Патологи. Тайная жизнь «серых кардиналов» медицины: как под микроскопом и на секционном столе ставят диагнозы и что порой находят внутри изъятых органов

- -
- 100%
- +
Но нужно ли медикам, если только они не рассчитывают на еще одну шуточную награду, это лицо на Марсе, человек на Луне или котик в маслянистом пятне на тротуаре? Ответ – и это, вероятно, не станет для вас сюрпризом – утвердительный. Конечно, нужно: что такое медицинская диагностика, если не искусство извлечения образов из (иногда очевидного) хаоса информации? От самых простых форм и ассоциаций до более сложных, сопровождаемых целыми рассказами.

Улыбающаяся пуповина.
Вот вам, например, пуповина, любимый смайлик мира патоморфологии. О, разумеется, под пуповиной обычно подразумевают весь длинный шнур, соединяющий плод, а затем и новорожденного с плацентой, но для нас, если не принимать во внимание ее длину (что тоже существенно) и степень растяжения, наиболее важна внутренняя структура, и пуповина чаще всего рассматривается в срезах. А для чего мы вообще ее изучаем? Многие проблемы, в том числе очень основательные, такие, как количество кровеносных сосудов, можно решить и без микроскопа. Я только напомню, что должно быть три сосуда: две артерии и одна вена, образующие характерные глаза и рот пато-смайлика. Без микроскопа также можно измерить пуповину, оценить, есть ли узлы или опухоли (да, бывают опухоли пуповины, чаще всего гемангиомы, и вот при изучении их структуры без микроскопа уже не обойтись), какие-либо серьезные повреждения или, например, формирующиеся гематомы. Но воспалительные изменения уже не обязательно будут видны невооруженным глазом, если только они не являются действительно серьезными, а помимо сосудистых аномалий, наверное, именно воспаление интересует нас более всего. Под микроскопом, кроме тончайших поражений сосудов, воспалений и туберозных поражений, мы иногда можем также видеть следы развития эмбриона или плода, например мочевина (остальная часть аллантоисной, одной из плодных мембран, после которой должна оставаться только медиальная пупочная связка), остатки желточного протока (его ненормальное, неполное исчезновение может привести к дивертикулу Меккеля, довольно распространенному дефекту желудочно-кишечного тракта) или, наконец, остатки сосудов желточного пузырька. Так что улыбающиеся или, может, хмурящиеся пуповины – ежедневный хлеб каждого патоморфолога, чей работодатель сотрудничает с каким угодно родильным отделением. И все же пуповина – это уже полная основа, а у подножия лестниц менее очевидных структуры и узоры оказываются выведены намного тоньше.
Например, медвежонок, скрывающийся в поперечных срезах среднего мозга, уже менее очевиден. Вот мордочка этого печального мишки: ушки являются основанием ножки мозга, а рот напоминает водопровод к нему (так называемый Сильвиев водопровод), спускающийся вниз в позвоночный канал и идущий вверх, к третьему желудочку головного мозга и к боковым желудочкам полушарий головного мозга. Кто-то скажет, что это легкомысленный мнемонический трюк, полезный для детей и, возможно, студентов, недостойный серьезных специалистов, но именно на таких уловках могут держаться важные знания, а если что-то помогает запоминать то, что необходимо в профессиональной деятельности, это, безусловно, заслуживает внимания. Я до сих пор помню с занятий по анатомии кости запястья благодаря студенческой считалочке: «Ладья плывет прекрасно и лунный свет неплох, трехгранный не напрасно мы сеяли горох». Глупо? Конечно, глупо. И дальше не лучше: «Две трапеции в очках – голова как на крючках». Вы сможете перечислить восемь костей запястья? Нет? А я смогу. В верхнем ряду: ладьевидная, полулунная, трехгранная и гороховидная кости, а в нижнем (ближе к пястной кости) кость-трапеция (лат. os trapezium), трапециевидная (лат. os trapezoideum), головчатая и крючковидная. Вот и у наших пато-картинок аналогичная функция. В конце концов, красные ядра среднего мозга легче зафиксировать в памяти как глаза печального мишки, чем как набор сухой информации о мозговой структуре, также как легче запомнить, что черная субстанция ключевая для болезни Паркинсона и расположена непосредственно за основанием мозга, как бы оттеняя медвежьи уши, даже если на первый взгляд это может показаться немного инфантильным.
Наши учебники предлагают ряд визуальных ассоциаций, которые для адептов патоморфологии станут со временем такими же естественными и автоматическими, как само дыхание (или его сдерживание в определенных профессиональных ситуациях). Мы не задумываемся, когда говорим о рисунке «елочкой» (его еще в шутку называют рыбьими скелетами), хрестоматийном для фибросаркомы, хотя обычно в таких случаях мы используем английский язык и просто воскликнем: «O, herringbone pattern!» (англ. рисунок елочкой). Это наблюдения на уровне рефлексов. То же самое происходит, когда мы смотрим на ткани, пораженные фиброматозом: перед нашими глазами будто проплывают косяки рыб. Мы автоматически ищем подобия крыльев ветряных мельниц, свидетельствующих о переходе доброкачественной твердой фибромы в коже в гораздо более опасную и легко рецидивирующую узловую фибросаркому (dermatofibrosarcoma protuberans). В этих образах и узорах нет ничего особенно утонченного. Это просто производная плотности и расположения постоянно растущих опухолевидных волокнистых тканей. Впрочем, большинство пато-узоров довольно примитивные – заборчики, частоколы, ветряные мельницы и розетки, а не медведи или лица – как те, что на Марсе.
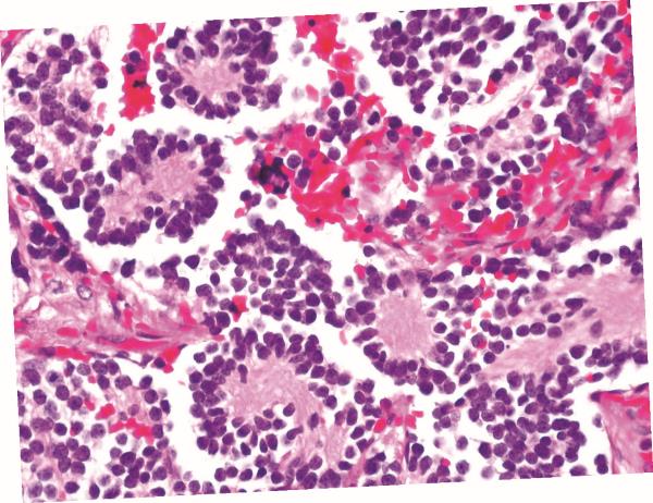
Рыбы – будь то в виде косяков или обгрызенных скелетов – область изменений соединительной ткани, как и розетки и заборчики в патоморфологии связаны прежде всего с новообразованиями нервной ткани, особенно розетки. Невропатология выделяет несколько их типов, довольно характерно связанных с различными видами новообразований. Вероятно, наиболее известны розетки Хомера Райта и розетки Флекснера-Винтерштайнера, вечно конкурирующие друг с другом в памяти студентов. Первая характерна для нейробластомы (medulloblastoma), вторая – для ретинобластомы (retinoblastoma), их, к сожалению, безбожно забывают из-за довольно сложных эпонимов. Что ж, Джеймс Гомер Райт был, по крайней мере, одним человеком, а вот конкурирующая розетка – ребенок двух отцов: патолога Саймона Флекснера в его наблюдениях поддерживал австрийский офтальмолог Хьюго Винтерштайнер. Флекснер и Винтерштайнер были первыми, они оба успели сделать свои наблюдения еще в девятнадцатом веке.

Розетки Гомера Райта, заполненные розовым микроволокном, – нейробластома надпочечников.
В какой-то степени Гомер Райт обнаружил «свои» розетки случайно. В 1910 году он описал в «Журнале экспериментальной медицины» серию из двенадцати опухолей (которые тогда считались саркомами) с особой микроскопической структурой – тканью, созданной маленькими круглыми клетками. Сегодня мы выделяем целую категорию раковых заболеваний, состоящих из маленьких синих клеток (из-за клеточного ядра, которое занимает большую часть клетки), и они по-прежнему остаются настоящим бичом для патологов. И все же давайте вернемся к Джеймсу Гомеру. Структуры, которые он наблюдал в своих препаратах, заставили его поверить, что на самом деле он имеет дело с новообразованиями не из соединительной ткани, а из очень примитивных нервных клеток. Скопления маленьких темных клеток, свернутые в розеточные шарики и трубочки, срезанные, повернутые внутрь чащей розовых фибрилл, напомнили ему процессы развития эмбриональной нервной системы – это впечатление оказалось настолько сильным, что он последовал ему и назвал свою статью «Нейроцитома или нейробластома, неочевидные разновидности опухоли». Таким образом, нейробластома оказалась порождением предполагаемой саркомы, а розетки или псевдорозетки и предполагаемые розетки запомнились Райту из-за отсутствия в них просветов (они были фактически забиты волокнами, которые на самом деле являются выступами нервных клеток), и последующие публикации охотно связывали его имя с описанным изображением. По сей день розетки часто появляются в учебниках и экзаменационных вопросах, они также все еще полезны в диагностике, будучи характерными не только при нейробластомах, но и при других примитивных новообразованиях нервного происхождения, например медуллобластома или исключительно редкая и чрезвычайно опасная пинеобластома (pineoblastoma), развивающаяся из клеток шишковидной железы, крошечной эндокринной железы длиной всего несколько миллиметров, которая, может быть, ассоциируется у вас с мелатонином.
Что касается Саймона Флекснера, то на его счету не только общие с Винтерштейном розетки, но и бактерии, поделенные пополам с одним японским медиком, – именно ему вызывающие дизентерию Shigella flexneri обязаны своим видовым именем, а Киёси Шига остается покровителем рода. Однако оставим микробы и вернемся к розеткам. Описав в 1891 году в журнале «Бюллетень больницы Джона Хопкинса» опухоль, растущую на глазном яблоке четырехмесячного ребенка, Флекснер отметил как физическую связь опухоли с сетчаткой, так и ее поразительную тенденцию к образованию кольцеобразных розеточных систем. Таким образом из моря темных недифференцированных клеток опухоли, которая сегодня называется ретинобластомой, розетки возникают из слегка более дифференцированных, продолговатых, словно маленькие столбики, клеток, окружающих почти пустой, центральный просвет с лишь тонкими, слабо различимыми выступами, совсем чуть-чуть касающимися центра. Точно так же, как двадцать лет спустя Джеймс Гомер Райт заметит сходство «своих» клеток с нервными клетками, так и здесь наблюдателю бросилось в глаза подобие высоких клеток с фоторецепторными клетками сетчатки, колбочек и палочек, и с этими наблюдениями позже согласился Винтерштайнер, тем самым закрепив нынешнее название находки. Интуиция обоих исследователей подтвердилась результатами электронной микроскопии. Примитивные фоторецепторы смело пытаются воспроизвести свою основную цель, хранящуюся в генах, создавая силой маленькие пузырьки раковой сетчатки. Есть в этом что-то интересное.
Другие невропатологические розетки и псевдорозетки не имели своих эпонимов, что совсем не означает, что они не пользуются признанием медицины. Они различаются в деталях – некоторые накапливаются вокруг кровеносных сосудов, другие, типичные для эпендимомы, опухоли центральной нервной системы, которая развивается из клеток эпендимы желудочков мозга и центрального канала спинного мозга, расположены радиально вокруг абсолютно пустого просвета, снова имитируя типичные пути развития для ее прототипа. Есть еще и другие, менее сформировавшиеся и правильные, напоминающие розетки Гомера Райта, которые немного больше, немного расплющены, пугающие риском новообразования из железистой ткани шишковидной железы (обыкновенным, не эмбриональным) в сердечном желудочке и способствующего гидроцефалии центральных клеточных невром (центральная нейроцитома). Один паттерн, а сколько возможностей. Прямо как в случае с барьерами и частоколами, которые в разных видах и формах являются своего рода частоколом скопившихся ядер опухолевых клеток вокруг областей некроза, типичных для мультиформных глиом, называемых эмбриональными, (глиобластома), они успокаивают глаз упорядоченными заборами, расположенными в доброкачественных нейробластомах в виде структур типа «тельца Верокаи».
Но хватит уже этой нервной системы. Я не знаю, говорит ли вам о чем-либо имя сиротки Ани (Little Orphan Annie) – героини придуманных в США с 1920-х годов Гарольдом Греем комиксов, которая никогда не становилась такой популярной у нас, как на ее родине, хотя, вероятно, песню Tomorrow из мюзикла, созданного на основе комиксов, узнают многие. Вероятно, не только большинство студентов, но также будущие или нынешние патологи, встречая сравнение с глазами сиротки Ани в учебниках, скользят по ним, не задумываясь, даже не вспоминая образ Ани в комиксах. А ведь именно это сходство клеточных ядер под микроскопом при взгляде на папиллярный рак щитовидной железы с незаполненными белыми овалами, данными девушке автором комикса вместо глаз, привлекло внимание профессора Нэнси Э. Уорнер из Университета Южной Калифорнии. Почти пустое ядро клетки, окруженное очень узкой цветовой гаммой хроматина, и напоминание о пустых белых глазах польским (и, вероятно, бельгийским) читателям может вызывать куда более тревожные ассоциации – у нас большую известность, чем приключения решительной девочки, получила известная серия комиксов Росинского и Ван Хамме о Торгале Эгирссоне[13]. А ведь демонический Алиной, зеленоволосый мальчик с точно такими же пустыми глазами, появившийся в одном из альбомов и в детстве снившийся кому-то из нас по ночам, – тоже ассоциация с пустыми глазами из комиксов, но как отличается! Возможно, это даже к лучшему, что относительно малоагрессивную, хотя и злокачественную опухоль все же связали с Аней. В 1971 году Уорнер официально представил сироту миру патоморфологии в своем справочнике, посвященном изучению эндокринной патологии: «Эпителий может раскрывать свое злокачественное поражение через изображение ядра клетки; ядро окружено четко отходящей ядерной мембраной, гиперхромно (гиперпигментация), а внутри представляет пустое пространство (как глаза сироты Ани)»[14]. В патоморфологии у сироты Ани есть мать.

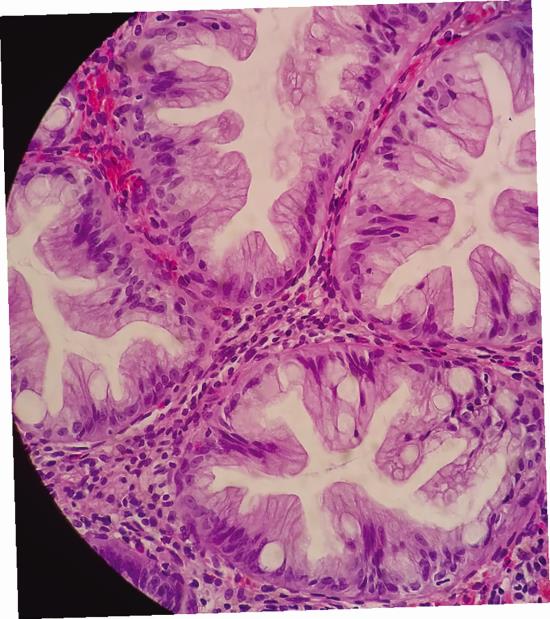
Зубастые цветки доброкачественного гиперпластического полипа.
В то время как папиллярный рак смотрит на нас пустым взглядом героини комиксов, иногда толстая кишка может взорваться под микроскопом целым фейерверком разных цветов. Возможно, вы знаете, что не все полипы, обнаруженные в кишечнике, раковые, есть и доброкачественные. Гиперпластические полипы, непреодолимо ассоциирующиеся (под микроскопом, конечно) с изображением цветущего луга, отмечаются довольно часто, а с возрастом все больше и больше. В учебниках говорится, что их можно найти как минимум у 35 % людей старше 50 лет, вообще не имеющих жалоб, связанных с пищеварением. Из-за цветочного или согласно некоторым представлениям «зубастого» изображения патологически измененных кишечных желез, которые на самом деле невелики, категория полипов, к которой мы их относим, получила название зубчатых полипов, а гиперпластические полипы – самые многочисленные, а также наименее опасные представители группы полипов. Вы знаете термин «апоптоз»? Это процесс плановой гибели клеток, постоянно происходящий в различных частях нашего тела и необходимый для его правильного функционирования. Что ж, процессы умирания, происходящие в кишечных железах, считаются одним из важных факторов развития таких цветов. Это, конечно, определенное упрощение, но кишечные крипты (углубления) – довольно активные места, на их поверхности микротрубочек слизистой оболочки кишечника постоянно образуются новые эпителиальные клетки, которые по мере взросления поднимаются и постепенно отмирают. Считается, что это клеточное «коловращение» нарушается в гиперпластических полипах, отсюда и избыток клеток, которые наслаиваются в такие напоминающие зубчики и цветки формы. Такие вот зубастые цветочки.
Мы все больше двигаемся в сторону легкой абстракции. В края сказочных пейзажей, наполненных цветочными полями полипов, парящими башнями некоторых себорейных бородавок, озерами опухолей нервной системы… «Погодите, как это – озерами?» – вы спросите. Ну, озерами и озерцами. Невропатология – это не только заборы и розетки. И она не всегда должна быть смертельно опасной. Есть и такая, например, идиллическая в своем микроскопическом изображении опухоль, названная столь же живописно, как и ее плетение. Дизэмбриопластическая нейроэпителиальная опухоль – как тут не радоваться? ДНЭО (потому что при красивых, но длинных названиях иногда легче оперировать сокращениями) редкая, она встречается в основном у молодых людей, обычно до двадцати лет, а ее основные симптомы – лекарственно-устойчивые судороги. Вы лечите ДНЭО хирургическим путем, и прогноз очень хороший, даже если вы не можете вырезать все, обычно нет тенденции к рецидиву. Гиперплазия ограничивается корой головного мозга, обычно корой височной доли (более 60 % случаев). А как она выглядит? Выглядит просто потрясающе. Это одно из нечастых поражений, которое строится как из нервных клеток, так и из клеток глии (лежащих в основе большинства опухолей мозга), смешанных опухолей, поэтому в нем можно найти две разные по происхождению и внешнему виду популяции клеток. Среди фибриллярного фона и озер слизи плавают отдельные, довольно большие яркие нервные клетки, а между ними видны ниточки бисерных, тонких темных ядер глиальных клеток и сеточка тонких кровеносных сосудов. Без воспалительной инфильтрации, без особой дисплазии. Просто расслабленное спокойствие. Струны кораллов среди безмятежных щелей слизистых прудов.

Страшная (может, даже лягушачья?) рожа с выпученными глазами сальных желез, глядящая на нас из волосяного фолликула.
И другие чудеса: тут и там выглядывают оленьи рога тонкостенных кровеносных сосудов, характерные для онкологических заболеваний из группы гемангиоперицитом. Среди железистых спиралей прячутся клетки слизисто-клеточной карциномы желудка – такие невинные кольца с глазком, как милые и быстрые проворные головастики, смахивают пот с аденомы (сирингома) среди коллагеновых потоков дермы. Ряды надгробий отмечают основание внутрикожных пузырей у Pemphigus vulgaris (пузырчатка обыкновенная), свиные хвосты ободряюще машут нам из остатков чесоточных яиц, отложенных в эпидермальной норке, тактильные тела Пачини возникают в слоях и напоминают лук Шрека или осла из мультика. И все это просто стандартные литературные сравнения и метафоры прямо из учебников и медицинских публикаций. На фоне этого красочного пейзажа наши невинные патологические игры бледнеют – что удивительного в том, чтобы искать лица в опухолях печени, сердца в кровеносных сосудах или лимфатических узлах или видеть под микроскопом игривого щенка в розовых полях рака вульвы.
Исчезающие исследовательницы, или Софи Шпиц была женщиной
Явление, называемое эффектом Матильды, скорее всего нельзя назвать общеизвестным. О нем мало пишут в популярных газетах и журналах, да и на телевидении его днем с огнем не сыщешь. Иногда что-то мелькает в интернете, но эти публикации остаются малозаметными и слишком специфическими. А ведь тема отнюдь не банальная, не узкая. Матильда Джослин Гейдж, давшая имя описываемому эффекту Матильды, была активисткой и публицисткой девятнадцатого века, которая в работе «Женщина как исследователь» описала феномен дискриминации в отношении научных достижений женщин, а сам термин придумала в 1993 году историк науки Маргарет У. Россистер, ссылаясь на эффект Матфея, называемого также эффектом неравномерного распределения преимуществ и описанного в Библии: «ибо всякому имеющему дастся и приумножится, а у не имеющего отнимется и то, что имеет»[15]. В науке – несколько упрощая – эффект Матфея отражает довольно безрадостное явление. Когда одно и то же говорят или публикуют два человека с разным послужным списком, академическим статусом и т. п., услышанным, оцененным и запомнившимся станет тот, чья стартовая позиция была выше. Слава и признание скорее сопутствуют уже знаменитым и признанным людям, чем новичкам, пусть даже и очень талантливым. Эффект Матильды добавлял к этому принципу гендерный дисбаланс, дав название наблюдаемому, в том числе и в науке, явлению принижения роли женщин в исследовательской работе и приписывания их успехов мужчинам. Думаете, я преувеличиваю? Что ж, данному феномену посвящено немалое количество работ и тематических исследований, но важнее всего то, что даже сейчас с ним можно легко столкнуться в повседневной жизни и работе.

Мария Добска, специалист по патоморфологии, чье имя до сих пор встречается в польских (и не только) учебниках.
Однажды на каком-то курсе по специализации один мой коллега несколько пренебрежительно подытожил только что изученное довольно редкое (если честно, даже очень редкое) злокачественное новообразование сосудистого происхождения (англ. endovascular papillary angioendothelioma или papillary intralymphatic angioendothelioma), называемое опухолью Дабской (в англоязычной литературе также известна как Dabska tumor) в честь автора его первого описания (журнал Cancer, 1969 г.) – польского врача, выпускницы Гданьского медицинского университета и специалиста по патоморфологии – Марии Домбска.
«Это, наверное, единственное явление в патологии, названное в честь женщины», – отметил коллега (я сейчас снова с улыбкой вспомнила о Петре). Публика в зале немного умерила энтузиазм молодого доктора, напомнив ему о Софи Шпиц, и тема умерла незавершенной.
Об этом ляпе моего друга я снова задумалась некоторое время спустя, когда после сдачи экзаменов и начала самостоятельной работы заметила на своем столе направление на исследование с диагнозом «Невус Шпица». В медицине, как это легко можно понять, читая обо всех этих лимфомах Беркитта, синдромах Дауна или Шерешевского-Тернера, саркомах Капоши или болезнях Аддисона, любят эпонимы, особенно те, которые созданы из имен исследователей-медиков, создателей первых описаний болезней, структур или явлений. У этого есть свои минусы (такое имя обычно логически не относится к описанному заболеванию или изменению, за исключением исторического аспекта), но есть и плюсы (это все же удобнее, чем запоминать длинные и иногда частично описательные термины). Женщины поздно присоединились к гонке за место в медицинской терминологии, чему предшествовала еще более долгая борьба за то, чтобы в принципе иметь право получать соответствующее образование. Но даже тех, кто в этом преуспел, на практике не только забывают, но и часто просто-напросто принимают за мужчин, что грамматика нашего языка подчеркивает особенно в медицинских эпонимах. Такое часто случается с Софи Шпиц, и у нее большая группа подруг по несчастью – взять, к примеру, наиболее известных исследовательниц-патологов Ивонну Барр, Дороти Рид или Гертруду Гурлер.

Софи Шпиц, американский патоморфолог, известная своим описанием доброкачественного меланоцитарного невуса с обманчиво опасным видом – ведь он охотно (и нередко, успешно) притворяется меланомой.
Софи Шпиц описала поражение (впоследствии увековечившее ее имя) в 1948 году в American Journal of Pathology, назвав его ювенильной меланомой. Тогда ей было уже тридцать восемь лет, она работала в Мемориальной больнице в Нью-Йорке. Пол не позволил ей посвятить себя хирургии (проблема, с которой женщины часто сталкиваются даже сегодня – хирургия все еще считается неблагоприятной для них средой, и это отнюдь не из-за физических ограничений), поэтому она обратилась к чуть более перспективной для нее области. Хотя Невус Шпиц является ее самым запоминающимся вкладом в развитие патоморфологии, она также была соавтором учебников, включая совершенно новаторскую Pathology of Tropical Diseases, в которой рассматривалась патология тропических болезней (патоморфологи в то время интересовались этим сюжетом в весьма небольшой степени), а, кроме того, занималась дидактикой и научными исследованиями, особенно в области паразитарных и раковых заболеваний. В 1956 году она умерла от рака толстой кишки, так и не услышав термин «невус Шпиц».
Нужно сказать, что описанное ею родимое пятно не удостоилось специального названия по тривиальным причинам, что, впрочем, понятно уже из самого названия оригинальной работы Melanomas of Childhood – неслучайно в нем упоминается «меланома». Так, существует группа родимых пятен, особенно у молодых людей (отсюда и в названии патологии «детская» и «юношеская»), чей микроскопический образ вызывает сильное беспокойство, и у которых много общих черт с меланомами, хотя они не ведут себя столь агрессивно. Есть некоторые морфологические особенности, с помощью которых можно отличить их от злокачественных поражений, и именно Софи Шпиц заложила фундамент исследований их различий. Впрочем, изучение продолжается, углубляется, развивается и постоянно обогащается не только новыми морфологическими признаками, но и генетическими данными, а простое разделение на отдельные доброкачественные и злокачественные поражения уступило место осознанию существования целого спектра изменений между обычным невусом Шпиц и напоминающим его типом меланомы.
Между тем заставить Софи Шпиц «исчезнуть» из медицинской памяти, сделав ее мужчиной, стараются (я не говорю, что сознательно) не только ряд хирургов, таких как тот, что выписал упомянутое направление на исследование, но и самые различные медицинские учреждения, и даже – к счастью, чуть реже – польскоязычная научная литература. В самом деле, корректуру в польских медицинских журналах легко проходят работы, всерьез повествующие о «невусе Шпица», и это не вопрос отдельных статей, подобные неудачи можно найти на страницах журналов «Руководство врача», «Онкология в клинической практике» (официальный журнал Польского общества клинической онкологии!) или издании «Рак. Онкологический журнал», а также на страницах уважаемой в профессиональной среде «Практической медицины»[16]. Хотите сказать, я просто придираюсь? Пойдем дальше. «Невус Шпица» встречается в официальных диагностических и терапевтических руководствах Польского общества клинической онкологии, а также в некоторых учебниках. Наши учебники по патоморфологии здесь не упоминаем, но уже, например, в книге «Лечение кожи и венерических заболеваний», изданном PZWL[17], «Лечение болезней кожи и болезней, передающихся половым путем» гордо фигурирует «невус Шпица», аналогично выглядит польское издание «Международной классификации болезней для онкологии ICD-O». Неудивительно, что студенты и врачи, которые меньше интересуются этой темой, допускают ошибки.









