Патологи. Тайная жизнь «серых кардиналов» медицины: как под микроскопом и на секционном столе ставят диагнозы и что порой находят внутри изъятых органов

- -
- 100%
- +
Розовые и фиолетовые мазки, или Древо познания
Деревья в человеческих верованиях и традициях часто являются очень важным элементом. Одни считают дерево осью вселенной, arbor et axis mundi, другие – опорой небес и связью между миром людей и миром божеств, третьи – источником жизни или бессмертия, бывает, что дерево воспринимают связанным с познанием, мудростью. На дереве висел Один, чтобы познать суть рун, под деревом Бодхи Будда достиг просветления, балка-прорицательница на Ясонском корабле «Арго» произошла из посвященного Зевсу додонского вещего дуба. В ирландских историях орехи лещины, дерева мудрости, проглоченные лососем, дали ему все знания мира, которые этот несчастный «лосось знаний» передал дальше, когда его неосмотрительно испробовал Фион Мак Кумхилл, более поздний легендарный воин из финикийского цикла. Нельзя, впрочем, не назвать в этом ряду и библейское древо познания – древо познания добра и зла.

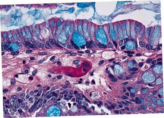
Пищевод Барретта – специальное окрашивание, выделение синим цветом типичных для поражения кишечника заполненных слизью бокаловидных клеток.

Приданию интенсивной розовости содержащейся в препаратах слизи при окрашивании муцикармином мы обязаны некоторым клопам, питающимся кактусами (здесь как раз представлены островки клеток слизистого рака молочной железы, плавающие среди слизистых озер).
Древом, которому гистология и гистопатология в искусстве считывания здоровья и болезни с микроскопических изображений обязаны своему современному состоянию, несомненно, является кампешевое дерево, Гематоксилум кампехианум (Haematoxylum campechianum).
Европа обнаружила древесину кампешевого дерева и ее замечательные свойства в начале XVI века. Испанцы, заинтригованные живым цветом нарядов Майя, жителей районов, составляющих нынешний мексиканский штат Кампече, скоро добрались до источника красителя, добываемого, как оказалось, из усыпанных желтыми цветами колючих деревьев. Изготовленный из привезенной в Испанию древесины пигмент быстро был взят на вооружение местной промышленностью как конкуренция для индиго. Но не только ею. Интерес к новому ценному ресурсу – несмотря на усилия испанцев по сохранению монополии – способствовал началу оживленной пиратской деятельности, созданию в Америке колоний, основанных на грабеже, – со временем Англия захватила плантации и переработку кампешевого дерева на Ямайке. Это произошло в XVII веке.
Годы опыта и усовершенствования значительно повысили качество окраски гематоксилином, пигментом, который сам по себе в действительности красителем не является: он бесцветный и только после окисления приобретает необходимые свойства, а после «заправки» соответствующими солями металлов – приемлемую долговечность. Конечный продукт приобрел такую большую популярность потому, что именно он использовался для окрашивания униформы во время Гражданской войны в США, а затем и Первой и Второй мировых войн (что было важно, особенно в условиях необходимости не зависеть от немецких синтетических анилиновых красителей). Использование гематоксилина к микроскопии – лишь малая часть по сравнению с его распространенностью на рынке тканей. По-видимому, первым упоминал о нем в этом контексте сам Роберт Гук, великий натуралист XVII века, однако первое использование гематоксилина в гистологии (хотя и растительной) приписывается Джорджу Кристиану Райхелю в XVIII веке. Для окончательного успеха «плода дерева познания» пришлось ждать еще сто лет, пока его не описал в трактате о микроскопии Джон Томас Кекетт в 1848 году, и тогда древо обратило на себя всеобщее внимание и стало объектом дальнейших работ тогдашних ученых. Прорывом оказался 1865 год, когда воодушевленный потребностью ткацкого производства в красителях Бемер предложил закрепить пигмент солями металлов, на этот раз для облегчения проникновения вещества в ткань и фиксации эффекта. Еще до конца XIX века его идея стала стандартом изучения, в том числе в польскоязычной литературе. Уже вышедший в 1889 году в Варшаве[8] «Контур минеральной и органической микрохимии» М. Хейлперна гласил:
«Рассматривая данное тело, чьи внешние особенности под микроскопом мы познать не способны, мы можем обнаружить природу его, действуя на него реагентом, вызывающим в теле характерные изменения […]. В биологической микрохимии красители стали незаменимым средством для обнаружения незаметных без их помощи организмов или деталей их строения, а также для лучшего изучения, выделения и различения отдельных органических компонентов и течения жизненных явлений. Чаще всего мы используем карминовые, анилиновые красители и гематоксилин»[9].
Возникла целая плеяда гематоксилиновых красителей с различной степенью обогащения, форм гематоксилина (или гематеина), с отличающимися свойствами и цветовыми эффектами. Обогащенный, по предложению Бемера, алунитом гематоксилин оказался самым распространенным вариантом и после дальнейших модификаций (гематоксилин Эрлиха, Харриса или Майера) занимает по сей день достойное место в гистологии.
И то, чего не смогли достичь испанцы, а именно монополизировать гематоксилин, в конечном итоге произошло само по себе благодаря изменениям на рынке, в том числе замене ямайских плантаций кемпешовых деревьев сахарным тростником. В настоящее время гематоксилин остается одним из последних гистологических красителей, получаемых из природных источников, а единственным поставщиком сырья является Mexicana De Extractos в Кампече, Мексика. Этот факт время от времени вызывает дискуссии о том, не стоит ли заменить гематоксилин чем-то менее восприимчивым к возможным рыночным или политическим колебаниям. На данный момент безрезультатно – гематоксилин царит в современной гистологии, разделяя трон только с дополняющим его эозином. Гематоксилины придают препаратам оттенки синего и фиолетового, контрастирующие с розовостью эозина (не зря названного в честь Эос, богини рассвета).
Но зачем все это? Неужели неокрашенного гистологического препарата, вставленного под микроскоп, недостаточно? Человеческие ткани (нечеловеческие, пожалуй, тоже) сами по себе представляют собой целый спектр цветов: от желтого, благодаря запасам каротиноидов в жировой ткани, через грязно-красный цвет мышечной ткани до коричневого цвета печени или зеленоватого цвета желчного пузыря. И конечно, это действительно так – человек полон цветов! К сожалению, почти вся эта цветовая палитра ускользает от нашего зрения, когда ткань нарезается так тонко, как необходимо при лабораторной обработке наших препаратов[10]. Помните, световая микроскопия требует, чтобы препарат просвечивался и одновременно можно было бы максимально детально его разглядеть. Множество перекрывающих друг друга слоев клеток делает образец нечитаемым, следовательно, отправляющиеся на стекла препараты нарезаются на ломтики толщиной в несколько микрометров (красные кровяные тельца, эритроциты, имеют диаметр примерно 7 мкм), цвет между тем по большей части заметен только в массе клеток. Таким образом, тонкий кусочек кожи, мышц или печени, вырезанный из взятого для исследования фрагмента, помещенного для сохранности в парафиновый блок, нужно немного подкрасить. И так получилось, что лучшим выбором оказались розовый и фиолетовый эозина и гематоксилина соответственно. Раньше было с окраской препаратов по-другому.

В 1714 году Антони ван Левенгук впервые использовал краситель для визуализации мышечных волокон под микроскопом.
Уже Антони ван Левенгук, признанный отцом световой микроскопии, в своих письмах в Королевское Общество в Лондоне (Royal Society of London) описывал в 1714 году использование смешанного с бренди измельченного шафрана для лучшей визуализации препаратов мышечных волокон, но и в его времена микроскоп все еще в значительной степени считался игрушкой. Только в XIX веке начались более серьезные исследования тканей животных, также с использованием микроскопа. Джозеф фон Герлах, немецкий профессор анатомии, изучающий нервную ткань, продвигал с пятидесятых годов красный гистологический краситель кармин. Кармин – как гематоксилин или шафран Левенгука – пришел в гистологию из другой области; его основной состав, карминовая кислота, – это вещество, которое получали в то время естественным путем из высушенных, измельченных кошенилей (Dactylopius coccus), обитающих в Мексике насекомых, питающихся кактусами. Кармин использовался в качестве красителя тканей, в живописи, а со временем в кулинарии и косметике. Если вы связываете это с карминовой кислотой (Е120) – это правильные ассоциации, потому что под этим именем карминовый порошок и действует; если вы вспомнили польских червцов (или их армянских родственников), которые также используются для производства красителей, это тоже хорошо. Все та же субстанция. Впрочем, приправленная солями алюминия, уже как муцикармин, она по-прежнему используется в некоторых дополнительных гистологических красках (часто встречающееся исследование, позволяющее оценить наличие слизи в препарате). Но в конце XIX века пришло время гематоксилина и эозина, хотя именно тогда Майер улучшил кармин, и этот краситель еще какое-то время был популярен (его использовал, например, Рудольф Вирхов, один из первых известнейших патологоанатомов), как главный гистологический краситель кармин был вскоре отправлен в прошлое, оставаясь только в дополнительных исследованиях. Почему выиграли кампешевое дерево и синтетический анилиновый краситель, названный в честь греческой богини? В отличие от кармина и гематоксилина эозин был синтетическим продуктом, разработанным в 1874 году Генрихом Каро, директором немецкой Badische Anilin und Soda Fabrik. Эозин стал популярен только несколько лет спустя, благодаря Паулу Эрлиху, будущему лауреату Нобелевской премии, а в то время еще неизвестному молодому врачу. Его ранняя работа о клетках крови проложила путь к основным успехам в иммунологии, а описание одной из фракций лейкоцитов – эозинофильных гранулоцитов, названных в честь нашей анилиновой богини рассвета эозинофилами, привлекла внимание к эозину. Но это не ответ на вопрос о причинах успеха.
Почему же тогда розовый и фиолетовый, а не шафран, кармин и остальные представители химического сообщества? Что ж, в литературе подчеркивается относительная (несмотря на гематоксилиновую монополию) дешевизна и простота использования. Не мне, правда, умничать в этом последнем вопросе – это не времена Эрлиха, Вирхова и других – сегодня врачи, если они не разрабатывают тему в качестве научного исследования, не окрашивают уже свои препараты сами (отсюда и поклоны в сторону лабораторных команд, ответственных за ту часть работы, которая заключается в подготовке образцов тканей из присланных для диагностики материалов, помещение их в так называемые кассеты (коробочки из пластмассы) и отправка этих бывших «кусков мяса» в виде элегантных стеклышек под микроскоп). Однако не только финансы и простота процедуры здесь важны. Именно этот набор красителей позволяет оценить очень многое при рассмотрении тканей. Не все, да, поэтому все еще необходимы вспомогательные красители, хотя бы вышеупомянутый муцикармин, но в большинстве случаев в повседневной диагностической работе этих двух вполне достаточно. Наша пара красителей оставляет нас вопреки расхожему мнению вовсе не с массой красочных пятен, как может показаться на первый взгляд необученному как следует человеку.
«Очень фиолетовое фото, много фиолетовых точек, а вы знаете, что одна из этих фиолетовых плохая… Ну, магия…» – однажды написала одна читательница блога. И это отчасти магия гематоксилина и эозина. И нашего специализированного обучения. Гематоксилин и эозин окрашивают основную часть необходимых для визуализации нормальных структур (гистология) и аномальных тканей и клеток (гистопатология), основываясь в значительной степени на кислотности химической реакции, т. е. pH того, что они окрашивают. Синий гематоксилин (или, собственно, как вы помните, гематеин де-факто) – щелочное соединение, положительно заряженное, он окрашивает такие структуры, как нуклеиновые кислоты, в темно-синий цвет, следовательно, ядра клеток обычно выделяются в микроскопических изображениях синими или фиолетовыми пятнами. Эозин, кислотный краситель, красным (или розовым) окрашивает, например, цитоплазму, изобилующую белками, богатую положительно заряженными цепочками аминокислот, содержащими щелочной лизин и аргинин, поэтому большинство объема клеток под микроскопом – это озера розовости, среди которых вокруг ягодных клеточных ядер дрейфуют остальные органеллы, то есть такие внутриклеточные почти-что-органы. Промытые от содержимого во время лабораторной обработки бывшие жировые капельки, в свою очередь, останутся бесцветными, следовательно, адипоциты, клетки жировой ткани, напоминают полые тонкостенные шары.
Различия в распределении и плотности синих и фиолетовых цветов ядер расскажут нам немного о деталях построения ядра клетки и его активности. Гематоксилин и эозин покажут нам морщинки мембраны, окружающие ядро, выпуклые и волнистые, образующие на сечениях впадинки и борозды, или, наоборот, четко выделяющиеся псевдовключения, такие лже-пузыри, очень светлые пузырьки, характерные для, например, ядра клеток папиллярного рака щитовидной железы. По-другому окрасятся реальные включения с иной текстурой, возникающие вследствие вирусных инфекций, когда нежелательные гости толпятся в клеточных ядрах хозяев, используя их для своих гнусных целей. Проявятся четкие пустые ядра гепатоцитов, клеток печени, заполненных мелкозернистыми отложениями гликогена, так называемой гликогенной дегенерацией ядер, которая характерная для некоторых заболеваний печени, но также часто встречается просто при диабете.
Цитоплазма, заполняющая клетки, обычно розовая, но иногда даже небольшие различия в оттенках розового дают важные подсказки. Клетки, интенсивно синтезирующие белки, будут иметь цитоплазму, заполненную шероховатой эндоплазматической сетью (также называемой шероховатый эндоплазматический ретикулум). Это разновидность сети, кроме сперматозоидов, имеется в каждой клетке с ядром и представляет собой систему мембран и каналов с прикрепленными рибосомами, мужественно вяжущими аминокислотные нити, которые в конечном итоге образуют белки. Рибосомы окрашиваются в синий цвет гематоксилином, поэтому у более интенсивно продуцирующих клеток будет слегка голубоватая (или на практике – более фиолетовая) цитоплазма по сравнению с менее активными, поэтому мы ожидаем меньшую розовость, например при взгляде на секреторные клетки поджелудочной железы. Или интенсивные коллаген-продуцирующие фибробласты, клетки соединительной ткани со слегка голубоватым оттенком. Но уже иногда очень похожие на фибробласты, клетки гладких мышц имеют дело с сокращением и расслаблением, поэтому им нужны не рибосомы и километры упакованной сетки, а миофибриллы, обеспечивающие сокращение поперечно-полосатых мышц – темно-розовый цвет помогает отличить их от предшественников.
В цитоплазме плавают разные вещи – вы это уже знаете. Эти вещи также могут помочь нам. Я говорила о бесцветных липидах и шариках клеток жировой ткани, но эффект не всегда будет таким же наглядным, как с адипоцитами. Остающиеся после вымывания жиров «дырки» в цитоплазме видимы под микроскопом при жировой инфильтрация печени, маленькие или большие капли не «опустошают» клетки до такой степени, чтобы было трудно их заметить. Другой вид жировые капельки принимают в кожных сальных железах. Каждый себоцит (потому что это название секреторных клеток эпителиальной железы) имеет цитоплазму, заполненную пенкой мелких липидных капелек. За исключением того, что эти капли не лежат (или, скорее, не плавают) в рыхлых клетках, они заключены в мембранные пузырьки, вакуоли, что дает эффект нежной розовой пены, образованной из крошечных розовых пузырьков, окружающих промытую пустоту.
Или митохондрии, например. Они выполняют в наших клетках функцию определенных микроэлектростанций. Они бродят по всей цитоплазме, подвергаясь постоянным циклам фрагментации и слияния, создавая своего рода клеточную энергосеть. Они меняют форму и размеры, но обычно это продолговатые пузырьки, посылаемые изнутри возвышающимися митохондриальными гребешками[11] (этот невидимый нам мембранный гребень участвует в выполнении основой функции митохондрий – именно здесь расположены ферментные комплексы, благодаря которым происходит процесс так называемого клеточного дыхания: в результате окисления продуктов разложения глюкозы образуется «энергия», которая упаковывается в блоки АТФ (аденозинтрифосфата). Обычно мы не будем внимательно смотреть на них с помощью светового микроскопа, потому что они слишком малы для этого, но косвенно мы сможем наблюдать их, потому что они придают цитоплазме особый розовый зернистый вид. Чрезвычайно многочисленное количество митохондрий мы ожидаем увидеть в клетках, которые выполняют интенсивную работу: клетки скелетных мышц могут иметь их сотни тысяч (но вы также должны помнить, что клетки скелетных мышц могут быть очень длинными, до нескольких десятков сантиметров), а чрезвычайно метаболически активные клетки печени – две тысячи митохондрий. То же самое произойдет с некоторыми раковыми клетками: при патологии, как правило, более ярко розовые, с гранулами клетки, загруженные митохондриями, называются онкоцитами. Стандартным примером может служить почечная онкоцитома, доброкачественная опухоль, хотя в некоторых случаях ее легко спутать под микроскопом с одной из почечно-клеточных карцином. Но не только в почках встречаются такие «трудолюбивые» опухоли. Онкоцитарные узелки также отмечаются, например, в щитовидной железе или слюнных железах. Некоторые из них будут мягкими, другие – нет. Один критерий может помочь дифференцировать их, но обычно с его помощью нельзя однозначно определить характер изменений.

Золотистый осадок от остаточных солей холестерина и желчных красителей, отслоившегося эпителия, белых и красных кровяных клеток – вот такое желчное болотце.
Наконец, в некоторых клетках под микроскопом можно увидеть остатки самых естественных, первичных красителей, обнаруженных в отдельных тканях. Помните? Например, хотя бы те, которые окрашивают в желтый и зеленоватый цвет слизистую желчного пузыря, оставляя тонкие отложения желчных красителей, иногда также видимых под микроскопом. Или мелкие зерна коричневого меланина, вырабатываемые меланоцитами, пигментообразующими клетками, в здоровой коже (или слизистых оболочках) или в родинках и меланомах. Иногда в срезах кишечника между кишечными железами среди фиолетовых и розовых мы видим золотисто-коричневые пятна пигментированных макрофагов или фагоцитов. Такие золотистые или коричневые гранулы, образованные смесью пигментов, которые в совокупности называются липофусцином, или «пигментом старения», смесью продуктов метаболизма жирных кислот, эффектом разрушения клеточной мембраны, обогащенным различными примесями. В кишечнике мы будем называть подобное состояние меланозом и обычно будем ассоциировать со злоупотреблением слабительными, но мы также найдем липофусцин в почках, сердце или коже. Но и она не единственная коричневатая краска, которая может появиться в клетках, съеденных фагоцитозом. Например, этот цвет появляется, когда макрофаги сталкиваются на своем пути со следами небольшого или значительного кровотечения и питаются остатками эритроцитов (их называют гемосидерофагами) и, наполненные коричневыми гранулами, также косвенно сообщают нам, что произошло в этом месте.
И хотя это только начало, но ориентирование в цветовой палитре препаратов – необходимый шаг для дальнейшего продвижения по лабиринту гистопатологии. Это такое базовое руководство, инструментарий, который позволяет вам начать думать о том, чтобы взяться за дело и оценивать вышеупомянутые организованные структуры, созданные всеми этими клетками, чтобы по фигурам, окрашенным в розовый и фиолетовый цвета, можно было понять, что не так с пациентом и насколько не так.
Пятьдесят оттенков пуповины, или «Я вижу в этом раке собачку»
Патология – это область, полная захватывающих историй о механизмах, управляющих болезнями, о том, как человеческий (и не только человеческий – ветеринарная патология не менее интересна) организм меняется в ходе различных отклонений от нормы, о том, как уже привычное может выглядеть, если присмотреться повнимательнее, весьма необычно, но не стоит обманываться – одно из самых больших преимуществ нашей специальности в том, что обычно больше всего привлекает людей вне медицины, – это ее визуальный аспект. Иллюстрации – забавные, отвратительные или просто красивые. В этом нет ничего плохого, ведь патоморфология – это искусство изображения; нас – тех, кто занимается этим профессионально, часто притягивает к ней именно изображение.

Питер Брейгель Старший. Падение мятежных ангелов, фрагмент «Бесшабашный демон в синих штанах».
У нас есть, конечно, десятки классификаций, сотни таблиц и табличек, списки дифференцирующих критериев и список прогностических факторов, но основное искусство адептов нашей специальности – это способность искать на иногда сложных изображениях тонкости, которые позволяют нам поставить диагноз. Это требует особых компетенций и довольно специфических предпочтений. Настолько специфичных, что мы даже не особенно удивились, когда во время наших самых ранних тренингов по специальности одно из занятий было посвящено обсуждению живописи и выискиванию деталей на картинах Питера Брейгеля Старшего, которые ими изобилуют: «Детские игры» или «Битва Масленицы и Поста». Действительно, идея в целом считается довольно спорной, возможно, немного эксцентричной, но никто не протестовал. Во всяком случае, иногда наша работа немного об этом – смотреть на всю картину, высматривать шаблоны и системы в ней, а затем искать в конечном итоге особые детали. И на самом деле не имеет значения, является ли предметом нашего поиска падший ангел Брейгеля в синих штанах или сокрытые среди сотен клеток меланомы признаки деления (митозы), которые свидетельствуют об активном размножении раковых клеток.

Вы тоже видите котика в пятне на тротуаре?
Патологические картины, особенно те, которые рассматриваются вблизи, обычно воспринимаются необученным глазом как абстрактная мазня. Иногда, однако, вам не нужны специалисты, чтобы разглядеть какие-то структуры или формы. В конце концов эволюция сформировала наш мозг так, что мы можем легко находить закономерности посреди хаоса – реального или видимого. Когда-то это, вероятно, могло бы быть полезным – лучше несколько раз убежать от тигра, которого вообще не было в кустах, чем игнорировать того, кто действительно сидел там, – теперь осталось применение развлекательное и… диагностическое.
Конечно, вы когда-нибудь видели облака в форме кораблей, таинственные лица в пятнах на стене или тени от листвы, возможно, однажды вам улыбнулась шоколадная посыпка на поверхности капучино, а чайная гуща выстроилась в знакомый узор. Или, может быть, это было в юности, когда во время предрождественских гаданий вылитый воском рисунок принял черты любимого человека? Это распространенное явление называется «пареидолия». На практике она используется в психологии в тесте Роршаха, ныне уже довольно прохладно принимаемого научным сообществом. Предпочитаете менее официальное и менее научное? Есть множество примеров, да вспомнить вот хотя бы страницу в одной из социальных сетей, у которой уже более сорока трех тысяч подписчиков, – там публикуют фотографии церквей, напоминающих… кур, и тут же на ум приходят регулярно появляющиеся в желтой прессе новости о явлении божьего лика на тостах. А впрочем, лицо Христа, замеченное на гренках, стало предметом не только журнальных статей, но и серьезных исследовательских публикаций, и даже получило некоторую оценку в научных кругах, хотя Шнобелевская премия, присуждаемая журналом «Анналы невероятных исследований» за работы, которые «сначала смешат, а потом заставляют задуматься», и открытия, которые «не могут или не должны повториться», являются наградами полуюмористического характера и полностью юмористическими с финансовой точки зрения. Именно такую награду присудили в 2014 году за опубликованную в журнале Cortex работу «Видеть Иисуса на тосте…». Несмотря на кажущуюся несерьезность (как это часто бывает со Шнобелевской премией), в публикации описываются механизмы, на самом деле весьма значимые, а именно: в какой конкретно части мозга возникают ассоциации, приводящие к самым классическим формам пареидолы, как из хаоса хлебной поверхности рождается образ. Магнитно-резонансная томография показала награжденной команде, что восприятие отсутствующего на самом деле лица затрагивает область веретенообразной извилины (gyrus fusiformis), части височной доли коры головного мозга, отвечающей за распознавание реальных лиц и эмоций, которые они выражают. Кажется, что именно этот фрагмент серовато-желатиновой ткани отвечает за лицо Иисуса на тосте или за знаменитое лицо на Марсе. Помните его? Впервые замеченное на фотографиях, полученных с зонда Viking 1 в 1976 году, геологических образований на марсианской Ацидалийской равнине, оно породило фантазии о древней марсианской цивилизации, колонизирующей Землю. Также улыбающийся марсианский кратер Галле, хотя и очарователен, к счастью, вызвал меньше эмоций и лишен таких смелых интерпретаций. А может быть и так, что этот на самом деле веретенообразный изгиб – некоторые исследователи предполагают, что его деятельность не ограничивается только лицом, – показывает нам человека или кролика на луне и рыцаря, спящего в Гевонтском массиве[12]. Как бы там ни было, скорее всего, именно из-за этого веретенообразного изгиба я несколько лет назад заметила в пятне на тротуаре котика настолько четко, что не удержалась и сфотографировала его.









