- -
- 100%
- +
Exogene (Umwelt-/Verhaltens-)Faktoren/Indikatoren
Nikotinkonsum
Tabakkonsum ist direkt mitverantwortlich für zahlreiche Erkrankungen wie Krebs sowie Atemwegs- und Kreislauferkrankungen. Zahlreiche Querschnitts- und longitudinale Studien belegen den Einfluss von Zigarettenrauchen auf die Pathogenese der Parodontitis8. Angesichts der Tatsache, dass etwa 27 % der Bundesbürger rauchen, stellt der Zusammenhang zwischen Nikotinkonsum und Parodontitis ein ernsthaftes gesundheitspolitisches Problem dar. Das Ausmaß parodontaler Zerstörung korreliert mit der Dosis des Nikotinkonsums, der als Packungsjahre (Zahl der pro Tag gerauchten Zigarettenschachteln multipliziert mit der Zahl der Jahre des Rauchens) bestimmt werden kann. Das Risiko, bei einem Raucher Parodontitis anzutreffen, liegt je nach Dosis (Zigaretten pro Tag) um den Faktor 3 bis 6 höher als bei einem Nichtraucher (Abb. 6)8. Dabei spielt es keine Rolle, ob der Nikotinkonsum im Zigaretten-, Zigarren- bzw. Pfeiferauchen besteht. Etwa die Hälfte der Parodontitiserkrankungen bei Personen, die jünger als 33 Jahre sind, können auf das Rauchen zurückgeführt werden (attributables Risiko 50 %). Rauchen beeinträchtigt die Wundheilung und bei Rauchern sind ungünstigere Therapieergebnisse zu erwarten als bei Nichtrauchern.


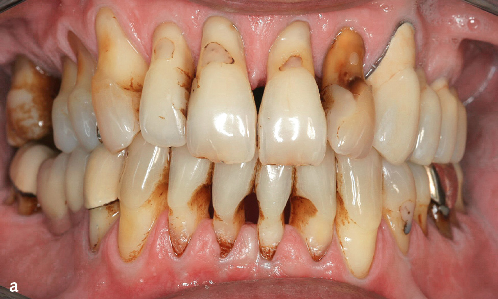
Abb. 6a und b Mann im Alter von 60 bzw. 61 Jahren, starker Raucher, Parodontitis, generalisiertes Stadium IV, Grad C; 1962 bis 1995 20 Zigaretten/Tag, seit 1995 10 Zigaretten/Tag (etwa 44 Packungsjahre): a) Klinische Ansicht im Alter von 61 Jahren; b) Panoramaschichtaufnahme im Alter von 60 Jahren.
Nikotinkonsum hat verschiedene lokale und systemische Auswirkungen auf die oralen Gewebe. Bei Rauchern besteht im Vergleich zu Nichtrauchern eine schwächere Assoziation zwischen supragingivaler Plaque und Bluten auf Sondieren8. Diese Beobachtung kann durch das Nikotin erklärt werden, das zu einer lokalen Vasokonstriktion und damit verringertem Blutfluss, Ödem und Entzündungszeichen führt. Raucher haben weniger T-Helferzellen, die für die B-Zellfunktion und Antikörperproduktion wichtig sind, und erniedrigte Antikörperspiegel. Tabakbestandteile können die Chemotaxis und/oder Phagozytose neutrophiler Granulozyten beeinträchtigen (Tab. 3)6,8.
Tab. 3 Nikotinkonsum als Risikofaktor für Parodontitis: Pathogenetische Mechanismen6,8.
Parodontale Mikroflora: Erhöhte Prävalenz und Anzahl von Tannerella forsythia bei Rauchern.Neutrophile Granulozyten und Antikörper-Clearance: Geschwächte Chemotaxis und Phagozytose, verringerte Spiegel von sekretorischem IgA im Speichel und Serum-IgG gegen Prevotella intermedia und Fusobacterium nucleatum. Gehemmte Freisetzung lysosomaler Enzyme und Superoxidanionenproduktion.Monozyten und Lymphozyten: Reduziertes T4/T8-Verhältnis korreliert mit den Packungsjahren. Erhöhte Sekretion von Entzündungsmediatoren (IL-1b, PGE2, TNF-a) durch Monozyten als Reaktion auf Lipopolysaccharide. Oxidativer Stress und Nikotin induzieren den entzündlichen Monozytenphänotyp mit verringerter reparativer Kapazität.Zytokine und Entzündungsmediatoren: Rauchen ist möglicherweise ein wichtiger Reiz für die phänotypische Expression des IL-1-Polymorphismus.Bindegewebe und Gefäßveränderungen: Geringe gingivale Entzündung und Blutung in Relation zum Schweregrad der Erkrankung. Verstärkter parodontaler Knochenabbau und verstärkte Zerstörung gingivalen Bindegewebes durch Matrix-Metalloproteinasen. Die vasokonstriktive Aktivität des Nikotins verursacht oxidativen Stress.Klinische Konsequenzen: Fibrotische und hyperkeratotische Gingiva mit verdickten Rändern. Schwache Assoziation zwischen parodontalem Status und mikrobieller Plaque bzw. Zahnstein. Rezessionen im Frontzahnbereich, hoher Anteil tiefer Taschen im Frontzahnbereich und an palatinalen Stellen im Oberkiefer. Erhöhte Misserfolgsrate bei enossalen Implantaten und regenerativer Therapie.Tabelle 4 fasst weitere systemische Risikofaktoren/-indikatoren zusammen.
Tab. 4 Systemische Risikofaktoren/-indikatoren für Parodontitis (Eickholz6).
ExogenEndogenNikotinkonsumgenetisch bedingte Faktorenpsychosozialer Stressz. B. Zytokinpolymorphismen(Osteopenie)erworbenDiabetes mellitus(HIV-Infektion)Lokale Risikofaktoren
Eines der Charakteristika der parodontalen Destruktion ist ihre Stellenspezifität, d. h. innerhalb einer Dentition bzw. an einem einzelnen Zahn können verschiedene Stadien parodontaler Destruktion auftreten (s. Abb. 1). Dies kann durch die Besiedlung verschiedener parodontaler Taschen mit unterschiedlich virulenten Keimen6 oder durch unterschiedliches Auftreten bzw. Ausprägung lokaler Faktoren bedingt sein. Zu diesen lokalen Faktoren, die die mikroökologischen Verhältnisse in der Mundhöhle beeinflussen und damit Entstehung sowie Progression der Parodontitis begünstigen können, gehören Zahnstellung (Schachtelstellung von Frontzähnen, Mesialkippung von Molaren) und -morphologie. Insbesondere in den Furkationen mehrwurzliger Zähne finden sich anatomische Besonderheiten wie Schmelzparaplasien (Schmelzsporne, -inseln, -tropfen und -perlen) (Abb. 7a), Wurzelzementkämme und blind endende Öffnungen6. Im Bereich der teilweise weit in die Furkation reichenden Schmelzsporne besteht kein bindegewebiges, sondern nur ein epitheliales Attachment. Während das bindegewebige Attachment erst im Stadium der fortgeschrittenen Läsion zerstört wird, geht nach bakterieller Exposition und Entstehung einer Gingivitis das epitheliale Attachment bereits beim Übergang von der frühen zur etablierten Läsion (Gingivitis) verloren. Auch Furchen in der Wurzeloberfläche (z. B. palatinale Furche seitlicher Oberkieferschneidezähne) gehören zu diesen lokalen Kofaktoren der Parodontitis, aber auch iatrogen bedingte Situationen wie überhängende oder subgingival gelegte Restaurationsränder, die die Besiedlung der betroffenen Zahnoberflächen insbesondere mit pathogenen Keimen begünstigen (Abb. 7b)6.


Abb. 7a und b Lokale Parodontitis-Risikofaktoren: a) Zahn 36 nach Tunnelierung mit breitem und weit in den Furkationsfornix reichenden bukkalen Schmelzsporn; b) Panoramaschichtaufnahme einer Frau im Alter von 35 Jahren (1995): Parodontitis, generalisiert Stadium III, Grad C. Der Zahnersatz mit zum Teil stark überhängenden Kronenrändern wurde im Jahr 1994 eingegliedert.
Einen weiteren lokalen Risikofaktor stellt das okklusale Trauma dar. Hierbei liegen entweder exzessive okklusale Kräfte (z. B. durch einen Suprakontakt) bei normalen parodontalen Verhältnissen vor (primäres okklusales Trauma) oder normale bzw. exzessive okklusale Kräfte führen bei reduziertem Parodont zu einer Traumatisierung der parodontalen Strukturen (sekundäres okklusales Trauma). Das okklusale Trauma kann zwar zu erhöhter Zahnbeweglichkeit führen, resultiert aber ohne bakterielle Exposition nicht in einer entzündlichen Zerstörung parodontaler Gewebe. Bei Vorliegen von bakterieller Plaque und Gingivitis scheint diese erhöhte Zahnbeweglichkeit aber das lokale Risiko für Attachmentverluste zu erhöhen8.
Ist es zu Taschenbildung, Attachmentverlust und Knochenabbau gekommen, können die so entstandenen Defekte wiederum die bakterielle Besiedlung (Biofilm) begünstigen und damit die mikrobielle Exposition (Dysbiose) erhöhen (s. Abb. 3 und 4). Bei Patienten mit unbehandelter Parodontitis haben Zähne mit Knochentaschen gegenüber Situationen mit horizontalem Knochenabbau ein erhöhtes Risiko für weiteren Knochenabbau und Zahnverlust5. Auch Vorhandensein und Ausmaß einer Furkationsbeteiligung verschlechtern die Prognose mehrwurzliger Zähne erheblich6.
Diese Risikofaktoren allein verursachen keine Parodontitis. Ist es aber durch oralen Biofilm zur Gingivitis gekommen, erhöhen sie die Wahrscheinlichkeit, dass sich aus der Gingivitis (angemessene Immunantwort) eine Parodontitis (unangemessene Immunantwort) entwickelt. Je mehr Risikofaktoren bei einer Person oder an einem Zahn zusammen kommen, desto höher ist das Risiko, dass sich eine Parodontitis entwickelt.
Literatur
1. Eickholz P. Glossar der Grundbegriffe der Parodontologie. Ätiologie entzündlicher Parodontalerkrankungen: Teil 1: Gingivitis. Parodontologie 2013;24:295–302 (s. Beitrag 3 in diesem Buch).
2. Löe H, Anerud A, Boysen H, Morrison E. Natural history of periodontal disease in man. Rapid, moderate and no loss of attachment in Sri Lankan laborers 14 to 46 years of age. J Clin Periodontol 1986;13:431–440.
3. Kinane DF, Berglundh T, Lindhe J. Pathogenesis of Periodontitis. In: Lindhe J, Lang NP, Karring T (Hrsg.). Clinical periodontology and implant dentistry. Kopenhagen: Munksgaard, 2008:285–306.
4. Page RC, Kornman KS. The pathogenesis of human periodontitis: an introduction. Periodontol 2000 1997;14: 9–11.
5. Page RC, Schroeder HE. Periodontitis in man and other animals. A comparative review. Basel: Karger, 1982.
6. Eickholz P. Ätiologie. In: Heidemann D (Hrsg.). Praxis der Zahnheilkunde 4. Parodontologie. München: Urban & Fischer, 2005:33–70.
7. Liljenberg B, Lindhe J, Berglundh T, Dahlen G. Some microbiological, histopathological and immunohistochemical characteristics of progressive periodontal disease. J Clin Periodontol 1994;21:710–727.
8. Deutsche Gesellschaft für Parodontologie. Parodontitis 2010. Das Risikokompendium. Berlin: Quintessenz Verlag, 2010.
9. Salvi GE, Lawrence HP, Offenbacher S, Beck JD. Influence of risk factors on the pathogenesis of periodontitis. Periodontol 2000 1997;14:173–201.
10. Papapanou PN, Sanz M, et al. Periodontitis: Consensus report of Workgroup 2 of the 2017 World Workshop on the Classification of Periodontal and Peri-Implant Diseases and Conditions. J Clin Periodontol 2018;45(Suppl 20): S162–S170. https://doi.org/10.1111/jcpe.12946.
11. Meyle J, Chapple I Molecular aspects of the pathogenesis of periodontitis. Periodontol 2000 2015;69:7−17.
12. Kornmann KS, Page RC, Tonetti MS. The host response to the microbial challange in periodontitis: assembling the players. Periodontol 2000 1997;14:33–53 .
13. Eickholz P, Klein F, Nickles K. Glossar der Grundbegriffe für die Praxis: Parodontitis als Symptom von Syndromerkrankungen. Parodontologie 2014;25:191–199.
Bettina Dannewitz, Peter Eickholz
Gingivawucherungen5Einleitung
Eine Vergrößerung oder Wucherung der Gingiva kann unterschiedliche Ursachen haben. Neben einer entzündlichen Genese, die lokal oder systemisch modifiziert werden kann, spielen genetische Faktoren, Allgemeinerkrankungen und die Einnahme verschiedener Medikamente eine Rolle. Das Gewebe kann generalisiert oder lokalisiert auf Zahngruppen (häufig symmetrisch im Tuber- und Gaumenbereich der Molaren) vergrößert sein.
Gingivawucherungen/-vergrößerungen werden häufig als Gingivahyperplasien bezeichnet. Da aber die Vergrößerung der Gingiva nicht alleine durch eine Vermehrung der Fibroblasten, sondern auch durch die Zunahme der extrazellulären Matrix entsteht, ist der Begriff „Hyperplasie“ irreführend. In der gültigen internationalen Klassifikation von 20181,2 wird daher diese Erkrankung treffender als Gingivawucherung/-vergrößerung (z. B. vererbte Gingivafibromatose, medikamentös induzierte Gingivawucherungen) bezeichnet.
Die Einteilung der in diesem Glossar beschriebenen Wucherungen orientiert sich an dieser Klassifikation und unterteilt die beschriebenen Veränderungen in durch Plaque induzierte und nicht durch Plaque induzierte Gingivawucherungen.
Dabei beschränkt sich der Artikel auf gingivale Wucherungen, die fibrös oder entzündlich bedingt sind (Tab. 1). Daneben finden sich eine Reihe anderer Gewebevergößerungen (z. B. Exostosen in Form eines Torus mandibulae) sowie gutartige und bösartige Neoplasien, die sich an der Gingiva manifestieren können.
Tab. 1 Einteilung der Gingivawucherungen.
Plaqueinduzierte GingivawucherungenNicht plaqueinduzierte Gingivawucherungenlokal modifiziert• Mundatmungidiopathisch bedingtsystemisch modifiziert• hormonelle Einflüsse• Allgemeinerkrankungen• medikamentös induziertPlaqueinduzierte Gingivavergrößerungen
Zu den plaqueinduzierten Gingivavergrößerungen gehören zum einen die allein entzündlich bedingten Wucherungen, die zusätzlich durch lokale (Mundatmung) oder systemische Faktoren (hormonelle Einflüsse, Medikamente) verstärkt (modifiziert) werden können.
Infolge der durch die bakterielle Plaque verursachten entzündlichen Reaktion kommt es im umliegenden parodontalen Gewebe zur gesteigerten Durchblutung, zum Austritt von Serum aus den Gefäßen und damit zu einer ödematösen Schwellung.
Zusätzlich können die gingivalen Fibroblasten mit einer verstärkten Synthese der extrazelluären Matrix auf den entzündlichen Reiz reagieren. Eine Wucherung der befestigten Gingiva bis über die klinischen Kronen, wie sie bei medikamentös induzierten Gingivawucherungen beobachtet werden kann, ist extrem selten und meist nur lokalisiert.
Begünstigt durch die Mundatmung und die damit verbundene Austrocknung der Schleimhaut kann es vor allem labial im Oberkieferfrontzahnbereich zu einer verstärkten Reaktion auf entzündliche Reize und zu einer ausgeprägten Gingivaverdickung in dieser Region kommen (Abb. 1).

Abb. 1 Plaqueinduzierte Gingivawucherung, die durch Mundatmung verstärkt wurde.
Durch systemische Faktoren verstärkte Gingivawucherungen
Eine durch mikrobielle Plaque und/oder lokale Reizfaktoren induzierte Gingivitis und dadurch bedingte Gingivawucherung kann durch hormonelle Einflüsse (Pubertät, Menstruationszyklus, Schwangerschaft) oder Allgemeinerkrankungen verstärkt werden.
Während der Schwangerschaft auftretende Gingivawucherungen
In der Schwangerschaft (überwiegend gegen Ende des ersten Trimenon) kann es – meist als Exazerbation einer schon vorher bestehenden Gingivitis oder Parodontitis – zu einer generalisierten oder gelegentlich auch lokalisierten Gingivawucherung kommen. Hohe Spiegel von Östrogen und Progesteron können bei längerfristiger Einwirkung am Schleimhautepithel zu einer Herabsetzung des Keratinisierungsgrades führen. In Verbindung mit einer gesteigerten Kapillarpermeabilität resultiert eine höhere Vulnerabilität des Gewebes. Die klinisch weiche, rötliche Gingivawucherung wird durch ein sehr gefäßreiches, überschießendes Granulationsgewebe hervorgerufen.
Lokalisierte, exophytische Wucherungen der marginalen Gingiva entstehen bevorzugt im Frontzahnbereich. Sie werden als Epulis vascularis (pyogenes Granulom)3 oder als „Schwangerschaftstumor“ (auch Epulis gravidarum) bezeichnet (Abb. 2). Zu dieser Veränderung kommt es infolge kleiner Gewebstraumen als übermäßige entzündliche Entwicklung von Granulationsgewebe. Vaskuläre Epuliden treten aber nicht nur im Rahmen einer Schwangerschaft auf und können neben einer gingivalen Lokalisation auch an der Zunge, Lippe, der Wangenschleimhaut, dem Gaumen, dem Vestibulum und an Frenula beobachtet werden.

Abb. 2 Pyogenes Granulom, das während der Schwangerschaft auftrat.
Die Epulis vascularis ist eine zumeist interdental gestielte, im Vergleich zu anderen Wucherungen streng lokalisierte Gewebevergrößerung, die innerhalb weniger Monate ihre volle Größe entwickelt (meist < 20 mm)4. Die Oberfläche des Granuloms ist rötlich und häufig ulzeriert bzw. fibrinbedeckt, und sie neigt stark zu Spontanblutungen. Die Inzidenz für eine Epulis vascularis während der Schwangerschaft wird mit 0,5 bis 5 % angegeben5. Eine operative Entfernung ist nur sinnvoll, wenn es durch das Granulom zu Störungen beim Essen oder Sprechen kommt. Ansonsten bildet sich sowohl die lokalisierte als auch die generalisierte Gingivawucherung nach der Geburt auch ohne chirurgische Intervention zumeist zurück.
Neben der Epulis vascularis existieren noch zwei weitere lokal begrenzte gingivale Gewebevergrößerungen, die Epulis fibrosa (peripheres Fibrom) und das periphere Riesenzellgranulom3. Sie werden der Vollständigkeit halber kurz beschrieben.
Die Epulis fibrosa (peripheres Fibrom) zählt zu den fibrösen Gingivawucherungen. Sie besitzt im Gegensatz zur Epulis vascularis eine derbere Konsistenz und eine blasse bis rosafarbene, nicht entzündlich veränderte Oberfläche. Das Bindegewebe zeigt eine faserreiche extrazelluläre Matrix, in der die Kollagenbündel ähnlich den dento- und alveologingivalen Fasern verlaufen.
Das periphere Riesenzellgranulom ist häufig die Manifestation eines zentralen Riesenzellgranuloms. Dieser gutartige Tumor kann sowohl in bezahnten als auch in unbezahnten Kieferabschnitten vorkommen, ist im Unterkiefer häufiger als im Oberkiefer zu beobachten und kann in den benachbarten Knochen eindringen. Die Wucherung ist schmerzlos und weist meist eine dunkelrote Farbe sowie eine entzündlich ulzerierte Oberfläche auf, die leicht blutet. Die genaue Ätiologie der Veränderungen ist nicht vollständig geklärt; als auslösender Faktor werden traumatische Gewebeschädigungen diskutiert.
Gingivavergrößerungen bei Bluterkrankungen
Über eine Vergrößerung der Gingiva wird auch bei leukämischen Erkrankungen berichtet. Infolge der Verminderung funktionstüchtiger Leukozyten kann es zu starken Entzündungsreaktionen und durch das leukozytäre Infiltrat zur Verdickung der Gingiva kommen3. Die häufig schmerzhafte Wucherung der Gingiva entsteht in relativ kurzer Zeit, und die Patienten berichten über ein eingeschränktes Wohlbefinden, Fieber oder Abgeschlagenheit. Bei dem Verdacht einer allgemeinmedizinischen Genese der Gingivawucherung sollte unverzüglich die Überweisung an einen Internisten zur weiteren Abklärung erfolgen.
Medikamentös induzierte Gingivawucherungen
Mit medikamentös verursachten Gingivawucherungen werden vor allem Cyclosporin A (Immunsuppressivum bei Transplantationen oder Autoimmunerkrankungen), Kalziumkanalblocker (Nifedipin, Diltiazem, Verapamil) und Phenytoin (Antikonvulsivum) in Verbindung gebracht (Tab. 2). Trotz der pharmazeutisch unterschiedlichen Wirkstoffe sind sich die histologischen und klinischen Befunde ähnlich.
Tab. 2 Medikamente bzw. Wirkstoffe, die mit einer Gingivawucherung assoziiert sein können6.
WirkstoffPräparat (Beispiele)Prävalenz von GingivawucherungenImmunsuppressivaCyclosporineSandimmun, NeoralErwachsene 25–30 % Kinder > 70 %AntikonvulsivaPhenytoinEpanutin, Phenhydan50 %7CarbamazepineTegretalnicht beschriebenVigabatrinSabrilseltenPhenobarbitalLuminal< 5 %ValproinsäureConvulexseltenKalziumkanalblockerNifedipinAdalat, Aprical, Corinfar, Duranifin24 %8–44 %9DiltiazemDilsal, Dilta, Corazet5–20 %VerapamilAzupamil, Cordichin, Falicard, Isoptin, Vera< 5 %10FelodipinFelobet, Felocor, MunobalseltenAmlodipinNorvascselten11IsradipinLomir, Vacsalnicht beschriebenNach Beginn der medikamentösen Therapie kommt es bevorzugt im Bereich der Papillen zu einer generalisierten oder lokalisierten Dickenzunahme der Gingiva12. Dabei ist die Prävalenz der Veränderung bei Kindern und Jugendlichen meist höher als bei Erwachsenen. Durch die Vergrößerung entstehen Pseudotaschen, die von den Patienten kaum zu reinigen sind. Die primär fibröse Wucherung kann dadurch sekundär entzündlich überlagert und deutlich verstärkt werden. Die Patienten fühlen sich meist nicht nur in ihrer Ästhetik beeinträchtigt, sondern es kann auch zu Problemen beim Essen, Sprechen und bei Kindern im Rahmen des Zahndurchbruchs kommen. Durch den Druck des wuchernden Gewebes können sogar Zahnstellungsänderungen hervorgerufen werden, die nach einer erfolgreichen Therapie reversibel sind.
Wirkmechanismus
Cyclosporin, Kalziumkanalblocker und Phenytoin bzw. deren Abbauprodukte greifen an unterschiedlichen Punkten in den zellulären Kalziumstoffwechsel ein. Der genaue pathogenetische Einfluss auf die parodontalen Zellen und die Homöostase der extrazellulären Matrix ist bisher aber nicht vollkommen geklärt und ist unter Umständen für die verschiedenen Präparate unterschiedlich.
Im Gegensatz zu entzündlichen Parodontalerkrankungen, bei denen es zu einem Abbau von gingivalem Bindegewebe kommt, findet bei Gingivawucherungen eine Zunahme von Fibroblasten, der extrazellulären Matrix und häufig auch eine Verdickung des Epithels statt.
Die Zunahme der extrazellulären Matrix des gingivalen Bindegewebes kann durch eine vermehrte Synthese aber auch durch eine reduzierte Bildung von Kollagenasen, die für den enzymatischen Abbau der Matrix verantwortlich sind, verursacht werden. Daneben wird auch diskutiert, ob die Medikamente eine veränderte Gewebereaktion auf bakterielle Plaque verursachen.
Medikamente
Cyclosporin A
Cyclosporin wird nach Organtransplantation alleine oder in Kombination mit Kortikosteroiden zur Suppression der Immunreaktion angewendet. Daneben werden auch Erkrankungen, die in Zusammenhang mit einer Dysfunktion des körpereigenen Abwehrsystems stehen (u. a. Psoriasis, Pemphigus vulgaris und rheumatische Arthritis), mit diesem Wirkstoff therapiert.
Gingivawucherungen treten mit einer Häufigkeit von etwa 25 bis 30 % auf6 und manifestieren sich meist innerhalb von 3 Monaten nach Beginn der medikamentösen Behandlung (Maximum nach 6 Monaten; Abb. 3).

Abb. 3 Cyclosporin-A-induzierte Gingivawucherung bei einem Patienten nach Nierentransplantation.
Da es nach Nierentransplantation zu einer Erhöhung des Bluthochdrucks (renal verstärkt) kommen kann, werden den Patienten häufig Kalziumkanalblocker verordnet. Dadurch verstärkt sich der Effekt der beiden Medikamente, und die Häufigkeit von Gingivawucherungen nimmt zu.
Das Auftreten und das Ausmaß der Gingivawucherungen wird von mehreren Kofaktoren beeinflusst. Neben dem Alter der Patienten, der Dosierung und Dauer der Medikation spielt vor allem die individuelle Plaquekontrolle bzw. das Ausmaß der gingivalen Entzündung eine entscheidende Rolle.
Antikonvulsiva
Von verschiedenen Stoffen, die zur Therapie von Epilepsie eingesetzt werden, beeinflusst nur Phenytoin (Diphenylhydantoin) das parodontale Gewebe direkt. Daneben kommt Phenytoin auch bei der Behandlung bestimmter Herzrhythmusstörungen zur Anwendung. Die klinische Symptomatik tritt bei etwa 50 % der Patienten auf7. Es scheint keinen Zusammenhang zwischen der phenytoininduzierten Gingvaverdickung und dem Alter, der ethnischen Herkunft oder dem Geschlecht der Patienten zu geben. Wie bei Cyclosporin beginnt die Wucherung meist 3 Monate nach Beginn der Medikamenteneinnahme und ist im ersten Jahr der Behandlung am stärksten. Die ersten Zeichen der Gingivaverdickung treten im Bereich der Interdentalpapillen auf, die oft eine gestippelte Oberfläche aufweisen; bei lang andauernder Medikation kann das Gewebe die klinischen Kronen der Zähne bedecken (Abb. 4). Phenytoininduzierte Gewebewucherungen sind bei zahnlosen Patienten selten. Untersuchungen haben eine positive Korrelation zwischen dem Ausmaß der Wucherung, dem Entzündungsgrad, den Taschentiefen sowie der Prävalenz von weichen und harten Belägen gezeigt. Allerdings kann allein durch eine effektive Plaquekontrolle die Wucherung nicht vollständig eliminiert werden.






