Психофизиология. Психологическая физиология с основами физиологической психологии. Учебник

- -
- 100%
- +

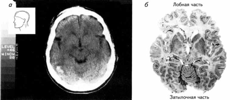
Рис. 2.14. Сканирование с помощью метода компьютерной томографии.
(а) Снимок, полученный на компьютерном томографе; (б) Фотография среза мозга на том же уровне, что и на снимке, приведенном на рисунке (а) (Carlson, 1992).
Для улучшения качества изображения перед исследованием пациенту вводят контрастное вещество. Особенно эффективна компьютерная томо графия для исследования повреждений мозга, например, вследствие инсульта (рис. 2.15), рассеянного склероза, опухолей. Кроме очевидной необходимости этого метода для хирургического исследования перед операциями он представляет значительный интерес для психофизиологов и нейрофизиологов, которые изучают когнитивные процессы и поведение людей, имеющих повреждения мозга.
Информативность томограмм увеличивается благодаря применению контрастных веществ, например, верографина (препарата, содержащего йод). Полученная информация в виде снимков может храниться на магнитных носителях, что позволяет пересылать их по каналам компьютерной связи на любые расстояния для консультации специалистов (Лалаянц, Милованова, 1991).

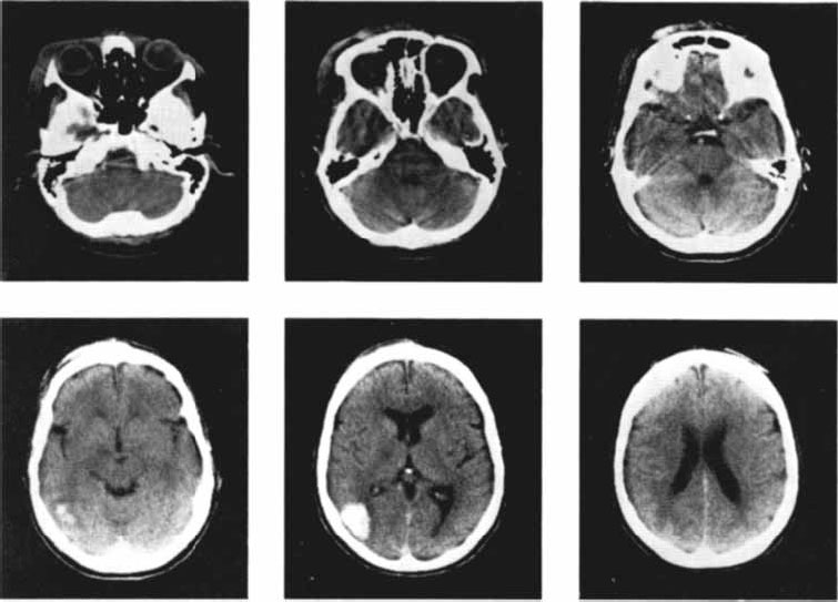
Рис. 2.15. Снимки мозга больных, перенесших инсульт на правой половине мозга, полученные с помощью метода компьютерной томографии (Carlson, 1992).
Позитронно-эмиссионная томография (ПЭТ)
Этот метод позволяет оценить метаболическую активность в различных участках мозга. Он во многом схож с авторадиографией: испытуемый проглатывает радиоактивное соединение, позволяющее проследить изменения кровотока в том или ином отделе мозга, что косвенно указывает на уровень метаболической активности в нем. Таким радиоактивным соединением может быть 2-дезоксиглюкоза, имеющая одну из меток – радиоактивные изотопы углерода (С11), фтора (F18), кислорода (О15), азота (N13).
Время полураспада этих веществ составляет от 110 сек для фтора до 120 сек для кислорода. Метаболически активные участки мозга с большей интенсивностью поглощают 2-дезоксиглюкозу из крови, которая в отличие от обычной глюкозы не включается в метаболические процессы и только накапливается в мозге. Радиоактивные изотопы излучают позитроны, которые, встречая в мозге электроны, уничтожаются (аннигилируют), излучая 2 гамма-луча, направляющиеся в противоположные стороны. В специальной камере монтируются детекторы гамма-лучей, собранные в кольца. В камеру помещается голова испытуемого, радиоактивные молекулы 2-дезоксиглюкозы фиксируются сканером (Plum e. a., 1976) (рис. 2.16). Полученные данные обрабатываются компьютером, и на основе результатов воссоздается картина метаболически активных участков мозга.

Рис. 2.16. Результаты ПЭТ сканирования мозга здорового человека в различных экспериментальных ситуациях (Phelps, Mazziotta, 1985).
Особенностью ПЭТ является то, что она позволяет снимать «динамические» картины функционирования мозга, решающего ту или иную задачу или пребывающего во сне. Использование кислорода позволяет получать характеристики регионального кровотока, объема крови, потребления кислорода. Однако и кислород, и глюкоза попадают в мозг с током крови, изменение которого происходит иногда в течение нескольких минут. Поэтому быстропротекающие процессы пока этим методом фиксировать не удается.
Визуализация строения мозга с помощью метода ядерно-магнитного резонанса
Метод ядерно-магнитного резонанса (ЯМР) позволяет визуализировать строение мозга, как и при компьютерной томографии, но он не связан с использованием радиоактивных лучей. Вокруг головы испытуемого создается очень сильное магнитное поле, которое воздействует на ядра атомов водорода, имеющих внутреннее вращение. В обычных условиях оси вращения каждого ядра имеют случайное направление. В магнитном поле они меняют ориентацию в соответствии с силовыми линиями этого поля. Выключение поля ведет к тому, что атомы утрачивают единое направление осей вращения и вследствие этого начинают излучать энергию. Эту энергию фиксирует датчик, а информация передается на компьютер.
Повторение циклов воздействия магнитного поля и его выключения дает достаточное количество данных для того, чтобы на компьютере было создано послойное изображение мозга. Для повышения разрешающей способности таких томографов иногда также используются контрастные вещества, содержащие таллий и гадолиний (Black e. a., 1989).
ЯМР-томограф высокого разрешения позволяет видеть клеточные структуры коры головного мозга при жизни человека (Press e. a., 1989). Наложение ПЭТ-томограмм на ЯМР-изображения дает возможность более тонко дифференцировать те или иные отделы коры и подкорковых структур (Лалянц, Милованова, 1991).
В последнее время появилась возможность повысить разрешающую способность ЯМР-томографов с помощью использования моноклональных антител против специфического антигена. В этом случае антиген «метят» веществом, детектируемым томографом. Это позволяет с большей точностью судить о распределении в специфических областях мозга рецепторов к нейромедиаторам (Pollit, 1989).

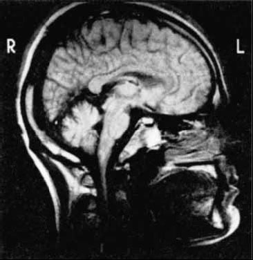
Рис. 2.17. Снимки мозга, полученные с помощью метода ядерно-магнитного резонанса (Carlson, 1992).
Поскольку водород содержится не в одинаковых концентрациях в разных тканях, что зависит как от структуры ткани, так и от ее метаболической активности, то при сканировании излучения этот факт используется для создания визуальной картины тканей. Получаемые с помощью указанного метода картины яснее и четче, чем изображения, представленные методом компьютерной томографии. Однако использование этого метода является более дорогим по сравнению с другими (рис. 2.17).
Реоэнцефалография
Реоэнцефалография (РЭГ) представляет собой метод исследования кровообращения головного мозга человека, основанный на регистрации изменений пассивных электрических характеристик между электродами, фиксированными на кожных покровах головы (Москаленко, 1977). Идея, положенная в основу метода, состоит в том, что электрические параметры тканей мозга различны, поэтому любые изменения удельных соотношений в закрытой черепной коробке будут отражаться на комплексном электрическом сопротивлении.
Наиболее распространенная модификация этого метода основана на анализе динамики амплитуды и формы пульсовых колебаний электрического сопротивления при различных состояниях системы внутричерепного кровообращения (рис. 2.18). Приборы для регистрации РЭГ представляют собой приставку с внутренним усилителем к электроэнцефалографу или электрокардиографу.

Рис. 2.18. Схема расположения тканей между электродами, наложенными на кожные покровы головы человека (а), и ее электрический эквивалент (б).
1 – кожа, 2 – мягкие ткани головы, 3 – кости черепа, 4 – пространства, заполненные ликвором, 5 – ткань мозга, 6 – электроды: Rк и Cк – активное и емкостное сопротивления рогового слоя кожи, Rкс и Cкс – то же для костей, Rм – сопротивление мягких тканей, окружающих череп, R к – поверхностное сопротивление кожи (Москаленко, 1977).
Поскольку в РЭГ для оценки сопротивления тканей применяют токи высокой частоты, размер электродов не имеет существенного значения, так как их поляризация практически отсутствует. Используют пластинчатые овальные или круглые электроды из различных материалов, надежно фиксируя их на голове (рис. 2.19). Информативность полученных показателей зависит от конкретных задач исследования (рис. 2.20).

Рис. 2.19. Варианты расположения электродов для РЭГ на кожных покровах головы.
1 – бифронтальное, 2 – бимастоидальное, 3 – окулоокципитальное, 4 – фронтоокципитальное, 5 – фронтомастоидальное, 6 – окуломастоидальное отведения (Москаленко, 1977).

Рис. 2.20. Схематическое изображение изменений кривой РЭГ. Сверху вниз: норма, окклюзия сосуда, артериовенозный шунт, компрессия мозга, начальная и далеко зашедшая форма атеросклероза сосудов мозга (Москаленко, 1977).
Электромиография
Электромиография (ЭМГ) – метод регистрации суммарных колебаний электрической активности, возникающей при сокращении мышц (рис. 2.21). Поверхностная ЭМГ суммарно отражает разряды двигательных единиц, вызывающих сокращение. Поскольку регистрация производится с поверхности кожи, разряды мышц, располагающихся на разной глубине от поверхности, ослабляются различным образом. В целом уровень электрической активности соответствует общей величине мышечного напряжения (Хэссет, 1981).

Рис. 2.21. Примеры электромиограмм. 1 и 3 «необработанная» ЭМГ; 2 и 4 – интегрированная ЭМГ (Хэссет, 1981).
Полученные сигналы сначала подвергаются выпрямлению, затем интегрируются: производится вычисление площади, находящейся под графической кривой ЭМГ. Электромиограмма содержит множество высокочастотных компонентов, что затрудняет процесс регистрации с помощью обычных полиграфов, поэтому для повышения точности исследования используются осциллографы.
Требования к электромиографическим электродам аналогичны тем, которые применяют в электроэнцефалографии.
Электроокулография
Электроокулография (ЭОГ) – метод регистрации электрической активности, возникающей при движении глаз. Роговица глаза имеет положительный заряд относительно сетчатки, что создает постоянный потенциал, который называется корнеоретинальным потенциалом. При изменении положения глаза происходит переориентация этого потенциала (рис. 2.22), которая фиксируется прибором.

Рис. 2. 22. Физическая основа окулограммы. Глазное яблоко действует как миниатюрная батарея, при его повороте полюса этой батареи изменяют положение относительно электродов, помещенных около глаз. Регистрируются изменения электрического потенциала, по которому можно судить об угле поворота глаз (Хэссет, 1981).
При записи с помощью усилителя постоянного тока можно получить информацию об ориентации глаз, при использовании усилителя переменного тока – только запись движений глаз.
Перед записью производят калибровку, определяя диапазон возможных сдвигов. Для этого испытуемого просят смотреть вперед, вверх, вниз, в стороны. Линия на ЭОГ в тот момент, когда взгляд неподвижен и направлен вперед, принимается за нулевую. Применяются очень небольшие электроды, располагающиеся в точках, показанных на рис. 2.23. Кожу и электроды подготавливают так же, как при электроэнцефалографии.

Рис. 2.23. Места расположения электродов для окулограммы.
Электроокулография наиболее эффективна в совокупности с другими методами. При оценке ЭЭГ, например, она позволяет вычленять артефакты, обусловленные движением глаз.
Кожно-гальваническая реакция
Электрическая активность кожи – кожно-гальваническая реакция (КГР) – определяется двумя способами. Первый, предложенный С. Фере (Fere) в 1888 г., представляет собой измерение кожного сопротивления. Второй – измерение разности потенциалов между двумя точками на поверхности кожи – связан с именем И. Р. Тарханова (1889).
Сопоставление КГР, полученных по методу Фере и по методу Тарханова, привело к выводу, что изменения разности кожных потенциалов и кожного сопротивления отражают одну и ту же рефлекторную реакцию, фиксируемую в различных физических условиях (Кожевников, 1955). Изменения сопротивления всегда представляются однофазной волной уменьшения исходного кожного сопротивления. Изменения кожных потенциалов могут выражаться в виде волн различной полярности, часто многофазных. Согласно Р. Эдельбергу (Edelberg, 1970), разность потенциалов кожи включает эпидермальный компонент, не связанный с активностью потовых желез, тогда как проводимость кожи его не имеет, то есть отражает состояние потовых желез.
При измерении кожного сопротивления с внешним источником тока, присоединенным отрицательным полюсом к ладони, латентный период изменения сопротивления оказывается на 0,4–0,9 сек больше, чем скрытый период изменений разности потенциалов. Динамические характеристики фазической КГР достоверно отражают быстропротекающие процессы в ЦНС. Характер и форма тонического компонента являются индивидуальными показателями и не обнаруживают четкой зависимости от типа деятельности.
В возникновении КГР участвуют два главных механизма: периферический (свойства самой кожи, в том числе активность потовых желез) (Biro, 1983) и передаточный, связанный с активирующим и пусковым действием центральных структур (Lader, Motagu, 1962). Различают спонтанную КГР, развивающуюся при отсутствии внешнего воздействия, и вызванную – отражающую реакцию организма на внешний стимул.
Для регистрации КГР используют неполяризующиеся электроды, накладываемые обычно на ладонную и тыльную поверхность рук, кончики пальцев, иногда – на лоб или ступни ног.
Наиболее эффективна КГР в сочетании с другими методами при оценке эмоционального состояния испытуемых (рис. 2.24).

Рис. 2. 24. Изменение физиологических функций испытуемого при наступлении дремоты (а) и при пробуждении (б).
1, 2 – ЭЭГ, отведения 01 и 02 (левое и правое полушария соответственно); 3, 4 – КГР левой и правой руки; 5 – сейсмоактограмма (сигналы появляются при постукивании испытуемым по датчику пальцем); 6 – ЭКГ (Леутин, Николаева, 1989).
Все описанные методы получения психофизиологической информации имеют свои достоинства и недостатки. Одновременное использование сразу нескольких из них в одной экспериментальной ситуации позволяет получить более надежные результаты. Дополнительное использование психологических тестов также повышает эффективность применения физиологических методов.
Сверхслабые воздействия постоянными микротоками
Кроме фиксации изменений электрических процессов в мозге, многие исследователи пытались оценить последствия воздействия внешнего электрического тока на состояние человека. Наиболее известными стали результаты, полученные У. Пенфилдом (Penfild, Rusmussen, 1950), который раздражал участки мозга непосредственно перед тем, как их удалял хирург. Эти данные описаны в главе 15. Они положили начало целому направлению в исследовании функций мозга – картированию мозга. Это направление привело к созданию «карт», позволяющими оценить, за какие функции отвечает участок мозга под электродом, через который производится подача слабого электрического раздражения.
Дальнейшее развитие этого направления связано с использованием постоянных микротоков (то есть очень слабых токов величиной 10-4 – 10-1 мкА), которыми воздействовали через долгосрочные интрацеребральные (введенные в глубокие структуры мозга) электроды. Как и в первом случае, авторы работали на больных людях, в частности пациентах с фантомными болями (Бехтерева и др, 1977). Фантомными являются боли, которые человек испытывает после операций по удалению органа или части тела. Например, после удаления руки или ее части, человек постоянно чувствует боль в пальцах несуществующей руки.
Однако через эти же электроды можно было не только воздействовать на мозг, но и регистрировать его собственную сверхмедленную активность (токи крайне низких частот, близкие к постоянным), которая оказалось крайне информативным показателем для описания активности глубоких структур мозга (Илюхина, 1977).
Позднее исследователи стали использовать параметры тока, близкие к параметрам природных сверхмедленных потенциалов головного мозга для воздействия через поверхностные электроды, расположенные на разных участках мозга. Это явление стало называться транскраниальной микрополяризацией. Оказалось, что подобные воздействия крайне эффективны при лечении ряда заболеваний. Анализ лечебного эффекта таких токов позволяет оценить процессы, ведущие к лечебному эффекту. Изменение ионного состава ткани, расположенной под электродом при воздействии тока, ведет к каскаду физиологических эффектов, среди которых активация системы регуляции локального кровотока и повышение содержания биологически активных веществ и вазоактивных медиаторов. Это ведет к изменению активности вегетативных центров и высших отделов центральной нервной системы. Изучение процессов, лежащих в основе транскраниальной микрополяризации, позволит понять специфику взаимодействия различных структур мозга (Илюхина и др., 2006).
Вербальная ассоциация
Ассоциация – это некая связь между психическими явлениями, возникающая при определенных условиях. О ней говорят в тех случаях, когда одно событие влечет за собой другое. Термин «ассоциация» был предложен в 1690 г. Дж. Локком (Мартинович, 1997). Поскольку явления и объекты окружающего мира связаны в нашем сознании, то подобные связи существуют и между словами, их обозначающими. Каждое слово не просто существует в сознании, но оно включено в речевую сеть, в которой сотнями нитей оно тянется к другим словам языка. В этой ассоциативно-вербальной сети представлена речевая готовность носителя языка (Караулов, 1999).
Из-за ассоциативной связи слова всегда являются членами речевых гнезд или систем гнезд (Крушевский, 1883). Это обусловлено тем, что они классифицируются в нашем сознании так же, как и обозначаемые ими вещи. Слова походят друг на друга тем или иным своим аспектом, что позволяет нам группировать их. Вербальная сеть является оперативным пространством, в рамках которого происходит речевая активность. С этой позиции, вербальная сеть – это стабильно поддерживаемая мозгом обширная структура, фиксирующая значение каждого слова усвоенного языка и множественные межсловесные связи разной степени «близости» или «удаленности» (Ушакова, 2003; 2004).
Для вербальной ассоциации стимулом не обязательно должно быть слово. Им может быть и часть слова, и структуры, большие, чем слово (например, словосочетание). Подобные связи Ю. Н. Караулов (1999) назвал построением «ассоциативной грамматики». Предполагается, что в психике человека не записана отдельно лексика и грамматика в виде правил лексической и грамматической сочетаемости. Вся речевая система функционирует одновременно. В этом случае частота определенных ассоциативных пар демонстрирует актуализацию владения не только семантикой, но и грамматикой.
Вербальная ассоциация может отражать как реальную связь между явлениями или объектами, так и связь, возникшую в результате субъективного опыта человека. Этот опыт может быть как сугубо личным, так и опытом окружения, с которым связан человек. Например, в нашей стране белый цвет ассоциируется с торжественными событиями, тогда как в Японии он считается цветом траура (Фрумкина, 2001).
Таким образом, характер ассоциаций определяется целым комплексом факторов: индивидуальным опытом испытуемых, особенностью культуры, конкретной политической структурой, в которой они проживают, состоянием, в котором находятся, возрастом.
Индивидуальный опыт человека проявляется в оригинальности или типичности создаваемых ассоциаций. Это обусловлено как генетическими его особенностями, формирующими определенный психологический тип, так и богатством или бедностью на события обстоятельств его жизни.
Особенность культуры, в которой развивается человек, обнаруживается в характере формирующихся ассоциативных гнезд. Р. М. Фрумкина (2001) провела сравнительный анализ ассоциаций на сему «Сыр», создаваемых испытуемыми, проживающими в разных странах Европы. Для русскоязычных наиболее частыми оказались ассоциации: голландский, вкусный, желтый, масло. Для болгар типичны ассоциации: овца, белый, соленый. Для англоязычных испытуемых: крекеры, мыши, хлеб; для немецкоязычных: масло, хлеб, молоко. Подобный культурный аспект представлен в ассоциативных словарях, отражающих культурную «норму», то есть типичные языковые связи для данного народа.
Конкретные общественно-политические ситуации могут изменить эту норму. Так у молодых людей, проживающих в России и Польше, отмечаются существенные различия в ассоциациях на наиболее одиозные слова из набора «Политика», «Бог», «Добро», «Семья». Анализ ассоциаций выявляет больше негативизма у польских студентов к словам, относящимся к сфере «Политика». В ответах на слова, связанные с темой «Мораль», у польских респондентов прослеживается связь между «вечными» и религиозными ценностями, что не наблюдается у русских (Фрумкина, 2001).
Но и особенности времени, в котором живет человек, отражаются на отношении человека к слову и ассоциации на него. Например, в конце 80-х годов, когда проводилось наше ассоциативное исследование, одним из наиболее эмоциональных было слово «джинсы», тогда как слово «игла» рассматривалось группой экспертов как нейтральное. Более того, испытуемые реагировали на него также, как на нейтральное. Это вполне объяснимое явление. Качественные джинсы в то время можно было приобрести с большим трудом, а наркомания не затрагивала широкие слои населения. Возможно, что исследование, проведенное в настоящее время (начало 21 века), выявит существенные изменения в выборе слов в качестве эмоциональных, и слово «джинсы» будет оцениваться как нейтральное, а «игла» – как эмоциональное (Николаева, 2005).
Состояние, в котором находится испытуемый (здоровье, болезнь, стресс, и т. д.), также меняет качество ассоциаций. Например, человек в остром стрессе порождает большое число инвертированных ассоциаций, то есть ассоциаций, имеющих знак эмоциональной окраски, противоположный слову-стимулу (дружба – вражда, поцелуй – укус и т. д.) (Леутин, Николаева, 1988).
На качество ассоциативного процесса влияет возраст. Показано, что у детей преобладают синтагматические ассоциации (лампа – горит, стул – сижу и т. д.), что, по-видимому, связано с воспроизведением ими фрагментов запомненных фраз. В дальнейшем все чаще встречаются парадигматические ассоциации (лампа – люстра; стол – стул), что обусловлено, возможно, освоением ими понятийной структуры языка (Ушакова, 2004).
Ассоциативный эксперимент как инструмент анализа психических явлений
Впервые ассоциативный эксперимент был предложен в 1879 г. Ф. Гальтоном, родственником Ч. Дарвина. Он проявил себя новатором в различных областях человеческих знаний. Ф. Гальтон ввел дактилоскопию в Скотленд-Ярде, оценил важность близнецового метода в генетическом анализе, предложил новые статистические методы при анализе биологических данных, создал первый тест для оценки интеллекта. Как и большинство исследователей в области психологии того времени, многие экспериментальные исследования он проводил на себе.
Предложенный Ф. Гальтоном вариант ассоциативного метода выглядел следующим образом. Он выбрал 75 английских слов, написал каждое на отдельной карточке и отложил на несколько дней. Затем одной рукой брал карточку, а другой с помощью хронометра отмечал время, когда прочитанное слово вызывало у него две различные мысли. Ф. Гальтон отказался опубликовать результаты эксперимента, сославшись на то, что «они обнажают сущность человеческой мысли с такой удивительной отчетливостью и открывают анатомию мышления с такой живостью и достоверностью, которые вряд ли удастся сохранить, если опубликовать их и сделать достоянием мира» (Miller, 1951).
Систематически метод свободных ассоциаций для оценки состояния человека стал применяться З. Фрейдом (1991). В его трактовке метод выглядел иначе: больной, лежа на кушетке, в течение часа произносил слова, фразы, высказывал мысли на темы, которые всплывали в его сознании.
Иногда такого рода ассоциирование было связано со сновидениями, поразившими больного в детстве и часто повторяющимися в зрелом возрасте. З. Фрейд показал, что возникновение длительных пауз или трудности в процессе ассоциирования свидетельствуют, как правило, о приближении к области неосознаваемого самим испытуемым психического конфликта.
Дальнейший вклад в развитие ассоциативного метода внес К. Юнг (1936), существенно видоизменивший его и создавший собственно ассоциативный эксперимент. В это же время подобное исследование проводил Макс Вертгеймер (Wertheimer e. a., 1992), работы которого менее известны и оказали меньшее влияние на дальнейшее развитие психофизиологии.





