- -
- 100%
- +
Tab. 2 Differenzialdiagnose zwischen primär parodontaler und primär endodontaler Ätiologie einer endodontal-parodontalen Läsion.
KriteriumPrimär parodontalPrimär endodontalSensibilitätstestpositivnegativCave: partielle Pulpanekrose bei mehrwurzeligen ZähnenProgressionlangsamraschGesamtbefundgeneralisierte Parodontitisgeneralisiert keine oder wenig Parodontitis, aber Karies oder große Restaurationen am betroffenen Zahnröntgenologische Knochentaschekoronal weit, sich nach apikal v-förmig verengendrunde und halbrunde Querschnitte, bei denen sich der Knochen nach koronal wieder verengtVertikale Wurzelfrakturen sind ebenfalls schwierig zu diagnostizieren. Häufig führen erst Beschwerden des Patienten zu ihrer Entdeckung. Typisch sind ein dumpfer Entlastungsschmerz nach Okklusionskontakt und isoliert stark erhöhte Sondierungstiefen an wurzelkanalgefüllten Zähnen, insbesondere bei Versorgung mit Stiftaufbauten2. Mittels traditioneller Projektionsröntgentechnik ist der Frakturspalt nur darstellbar, wenn die Fragmente deutlich disloziert sind. Liegt er in orovestibulärer Richtung, also parallel zum Zentralstrahl, wird er vom Wurzelkanalfüllmaterial oder Wurzelstift überlappt; liegt er in mesiodistaler Richtung, also senkrecht zum Zentralstrahl, erzeugt er keinen Kontrast. Mit einer diagnostischen Sonde kann versucht werden, den Frakturspalt zu tasten. In manchen Fällen ist es erforderlich, die deckende Gingiva im Sinne einer Lappenoperation aus diagnostischen Gründen zu mobilisieren, um den Frakturspalt darzustellen10. Bei der Darstellung des Frakturspaltes kann das Anfärben z. B. mit Jodlösung hilfreich sein. Die Darstellung des Frakturspaltes ist erforderlich, um die vertikale Wurzelfraktur differenzialdiagnostisch gegen einen endodontischen Misserfolg durch Exazerbation der periapikalen Läsion mit Fistelung nach marginal abzugrenzen. Während die Prognose der vertikalen Wurzelfraktur infaust ist7, kann bei endodontischem Misserfolg die Revision der Wurzelkanalfüllung versucht werden.
Therapie
Bei endoparodontalen Läsionen sollte immer mit der Wurzelkanalbehandlung begonnen werden. Bei einer primär endodontisch verursachten Läsion ist dies die kausale Therapie. Bei einer primär parodontalen Läsion mit retrograder Pulpitis ist es sekundär zu einer endodontalen Problematik gekommen, die durch Wurzelkanalbehandlung angegangen werden muss. Die Auflösung der Kontinuität der desmodontalen Fasern als Folge eines periapikalen Prozesses kann sich im Sinne eines Reattachments nach endodontischer Therapie zurückbilden. Der endodontal verursachte Entzündungsprozess zerstört die Verbindung zwischen den im Knochen und im Wurzelzement verankerten Desmodontalfasern. Der proximale Anteil dieser Fasern bleibt aber anscheinend zumindest anfangs intakt, sodass sich nach Eliminierung der endodontalen Entzündungsursache durch Wurzelkanalbehandlung die Kontinuität der Desmodontalfasern wiederherstellen kann (Abb. 10). Hat man allerdings in diesem Bereich zuvor schon eine subgingivale Instrumentierung durchgeführt, so ist der an der Wurzeloberfläche haftende Faseranteil entfernt und ein Reattachment nicht mehr möglich. Bei kombinierten Endo-Paro-Läsionen kann durch Wurzelkanalbehandlung nur der endodontale Anteil beeinflusst werden. 2 bis 6 Monate nach Wurzelkanalfüllung sollte hier die Läsion neu beurteilt und über den Umfang parodontaltherapeutischer Maßnahmen entschieden werden.
Literatur
1. Caton JG, Armitage G, Berglundh T et al. A new classification scheme for periodontal and peri-implant diseases and conditions - Introduction and key changes from the 1999 classification. J Clin Periodontol 2018;45 Suppl 20:S1–S8.
2. Herrera D, Retamal-Valdes B, Alonso B, Feres M. Acute periodontal lesions (periodontal abscesses and necrotizing periodontal diseases) and endo-periodontal lesions. J Clin Periodontol 2018;45 Suppl 20:S78–S94.
3. Eickholz P, Nickles K. Glossar der Grundbegriffe für die Praxis: Klassifikation der parodontalen und periimplantären Erkrankungen und Zustände. Parodontologie 2019;30:65–77 (s. Beitrag 9 in diesem Buch).
4. Baumgartner JC, Falkler WA Jr. Bacteria in the apical 5 mm of infected root canals. J Endod 1991;17:380–383.
5. Dahle UR, Tronstad L, Olsen I. Characterization of new periodontal and endodontic isolates of spirochetes. Eur J Oral Sci 1996;104:41–47.
6. Simring M, Goldberg M. The pulpal pocket approach: retrograde periodontitis. J Periodontol 1964;35:22–48.
7. Simon JH, Glick DH, Frank AL. The relationship of endodontic-periodontic lesions. J Periodontol 1972;43: 202–208.
8. Guldner PHA, Langeland K. Endodontologie. Diagnostik und Therapie.: Thieme Verlag, Stuttgart; 1982.
9. Papapanou PN, Sanz M, Buduneli N et al. Periodontitis: Consensus report of workgroup 2 of the 2017 World Workshop on the Classification of Periodontal and Peri-Implant Diseases and Conditions. J Clin Periodontol 2018;45 Suppl 20:S162–S170.
10. Bergenholtz G, Ricucci D, Siegrist-Guldener B, Zehnder M. Endodontics and periodontics. In: Lang NP, Lindhe J, eds. Clinical periodontology and implant dentistry. Oxford: Wiley Blackwell, 2015:830–860.
11. Nickles K. Therapie einer generalisiert aggressiven Parodontitis. Was ist ein hoffnungsloser Zahn? Parodontologie 2011;22:31–47.
Peter Eickholz
Gingivale Rezessionen8Einleitung
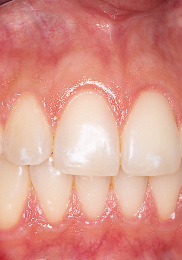
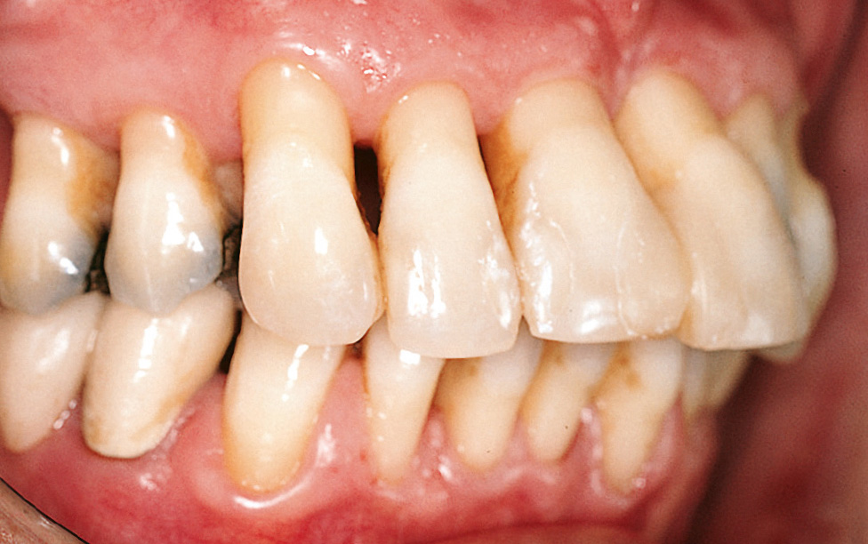
Bei parodontal normalen Verhältnissen liegt der Gingivarand etwa 0,5 bis 1 mm koronal der Schmelz-Zement-Grenze. Der Zahnhalteapparat bedeckt die Zahnwurzeln vollständig (Abb. 1). Wenn es infolge von Parodontitis zu erheblichen Attachmentverlusten und Knochenabbau gekommen ist, zieht sich zumeist auch die Gingiva zurück, und die Zahnhälse werden freigelegt. Es entstehen Rezessionen. Nach Parodontitistherapie und daraus resultierendem Abschwellen des Gewebes tritt dieser Effekt häufig noch deutlicher zutage (Abb. 2).

Abb. 1 Klinisch entzündungsfreie Gingiva einer 26-jährigen Frau: Es liegen keine Zahnhälse frei.

Abb. 2 Zustand 2 Jahre nach systematischer Therapie einer generalisierten Parodontitis (Stadium III, Grad C) bei einer 50-jährigen Patientin: Im Oberkiefer und im Unterkieferfrontzahnbereich liegen zirkulär die Zahnhälse frei (gingivale Rezessionen RT2 und RT3).
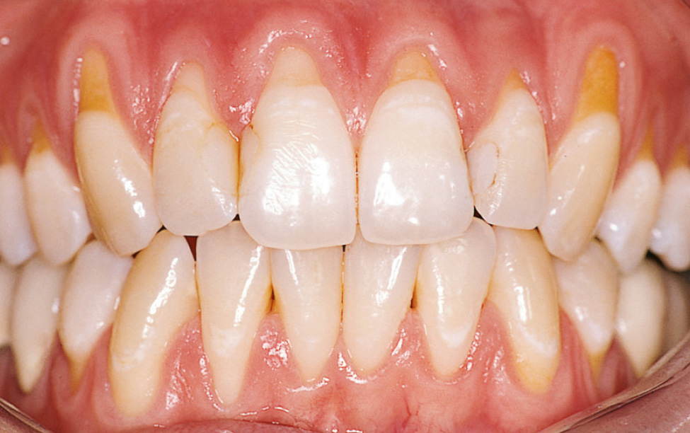
In der Nomenklatur werden gingivale Rezessionen ohne (Rezessionstyp [RT] 1) und mit approximalem Attachmentverlust (RT2 und RT3) unterschieden1. RT1 bezeichnet dabei Attachmentverluste und Knochenabbau streng fazial und/oder oral bei intaktem approximalem Gewebe (Abb. 3).

Abb. 3 Patientin mit generalisierten gingivalen Rezessionen (RT1) im Ober- und Unterkiefer bei völlig intaktem interdentalem Gewebe.
Betrachtet man die Prävalenz dieser beiden Rezessionsformen, so zeigt sich, dass in einem Kollektiv ohne individuelle Plaquekontrolle und mit genereller Gingivitisprävalenz zirkuläre Rezessionen (RT2 und RT3) vorherrschen2, während bei nordeuropäischen Akademikern mit umfassender zahnärztlicher Versorgung und effektiver individueller Mundhygiene die Häufigkeit von Rezessionen insgesamt geringer ist. In dieser Gruppe werden überwiegend gingivale Rezessionen vom Typ RT1 (oral/fazial) gefunden, während approximaler Attachmentverlust (RT2 und RT3) selten ist3. Aus dieser Beobachtung lässt sich die Schlussfolgerung ziehen, dass fazialen/oralen und approximalen (zirkulären) Rezessionen unterschiedliche ätiologische Mechanismen zugrunde liegen. Während gingivale Rezessionen mit approximalem Attachmentverlust, insbesondere RT3, in den allermeisten Fällen infolge einer Gewebezerstörung durch Parodontitis auftreten, spielt in der Pathogenese der fazialen/oralen Rezessionen vom Typ RT1 eine traumatisierende Putztechnik eine wesentliche Rolle. Es werden auslösende und prädisponierende pathogenetische Faktoren unterschieden.
Prädisponierende pathogenetische Faktoren
Knöcherne Dehiszenzen
Zu den anatomischen Normvarianten des Parodonts gehören knöcherne Dehiszenzen, das heißt Stellen, an denen die Zahnwurzel bukkal oder oral nicht von Knochen bedeckt ist (Abb. 4). An diesen Stellen ist die Gingiva zumeist dünn und fragil und deshalb anfällig für Traumata wie auch für plaqueinduzierte Entzündung.

Abb. 4 Intraoperative Ansicht einer knöchernen Dehiszenz bukkal von Zahn 32 am Boden einer Rezession vom Typ RT2.
Phänotypen der Gingiva
Das Erscheinungsbild der Gingiva zeigt deutliche interindividuelle Variationen. Es lassen sich verschiedene genetisch determinierte Phänotypen der Gingiva, insbesondere hinsichtlich der Schleimhautdicke, unterscheiden. Schlanke Zahnformen sind mit dünner, fragiler Gingiva und eher quadratische Zahnkronen mit dicker und breiter Gingiva assoziiert. Individuen mit eher dicker, derber Gingiva weisen im Durchschnitt höhere Sondierungstiefen auf4. Während eine dicke, derbe Gingiva mechanische Traumata besser toleriert und auf subgingivale Infektion eher mit Taschenbildung als mit Rezessionen reagiert, prädisponieren die Phänotypen mit dünner Gingiva zur Rezessionsbildung1.
Marginal einstrahlende Lippen- und Wangenbändchen
Die Durchführung einer effektiven und atraumatischen Plaquekontrolle kann durch marginal einstrahlende Lippen- und Wangenbändchen lokal behindert werden (Abb. 5). Werden Lippe bzw. Wange durch die Zahnbürste abgedrängt, spannen sich diese Schleimhautbänder und springen ins Vestibulum vor. Deshalb können sie die korrekte Bürstbewegung (z. B. Bass-Technik) behindern. Dies kann zum einen dazu führen, dass an der betreffenden Stelle nicht effektiv geputzt wird, sich Plaque akkumuliert und eine subgingivale Infektion entsteht. Zum anderen kann eine primär horizontale Schrubbtechnik resultieren, bei der das Bändchen nicht stört, aber die Gingiva traumatisiert wird. Die subgingivale Infektion wie auch die traumatisierende Putztechnik können zur Entstehung gingivaler Rezessionen führen.

Abb. 5 Interdental der Zähne 11 und 21 marginal einstrahlendes Oberlippenbändchen.
Auslösende pathogenetische Faktoren
Traumatisierende Putztechnik
Mechanische Faktoren sind der Hauptauslöser gingivaler Rezessionen. Hier steht eine traumatisierende Putztechnik mit zu hohem Anpressdruck und horizontaler Bewegungsrichtung im Vordergrund. Oft sind insbesondere Zähne betroffen, die sich an exponierter Stelle befinden, wie die Eckzähne (Abb. 6), bei denen die Zahnreihe ihre Richtung ändert. Deshalb wird der Anpressdruck der Zahnbürste ungleichmäßig verteilt. Häufig zeigen die freigelegten Wurzeloberflächen horizontale Rillen (Abb. 6) oder sogar keilförmige Defekte. Es konnte gezeigt werden, dass die Prävalenz fazialer/oraler Rezessionen bei Verwendung von Zahnbürsten mit harten Borsten erhöht war5. Aber auch Manipulationen an der Gingiva und oraler Schmuck (Piercings)6 können die Ursache von Rezessionen sein.

Abb. 6 Faziale Rezession am Zahn 23 mit schmalem Band keratinisierter Gingiva und horizontalen Rillen auf dem freiliegenden Zahnhals. Am Zahn 24, der keine Rezession aufweist, findet sich ein deutlich breiterer Saum keratinisierter Gingiva. Es ist sehr wahrscheinlich, dass am Zahn 23 vor Entstehung der Rezession ein ähnlich breiter Saum keratinisierter Gingiva existierte.
Plaqueakkumulation
Lokalisierte Plaqueakkumulation mit daraus resultierender subgingivaler Infektion kann insbesondere bei Vorliegen einer dünnen, fragilen Gingiva zur Entstehung fazialer Rezessionen führen. Wenn das subgingivale entzündliche Infiltrat bei dünner Gingiva den gesamten bukkooralen Durchmesser der Gingiva einnimmt, kann es zu Nekrosen des Gewebes kommen.
Subgingivale Restaurationsränder
An Zähnen mit subgingivalen Restaurationsrändern (Abb. 7) sind insbesondere bei Vorliegen einer dünnen Gingiva häufiger entzündliche Veränderungen beobachtet worden als an Zähnen mit supragingivaler Randgestaltung1,7,8. Restaurationsränder sind Plaqueretentionsstellen. Diese Plaqueretention kann bei Vorliegen prädisponierender Faktoren, wie einer dünnen, fragilen Gingiva, zur Ausbildung von gingivalen Rezessionen führen.

Abb. 7 Kronen an den Zähnen 11 und 21 mit subgingivaler Kronenrandgestaltung und RT1-Rezessionen.
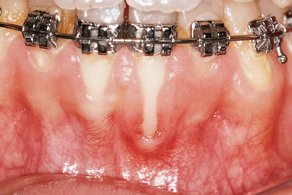
Kieferorthopädische Zahnbewegungen
Insbesondere an Unterkieferschneidezähnen lässt sich im Zuge kieferorthopädischer Bewegungen häufig die Ausbildung fazialer Rezessionen beobachten (Abb. 8). Dies kann zum einen daran liegen, dass Knochendehiszenzen entstehen können, wenn Zähne aus dem Alveolarfortsatz heraus bewegt werden.

Abb. 8 Faziale Rezessionen an den Zähnen 31 und 41 bei einer Patientin während einer kieferorthopädischen Therapie.
In zahlreichen Untersuchungen konnte gezeigt werden, dass unabhängig von der koronoapikalen (Höhe) oder vestibulooralen (Dicke) Ausdehnung der befestigten Gingiva körperliche Zahnbewegungen durchgeführt werden konnten, ohne dass es zu Rezessionen kam, wenn eine effektive Plaquekontrolle und dadurch Entzündungsfreiheit gewährleistet war. Bei bakterieller Exposition und Vorliegen von Entzündungszeichen besteht allerdings ein erhöhtes Risiko für gingivale Rezessionen infolge kieferorthopädischer Labialbewegungen, insbesondere bei Vorliegen einer dünnen Gingiva1.
Fazit
Früher war ein kausaler Zusammenhang zwischen dem Vorliegen einer schmalen keratinisierten bzw. befestigten Gingiva und der Entstehung gingivaler (insbesondere fazial gelegener) Rezessionen angenommen worden. Querschnittsstudien hatten ergeben, dass an Stellen, die faziale Rezessionen aufwiesen, zumeist auch nur ein schmales Band oder gar keine befestigte Gingiva zu finden war. Mittels Querschnittsstudien lässt sich allerdings keine Kausalität belegen. Eine ebenso schlüssige Interpretation solcher Befunde wäre, dass die geringe koronoapikale Ausdehnung der befestigten Gingiva Folge und nicht Ursache der Rezession ist (Abb. 6). Longitudinale Studien bei Patienten mit Stellen mit schmaler befestigter Gingiva konnten kein erhöhtes Risiko für die Entstehung gingivaler Rezessionen an diesen Stellen zeigen9.
Die Entstehung von gingivalen Rezessionen spielt sich in diesem Spannungsfeld aus prädisponierenden und auslösenden Faktoren ab (Tab. 1). Eine traumatisierende Zahnbürsttechnik mit harten Borsten allein reicht möglicherweise nicht aus, um Rezessionen hervorzurufen. Bei Vorliegen eines oder mehrerer prädisponierender Faktoren, beispielsweise auch in Kombination mit weiteren auslösenden Faktoren (z. B. ineffektive Plaquekontrolle, subgingivale Restaurationsränder), besteht allerdings eine hohe Wahrscheinlichkeit, dass eine traumatisierende Putztechnik zur Ausbildung von Rezessionen führt.
Tab. 1 Pathogenetische Faktoren für gingivale Rezessionen.
Prädisponierende FaktorenAuslösende Faktorenknöcherne DehiszenzenPlaqueakkumulationPhänotypen der Gingivatraumatisierende Putztechnikmarginal einstrahlende Bändersubgingivale Restaurationsränderkieferorthopädische ZahnbewegungenLiteratur
1. Jepsen S, Caton JG, Albandar JM et al. Periodontal manifestations of systemic diseases and developmental and acquired conditions: Consensus report of workgroup 3 of the 2017 World Workshop on the Classification of Periodontal and Peri-Implant Diseases and Conditions. J Clin Periodontol 2018;45(Suppl 20):S219–S229.
2. Yoneyama T, Okamoto H, Lindhe J et al. Probing depth, attachment loss and gingival recession. Findings from a clinical examination in Ushiku, Japan. J Clin Periodontol 1988;15:581–591.
3. Löe H, Anerud A, Boysen H. The natural history of periodontal disease in man: prevalence, severity, and extent of gingival recession. J Periodontol 1992;63:489–490.
4. Müller H-P, Heinecke A, Schaller N et al. Masticatory mucosa in subjects with different periodontal phenotypes. J Clin Periodontol 2000;27:621–626.
5. Khocht A, Simon G, Person P et al. Gingival recession in relation to history of hard toothbrush use. J Periodontol 1993;64:900–905.
6. Levin L, Zadik J. Oral percing: Complications and side effects. Am J Dent 2007;20:340–344.
7. Valderhaug J. Periodontal conditions and carious lesions following the insertion of fixed protheses: a 10-year follow-up study. Int Dent J 1980;30:209–213.
8. Stetler KJ, Bissada NB. Significance of the width of keratinized gingiva on the periodontal status of teeth with submarginal restorations. J Periodontol 1987;58:696–700.
9. Freedman AL, Green K, Salkin LM et al. An 18-year longitudinal study of untreated mucogingival defects. J Periodontol 1999;70:1174–1176.
Diagnostik

Peter Eickholz, Katrin Nickles
Klassifikation der parodontalen und periimplantären Erkrankungen und Zustände9Einleitung
18 Jahre nach dem letzten Klassifikationsworkshop fand vom 8. bis zum 11. November 2017 in Chicago, Illinois, USA, der von der American Academy of Periodontology (AAP) und der European Federation of Periodontology (EFP) organisierte „World Workshop on the Classification of Periodontal and Peri-Implant Diseases and Conditions“ statt1. Auf dieser Konsensuskonferenz wurde von 110 Experten (Abb. 1), die aus der ganzen Welt zusammengekommen waren, eine neue Klassifikation der parodontalen und periimplantären Erkrankungen und Zustände erarbeitet (Abb. 2)2. Die Klassifikation differenziert auf einer ersten Ebene in die parodontalen und periimplantären Erkrankungen und Zustände. Bei den parodontalen Erkrankungen und Zuständen wird dann in:

Abb. 1 Auf der Konsensuskonferenz in Chicago wurde von 110 Experten aus der ganzen Welt eine neue Klassifikation der parodontalen und periimplantären Erkrankungen und Zustände erarbeitet: Prof. Tord Berglundh (Göteborg, Schweden) stellt dem Plenum die Klassifikation der periimplantären Erkrankungen und Zustände vor.

Abb. 2 Klassifikation der parodontalen und periimplantären Erkrankungen und Zustände1,2.
parodontale Gesundheit, Gingivitis und gingivale Zustände,
Parodontitis sowie
andere das Parodont betreffende Zustände
unterschieden (s. Abb. 2).
Auch die aktuelle Internationale statistische Klassifikation der Krankheiten und verwandter Gesundheitsprobleme (International Statistical Classification of Diseases and Related Health Problems: ICD-10) umfasst parodontale Erkrankungen, deren Bezeichnungen zum Teil erheblich von der parodontologischen Nomenklatur abweichen. Die ICD-10 wurde von der Weltgesundheitsorganisation (WHO) erstellt und im Auftrag des Bundesministeriums für Gesundheit vom Deutschen Institut für Medizinische Dokumentation und Information (DIMDI) ins Deutsche übertragen sowie herausgegeben. Die Ziffer 10 bezeichnet die 10. Revision der Klassifikation. Die ICD-10 wird seit dem 01.01.2000 zur Verschlüsselung von Diagnosen in der ambulanten und stationären Versorgung (§§ 295 und 301 Sozialgesetzbuch V) eingesetzt, insbesondere für die Zwecke des pauschalierenden Entgeltsystems G-DRG (German Diagnosis Related Groups). Für diese Zwecke wird die ICD-10-GM verwendet (GM: German Modification). Diese spezielle Ausgabe der ICD-10 beruht auf der deutschsprachigen ICD-10-WHO-Ausgabe, wurde jedoch für die Zwecke des Sozialgesetzbuches V deutlich verändert3.
Ab dem 01.01.2019 ist zur Verschlüsselung von Diagnosen in der ambulanten und stationären Versorgung die ICD-10-GM Version 2019 anzuwenden. Die parodontalen Erkrankungen sind dem Kapitel XI „Krankheiten des Verdauungssystems“ (K00-K93) zugeordnet und finden sich als Gingivitis und Krankheiten des Parodonts (K05) unter „Krankheiten der Mundhöhle, der Speicheldrüsen und der Kiefer“ (K00-K14)3.
Parodontale Erkrankungen und Zustände
Parodontale Gesundheit, Gingivitis und gingivale Zustände
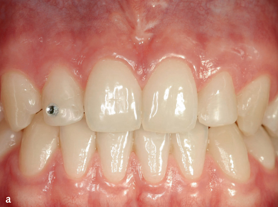
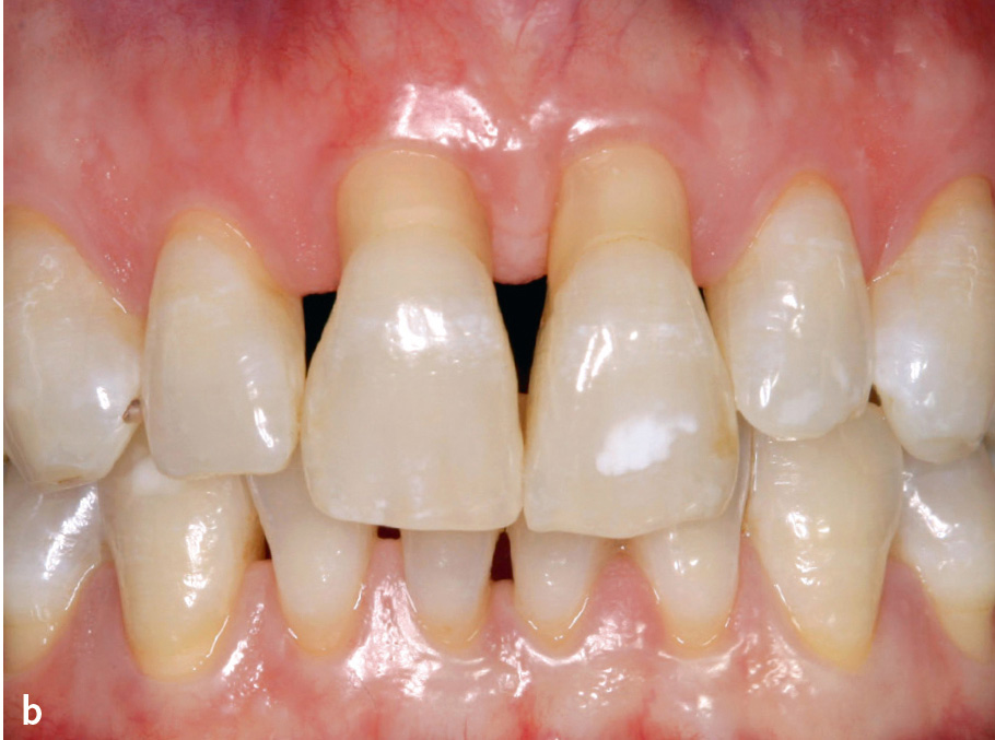
Erstmals wird in der neuen Klassifikation gingivale Gesundheit definiert (Tab. 1 und 2, Abb. 3a), die auch im durch Parodontitis reduzierten Parodont nach erfolgreicher Behandlung hergestellt werden kann (Tab. 1, Abb. 3b). Beim reduzierten Parodont wird zwischen Zuständen, die nicht durch Parodontitis verursacht wurden wie Rezessionen (Abb. 3c), oder Zustand nach chirurgischer Kronenverlängerung und dem stabilen Zustand nach erfolgreicher Parodontitistherapie unterschieden. Bei Erkrankungen, für die es zwar eine Therapie, aber keine Heilung gibt (z.B. rheumatoide Arthritis, Parodontitis) können die Schwellenwerte, die zwischen Stabilität/Gesundheit und Gingivitis unterscheiden, anders sein als bei Nicht-Parodontitispatienten (Tab. 1). Beim stabilen Parodontitispatienten wird deshalb eine Sondierungstiefe von 4 mm ohne Bluten noch als gingivale Gesundheit bewertet. Bei den Erkrankungen der Gingiva wird zwischen der sehr häufigen plaqueinduzierten Gingivitis (Tab. 3) und den nicht plaqueinduzierten Gingivaerkrankungen (Tab. 4) unterschieden. Ohne effektive Plaquekontrolle werden die Zahnoberflächen schnell bakteriell besiedelt. Aus einer Situation klinischer Entzündungsfreiheit bei vollkommen intakten parodontalen Verhältnissen entsteht spätestens nach einem Zeitraum von 3 Wochen ungehinderter Plaqueakkumulation eine manifeste Entzündung der Gingiva (plaqueinduzierte Gingivitis)4.



Abb. 3a bis c a) Gesundheit im intakten Parodont; b) bei stabilem Zustand nach erfolgreicher Parodontitistherapie; c) im reduzierten Parodont, das nicht durch Parodontitis (hier: Rezessionen) verursacht wurde8.






