Produktion von kurzkettigen Fettsäuren bzw. Polyaminen, die für neutrophile Granulozyten toxisch sind, beeinträchtigen6. Bakterielle Plaque ist der Auslöser und ätiologischer Hauptfaktor entzündlicher Parodontalerkrankungen3, der entzündliche und immunologische Prozesse in Gang setzt, die zu einer klinisch manifesten Gingivitis führen, wenn das Parodont lange genug viel Biofilm ausgesetzt ist (Abb. 4). Daneben existieren zahlreiche lokale und systemische Ko- bzw. Risikofaktoren (Tab. 1), die auf die immunologische und entzündliche Wirtsantwort sowie den Bindegewebs- und Knochenstoffwechsel einwirken und so im Spannungsfeld von Exposition und Disposition den Verlauf von Gingivitis und Parodontitis sowie deren Geschwindigkeit kausal beeinflussen (Abb. 4). Der multifaktorielle Charakter und damit die Komplexität der Ätiologie und Pathogenese der Parodontitis erschwert die Identifikation von parodontalpathogenen Mikroorganismen und Risikofaktoren.

Abb. 4 Pathogenese von Gingivitis und Parodontitis nach Meyle & Chapple11, das sich aus dem klassischen Modell von Page & Kornman12 entwickelt hat. Wenn der Biofilm auf den Zähnen nicht regelmäßig entfernt bzw. zerstört wird, entwickelt sich eine Dysbiose, die einen chronischen und destruktiven Entzündungsprozess auslöst und aufrechterhält (AMP: antimikrobielle Peptide; DAMP: Damage-Associated Molecular Pattern; fMLP: f-Met-Leu-Phe; GCF: gingivale Sulkusflüssigkeit; LPS: Lipopolysaccharide; MMP: Matrix-Metalloproteinasen; PMN: polymorphkernige neutrophile Granulozyten).
Tab. 1 Definitionen für Faktoren, die den Verlauf einer Erkrankung (z. B. Parodontitis) beeinflussen8.
Risikofaktor: Eine Variable, von der angenommen wird, dass sie mit der Krankheitsentstehung eines Individuums kausal in Zusammenhang steht. Diese Variable kann aus dem Bereich des Lebensstils, der Umwelt und angeborener bzw. erworbener Faktoren stammen. Sie ist auf der Basis epidemiologischer Evidenz mit einem bestimmten Gesundheitszustand assoziiert (z. B. Nikotinkonsum).Risikoindikator: Ein potenzieller Risikofaktor, der nur in Querschnittsstudien ermittelt, jedoch (noch) nicht longitudinal bestätigt wurde (z. B. psychosozialer Stress).Risikomarker/-prädiktoren: Eng mit erhöhter Erkrankungswahrscheinlichkeit verknüpfte Faktoren, die jedoch kein Bestandteil der Ursache(n) sind (z. B. Zahl der bereits fehlenden Zähne).Hintergrundfaktoren: Sie sind mit erhöhter Erkrankungswahrscheinlichkeit vergesellschaftet, aber nicht beeinflussbar (z. B. Lebensalter).Relatives Risiko: Es gibt an, um welchen Faktor sich die Erkrankungswahrscheinlichkeit bei Exposition mit dem Agens erhöht. Der Faktor sollte > 2 sein (z. B. ist das relative Risiko für Parodontitis bei Rauchern 2,5–6).Attributables Risiko: Jener Anteil, um den die Erkrankungsprävalenz bei vollständiger Elimination des Risikofaktors abnähme.Systemische Risikofaktoren/-indikatoren
Endogene Faktoren/Indikatoren
Genetische Faktoren/Indikatoren
Viele Patienten, bei denen fortgeschrittene Formen von Parodontitis diagnostiziert werden, berichten über ähnliche Erkrankungen bei Geschwistern bzw. frühzeitigen Zahnverlust bei ihren Eltern. Diese Beobachtungen weisen auf den Einfluss genetischer bzw. erblicher Faktoren hin. Die familiäre Häufung einer Erkrankung kann aber auch durch in der Familie geteilte Mundhygiene- bzw. Ernährungsgewohnheiten oder die Transmission von pathogenen Mikroorganismen innerhalb der Familie erklärt werden. Bei einigen schweren systemischen Erkrankungen mit genetischer Ätiologie ist der Effekt der genetischen Störung auf die parodontalen Gewebe bekannt (z. B. „Leukocyte adhesion deficiency“ [LAD]Syndrom, ChédiakHigashi-Syndrom, familiäre Neutropenie, Papillon-Lefèvre-Syndrom)13. Die genetischen Defekte bei diesen Erkrankungen sind aber so schwer, dass sie meist mit einer allgemeinen Anfälligkeit für Infektionen einhergehen. Die Parodontitis wird deshalb als Manifestation dieser systemischen Erkrankungen aufgefasst und die Erkrankung nicht primär als Risikofaktor für die Entstehung der Parodontitis betrachtet.
Es sind aber auch genetische Abweichungen denkbar, die keine systemische Abwehrschwäche verursachen, sondern unter den besonderen Bedingungen der dentogingivalen Region bei ausgeprägter Dysbiose in der multifaktoriellen Ätiologie der Parodontitis das Gleichgewicht von Homöostase (Resolution) zur Destruktion (chronische Entzündung ohne Resolution) verschieben können (Abb. 4).
Es konnte gezeigt werden, dass für die (chronische) Parodontitis auch unter Berücksichtigung externer Faktoren wie Rauchen etwa 50 % der Variabilität von Schwere und Ausmaß der Erkrankung erblich, d. h. genetisch moduliert, sind8. Für viele Gene, die die Zytokinexpression kodieren, existieren Polymorphismen, d. h. Abweichungen in der DNS-Sequenz des betreffenden Gens. Wenn solche Polymorphismen in den Regulationsregionen der Gene auftreten, können sie zur Überproduktion von Zytokinen und damit zu einer überschießenden Entzündungsreaktion führen, die nicht mehr vor Infektion schützt, sondern Gewebe zerstört. Ein Polymorphismus des IL-1B-Gens, das für IL-1β kodiert, führt zu einer zwei- bis vierfachen Produktion des Zytokins bei Parodontitis (Abb. 5)6. Personen mit Parodontitis, die diesen Polymorphismus aufweisen, scheinen ein erhöhtes Risiko für parodontale Attachment- bzw. Zahnverluste zu haben6. Vermutlich liegt bei Parodontitis ein polygenes Vererbungsmuster vor, d. h. eine Anzahl verschiedener Gene muss verändert sein, bevor ein klinischer Effekt im Sinne einer verstärkten Prädisposition für Parodontitis manifest wird.

Abb. 5 Interleukin-1-Polymorphismus-Genotyp: Bei einem entzündlichen Reiz (z. B. bakterielle Plaque) wird bei Patienten vom IL-1-Polymorphismus-Genotyp die zwei- bis vierfache Menge von Interleukin-1 ausgeschüttet, was mit einer stärkeren Entzündungsreaktion und damit Gewebedestruktion einhergeht.
Diabetes mellitus
Das Risiko an Parodontitis zu erkranken, ist für Patienten mit Diabetes mellitus (Typ 1 und 2; erworbener Risikofaktor) größer als für Patienten, die nicht an Diabetes erkrankt sind. Der Zusammenhang zwischen Parodontitispathogenese und Diabetes mellitus wird vom Schweregrad der Stoffwechselstörung, der Dauer der Erkrankung und anderen mit Diabetes einhergehenden Komplikationen beeinflusst. Wie andere chronische Entzündungen ist Parodontitis allerdings auch ein Risikofaktor für Diabetes mellitus8. Der Einfluss von Parodontitis und Diabetes mellitus ist bidirektional.
Je besser die Stoffwechselstörung kontrolliert wird, desto geringer die Prädisposition durch Diabetes für Parodontitis. Je länger ein Patient an Diabetes mellitus erkrankt ist, desto größer die Wahrscheinlichkeit, dass er eine destruktive Parodontitis entwickelt. Je nach metabolischer Einstellung liegen bei Diabetikern Hyperglykämie und Hyperlipidämie vor. Die chronisch erhöhten Glukosespiegel im Blut führen zur beschleunigten Bildung fortgeschrittener Glykierungsendprodukte (Advanced Glycation Endproducts: AGE), nichtenzymatisch glykierter Proteine und Lipide. Es kommt so auch zur Glykierung des Typ-IV-Kollagens der Basalmembran der Gefäße. Daraus resultieren eine Behinderung der Diapedese von Leukozyten, der Sauerstoffdiffusion und des Abtransports von Stoffwechselprodukten. Der entstehende oxidative Stress fördert die Freisetzung proinflammatorischer Zytokine. Bei Diabetikern wird eine verringerte Chemotaxis, Adhäsion, Phagozytose und Abtötung von Bakterien durch segmentkernige neutrophile Granulozyten beobachtet. Dies kann zum einen ebenfalls auf metabolische Effekte (Funktionsstörung durch Glykierung) zurückgeführt werden, zum anderen wird eine genetische mit Diabetes mellitus in Verbindung stehende Dysfunktion der Granulozyten angenommen. Diese genetische Prädisposition geht auch mit einem abnormen Monozytenphänotyp einher, der bei Kontakt mit Lipopolysacchariden überschießend Entzündungsmediatoren freisetzt und so eine überschießende und destruktive Entzündungsreaktion hervorruft. Andererseits besitzen Monozyten Rezeptoren für AGE und Lipide, die ebenfalls die Freisetzung von Zytokinen verursachen (Tab. 2).
Tab. 2 Diabetes mellitus als Risikofaktor für Parodontitis: Pathogenetische Mechanismen6,8.
Parodontale Mikroflora: Keine Unterschiede zu systemisch gesunden Patienten.Neutrophile Granulozyten (PMNs) und Antikörper-Clearance: Geschwächte Adhäsion, Chemotaxis, Phagozytose und Abtötung von Bakterien durch PMNs. Die Dysfunktion der PMNs hängt von der Kontrolle des Blutzuckerspiegels ab.Monozyten und Lymphozyten: Spezifisch verstärkter Monozytenphänotyp aufgrund genetischer und metabolischer Einflüsse. Diese Monozyten sind entzündungssteigernd und haben eine verringerte reparative Kapazität. Die Beseitigung apoptotischer Zellen durch Monozyten wird durch oxidativen Stress verstärkt.Zytokine und Entzündungsmediatoren: Übersteigerte Sekretion von Entzündungsmediatoren (IL-1β, PGE2, TNF-α) durch Monozyten und in der Sulkusflüssigkeit als Reaktion auf Lipopolysaccharide, erhöhte Sekretion von proinflammatorischen Zytokinen durch Wechselwirkung fortgeschrittener Glykierungsendprodukte (Advanced Glycation Endproducts: AGE) mit Monozyten über spezifische Rezeptoren (RAGE). Oxidativer Stress induziert IL-1β, IL-6, TNF-α, COX-2, MIP-1α.Bindegewebe und Gefäßveränderungen: Erhöhte Aktivität der Matrix-Metalloproteinasen, beschleunigte Bildung von AGEs, vermehrte Kreuzverknüpfung des Kollagens, Verdickung der Basalmembran der Gefäße mit Behinderung der PMN-Diapedese, der Sauerstoffperfusion und des Abtransports von Stoffwechselprodukten. Verringerte Sekretion von Wachstumsfaktoren, schlechtere Wundheilung. Oxidativer Stress fördert programmierten Zelltod (Apoptose).Klinische Konsequenzen: Erhöhte Prävalenz und erhöhter Schweregrad von Gingivitis und Parodontitis. Der Schweregrad ist mit dem Blutzuckerspiegel und der Dauer der Erkrankung korreliert. Parodontitis spricht schlecht auf Therapie an.





