Старение и антиэйджинг: медико-биологические подходы к увеличению продолжительности жизни и активному долголетию

- -
- 100%
- +
Таким образом, фатальные БЦ – это хорошо известный и уже состоявшийся научный факт и социальный бич нашей цивилизации, особенно наших городов и крупных мегаполисов. Именно они стали основной причиной смертности населения планеты в конце XX и нач. XXI в. Понимание фундаментальных причин возникновения этих смертельных неинфекционных заболеваний должно стать базовой основой выживания всего человечества. Эти болезни забрали пальму первенства причин смерти у инфекционных заболеваний, эпидемии которых «косили» население планеты в прошлых веках. По-видимому, когда мы научимся рано их диагностировать и эффективно лечить, придут другие заболевания второго столетия жизни человека, и уже в середине этого века они станут вызовом для медицинского сообщества нашей Земли. Ну а пока это произойдет, мы попытаемся разобраться с болезнями цивилизации и системообразующими факторами их возникновения и развития.
Глава 3. Социально-экономические аспекты старения и фатальных болезней цивилизации
Если посмотреть списки мировых рекордсменов долголетия, предложенные Википедией, то в них перечислены 100 самых долгоживущих жителей планеты, чей доказанный возраст на момент ухода из жизни перевалил за 114 лет. Перечни более «юных», в 100 лет и старше, гораздо длиннее. И тут мы встречаемся с определенными загадками и противоречиями. Если где-то наслаждаться годами помогают достойные условия жизни, т.е. социальный аспект старения помогает прожить дольше, то как объяснить феномен Мэгги Паулин Барнс, прожившей 115 лет 319 дней (с 1882 по 1998)? Это действительно уникум: она единственный представитель долгожителей мира, родившихся в рабстве; т.е. социальные условия никак не позволяли ей прожить очень долго. В упомянутых списках и примерах из Книги рекордов Гиннеса упоминаются и имена американок Бесси Купер, Элизабет Болден, японки Танэ Икаи, представительницы Эквадора Марии Каповилья и десятков других чемпионов, перешагнувших рубеж 116-летней продолжительности жизни. А Саре Кнаусс на момент ухода из жизни было более 119 лет (она из США). Танэ Икаи рассказывала, что ее успех связан с любовью к дарам моря, именно их она всегда предпочитала в питании. А вот канадка Мария Луиза Мейлер благополучно достигла возраста 117 лет и 230 дней, но всю жизнь трудилась не покладая рук, причем в тяжелых условиях. Два мужа, 10 детей. К тому же Мария не отказывалась от бокальчика-другого вина, а курить бросила лишь к 90-летию. Мужчин в этой славной когорте немного. В категории «долгожители мира» Книги рекордов Гиннеса зафиксировано имя японца, прожившего чуть более 116 лет, это Дзироэмон Кимура. Сто пятнадцать лет и 252 дня радовался жизни Кристиан Мортенсен – датчанин, эмигрировавший в США. Пуэрториканец Эмилиано Меркадо дель Торо тоже в числе рекордсменов с итогом 115 лет и 163 дня. Есть несколько более младших чемпионов долгожительства.
Долгие годы список долгожителей в мире возглавляла Жанна-Луиза Кальман с феноменальным результатом 122 года и 164 дня (1875—1997). Только представьте: она могла видеть первый полет братьев Райт, пережила две мировые войны и кучу других знаковых событий мировой истории! Всю свою жизнь она прожила в крайне неблагоприятных условиях. Ее рецептом успеха является постоянная физическая активность. Велосипед, причем не прогулочный; она была почти профессионалом в гонках! А в 85-летнем возрасте научилась прилично фехтовать. До последних дней была в памяти и ясном уме, отличалась отменным чувством юмора. И вкусом к хорошей одежде! Луиза Кальман объясняла свой рекорд умением следовать простому правилу: «Когда невозможно решить проблемы, нет нужды беспокоиться». Кстати, неистовая француженка питалась совсем не нектаром и амброзией. Она отказала себе в удовольствии выпивать каждый день по стаканчику портвейна только в 117 лет! Один невезучий нотариус решил «облагодетельствовать» 92-летнюю Жанну-Луизу, взявшись платить ей пожизненную ренту. Она прожила еще 30 лет, надолго пережив нотариуса, что так и не дождался ее скромной квартирки. Другой парадокс долголетия – это Антиса Хвичава, являющаяся образцом трудолюбия. Антиса Хвичава, обычная грузинская женщина, немного не дожившая до рубежа в 133 года, в течение 85 лет трудилась на чайных плантациях. Существуют документы, подтверждающие подлинность факта ее рождения в 1880 г.; это признали специалисты Книги рекордов Гиннеса, выдавшие грузинке соответствующий сертификат. Антиса Хвичава была неграмотной, так что об истоках своей уникальности ничего не бралась рассказывать многочисленным гостям, зато интересовалась новинками науки, хотела научиться пользованию компьютером. Живость ума и природная любознательность оставались при ней до последнего вздоха.
Профессор анатомии Калифорнийского университета Леонард Хейфлик обнаружил интересную закономерность: продолжительность жизни человека и отношение веса мозга к весу тела связаны пропорционально. Чем больше это частное, тем длиннее жизнь. По его мнению, старение начинается тогда, когда мы прекращаем расти. По сути, лет с тридцати, а то и раньше. А вот акулы, галапагосские черепахи и ряд других существ стареют весьма медленно, поскольку практически всю жизнь чуть-чуть, но прирастают в размерах. Так, например, было доказано, что гренландская акула живет 400 лет и все эти годы она прирастает в длине и объеме.
Идею американского профессора Л. Хейфлика о взаимосвязи продолжительности жизни человека и размеров его мозга поддерживает и развивает соавтор этой монографии к. б. н. М.А. Шурдов. Он сформулировал свою собственную концепцию долголетия, которая отражает прямую зависимость продолжительности жизни от степени изношенности и объема молекулярно-биологических повреждений нервной ткани собственного мозга человека. То есть он видит взаимосвязь не столько массы и объема головного мозга (ГМ) и продолжительности жизни, как Л. Хейфлик, а преимущественно между продолжительностью жизни и объёмом морфологических органических микро- и макроповреждений нервной ткани в ГМ, которые в ряде случаев существенно не меняют объема и массы мозга, но существенно сокращают регуляторный и управленческий потенциал ГМ. Другими словами, объем и масса поврежденного ГМ может практически не изменяться и (или) соответствовать возрастной норме, но при этом существенно влиять на сокращение продолжительности жизни хозяина этого ГМ. Для иллюстративности данного биологического феномена М. А. Шурдов вводит собственный новый термин: «одноразовый мозг», который в процессе жизни по-разному у разных людей изнашивается и реставрации и реконструкции практически не подлежит. Низкий регенеративный потенциал для саногенеза поврежденного ГМ, обусловленный малым количеством собственных НСК, неспособен обеспечить самореставрацию повреждений нервной ткани ГМ и спинного мозга (СМ). Масса мозга человека и его морфологическая структура, по мнению М. А. Шурдова, количественно может быть не изменена, но качественно молекулярно-биологическая (геномная, транскриптомная, протеомная, метаболомная и т.д.) структура этих клеток и всей нервной ткани может быть существенно трансформирована патологическими белками, нарушениями ДНК или РНК. Именно эти геномные, постгеномные или эпигенетические изменения в клетках нервной ткани ГМ и СМ являются фундаментальной причиной нарушения системообразующих и регуляторных функций ГМ и приводят к формированию системной дисрегуляции органов и систем организма, приводящей к сокращению продолжительности его жизни. По мнению М. А. Шурдова, термин «одноразовый мозг» подчеркивает очень важный научный факт того, что нервные клетки мозга это единственный, но резко ограниченный для самовозобновления (практически одноразовый) и дающийся при рождении невосполнимый ресурс, тогда как все другие клетки систем, органов и тканей человека способны к полному самообновлению, регенерации и замещению.
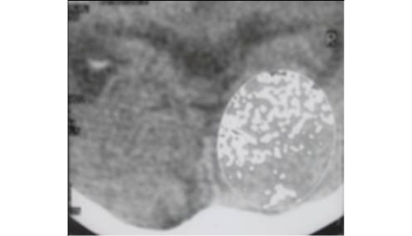
Человек рождается с анатомически сформированным головным и спинным мозгом, в котором количество нервных клеток составляет ~ 100 млрд. Мозг при рождении весит не более 100 г, а в зрелом возрасте ГМ составляет 1,5—2 кг, но количество клеток в нем не увеличивается, а к старости только уменьшается. Нервные клетки (нейроны) лишь увеличиваются в размере и удлиняют аксоны, которые достигают длины до 1—1,5 м. Сущность предложенной концепции заключается в биологическом феномене ограничения продолжительности жизни человека в зависимости от возрастного или болезнетворного накопления объема морфофункциональных повреждений, полученных его мозгом в период онтогенеза (жизни после рождения). Причиной этих молекулярно-биологических повреждений могут быть как эндогенные, так и экзогенные факторы окружающей среды, климата и профессиональных вредностей, приводящие к патогенетическим процессам в клетках нервной ткани. Невозможность или, точнее, резко ограниченная возможность самообновления клеток и низкий потенциал регенерации для реставрации поврежденной нервной ткани ГМ и СМ человека в процессе постнатального онтогенеза приводят к возрастзависимой дегенерации и атрофии нейронов, которые и формируют нарушения гомеостаза и блокирование биологических механизмов саногенеза органов и тканей организма и, несомненно, являются фундаментальными причинами сокращения продолжительности жизни. Степень выраженности молекулярно-биологического повреждения нервной ткани ГМ и СМ прямо пропорциональна продолжительности жизни человека. Нервные и психические болезни, в исходе которых лежит формирование органического морфологического дефекта нервной ткани, являются фундаментальной биологической и биофизической основой сокращения продолжительности жизни почти для всех болезней цивилизации. Именно морфологические дефекты нервной ткани ГМ и СМ сегодня легко объективизировать при помощи стандартной компьютерной томографии (КТ), так что легко выявить объем повреждения путем проведения денситометрии (программы компьютерного анализа изучения плотности ткани) КТ нервной ткани и рассчитать объем ишемизированной ткани ГМ, который соответствует диапазону плотности нервной ткани от 10 до 15 хаунсфилдов.

Рис. 1. Компьютерная томография головного мозга пациента К., 46 лет. Денситометрический анализ нервной ткани правой затылочной доли
головного мозга на выявление очагов ишемии (от 5 до 14 H) для оценки объема повреждений мозга
Итак, доказанная продолжительность жизни человека сегодня лимитирована 120 годами, и преодолеть это ограничение пока никому не удалось. Возможно, это действительно связано с размерами головного мозга человека и молекулярно-биологической структурой, а может быть, с целым рядом неизвестных причин, обусловленных загрязнением окружающей среды, глобальным потеплением, изменением активности солнца, новыми климатическими условиями. Парацельс между тем был уверен, что человеку по силам жить 600 лет. Его русские коллеги Илья Мечников и Александр Богомолец давали нам срок жизни в 160 лет. Можно говорить о том, что на продолжительность жизни влияет наследственность, и отчасти это верно. Экология, питание, здоровый образ жизни – все это факторы влияния. Но даже из вышеприведенных примеров ясно, что многие долгожители не были ангелоподобными существами. Кто-то выпивал – кстати, некоторые даже весьма прилично; другие покуривали или даже дымили напропалую; третьи злоупотребляли кофе.
Социальный статус каждой возрастной группы и ее влияние в обществе тесно связаны с экономической продуктивностью этой группы. В аграрных обществах пожилые люди имеют высокий статус и являются объектом внимания. Их жизненный опыт и знания высоко ценятся, особенно в дописьменных обществах, где знания передаются устно. Потребность в их знаниях позволяет пожилым людям продолжать быть продуктивными членами общества.
В обществах с высоким уровнем индустриализации и урбанизации статус пожилых людей заметно изменился, уменьшив значение пожилых людей, а в некоторых случаях даже достигнув негативного отношения к старым людям – эйджизма. Оказывается, физическая неспособность пожилых людей трудиться играет относительно небольшую роль, а за потерю значения отвечает несколько иных факторов. Среди них наибольшую роль играет постоянное введение новых технологий, требующих непрерывного образования и тренировки, которые не так доступны старым людям. Меньшую роль играют большое число все еще достаточно крепких старых работников, которые ограничивают возможности трудоустройства новому поколению, и уменьшение количества людей, которые работают на себя, что могло бы дать старым людям возможность постепенного снижения количества работы. В связи с общим повышением уровня образования опыт старых людей, наоборот, играет все меньшую роль.
Хотя в некоторых областях, например в политике, пожилые люди все еще сохраняют высокую активность, в общем случае они все чаще уходят на пенсию с окончанием наиболее продуктивного периода жизни, что приводит к проблемам психологической адаптации к новым условиям. В первую очередь проблемы появляются в связи с уменьшением влияния старых людей, чувства собственной невостребованности и наличия значительного количества свободного времени. Кроме того, для большого количества людей в старости становятся острее финансовые проблемы, хотя во многих случаях эти проблемы ложатся на общество.
В связи с наличием свободного времени семейные взаимоотношения в большей мере стремятся быть центром внимания пожилых людей. Тем не менее в связи с изменениями в семейной структуре в развитых странах большие семьи разделились и пожилые люди все чаще не живут рядом со своими детьми и другими родственниками. Из-за этого перед обществами становится проблема большей приспособляемости пожилых людей к независимому существованию.
Важным фактором в социологии старения является сексуальная и репродуктивная активность. В развитых странах мужчины продолжают становиться отцами даже в возрасте 65 лет и старше. Для пожилых людей характерно сопротивление изменениям, хотя в большей мере это поясняется не неспособностью к приспосабливаемости, а увеличением толерантности. В помощь приспосабливаемости пожилых людей к новым условиям разрабатываются специальные учебные программы, рассчитанные на эту категорию людей.
В связи со снижением способности выполнять большинство типов работ в индустриальных и постиндустриальных обществах пожилые люди постепенно теряют источники дохода. Таким образом, они должны полагаться на собственные накопления, помощь детей и общества. Из-за меньшей уверенности в будущем пожилые люди отличаются тенденцией к сбережению и инвестированию средств вместо траты их на потребительские товары. На уровне государства старое население выбывает из рабочей силы, увеличивая нагрузку на активных работников и открывая дорогу к автоматизации производства.
Государственные социальные программы, помогающие людям преклонного возраста существовать в обществе, функционировали на определенном уровне, начиная со времен Римской империи. В средневековой Европе первый закон об ответственности государства перед пожилыми людьми был принят в Англии в 1601 г. Собственно пенсии были впервые введены в 1880 г. Отто фон Бисмарком в Германии. Сегодня большинство государств имеют какую-либо форму программ социального обеспечения для граждан преклонного возраста. Хотя эти государственные программы и облегчают тяжесть старости, они не приводят пожилых людей к уровню дохода, характерному для молодых.
Хотя физиологический эффект старения отличается среди индивидуумов, организм в целом с наступлением старости становится уязвим для многочисленных болезней, особенно хронических, требуя больше времени и средств на лечение. Со времен Средневековья и Античности средняя продолжительность жизни в Европе оценивалась между 20 и 30 годами. Сегодня продолжительность жизни значительно возросла, в результате чего все больший процент составляют пожилые люди. Потому типичные для пожилого возраста рак и болезни сердца стали намного более распространены.
Возрастающая стоимость медицинской помощи вызывает определенные проблемы как среди самих пожилых людей, так и для обществ, которые создают специальные институты и целевые программы, направленные на помощь пожилым людям. Многие развитые страны ожидают значительное старение населения в ближайшее время и потому беспокоятся об увеличении расходов для сохранения качества охраны здоровья на соответствующем уровне. Направления деятельности с целью преодоления этой проблемы заключаются в улучшении эффективности работы системы охраны здоровья, более целенаправленном оказании помощи, поддержке альтернативных организаций оказания медицинской помощи и влиянии на демографическую ситуацию.
Существует много вариаций между странами как в определении старения, так и в отношении к нему. Например, пенсионный возраст варьируется между разными странами в диапазоне от 55 до 70 лет. В первую очередь эта разница объясняется различиями в средней продолжительности жизни и трудоспособности пожилых людей. В дополнение, как указывалось выше, наблюдаются значительные различия между индустриальными и традиционными аграрными обществами. Тогда как в первых значение пожилых людей незначительно, в последних старость является признаком мудрости, а старые люди имеют большое влияние на общество.
Хотя в большей части государств некоторые права и обязанности (право голоса, право покупать алкоголь, уголовная ответственность и т.д.) предоставляются человеку начиная с определенного возраста, часто пожилые люди лишаются некоторых прав. Типичный пример: право занятия некоторых должностей (в основном руководящих).
В странах Запада в наши дни набирает популярность концепция «успешного старения», которая определяет, как наилучшим образом должно протекать старение, используя современные достижения медицины и геронтологии. Эта концепция может быть прослежена до 1950-х гг., но была популяризована в работе Роуи и Кана 1987 г. (Rowe, Kahn, 1987). Авторы критикуют исследования в геронтологии за преувеличение однородности исследованных людей и, согласно им, предыдущие исследования старости преувеличили степень, с которой такие болезни, как, например, диабет или остеопороз, могут быть приписаны возрасту.
В следующей публикации (Rowe, Kahn, 1997) авторы определили понятие успешного старения как комбинацию следующих факторов, которые должны сопровождать старение:
1) низкая вероятность болезней или инвалидности;
2) высокие возможности к обучению и физической деятельности;
3) активное участие в жизни общества.
Эти цели могут быть достигнуты как с помощью общества, так и благодаря известным усилиям пожилых людей по изучению и поддержке социальных связей, особенно с более молодыми людьми.
Социальные и экономические аспекты старения в настоящее время еще до конца не изучены и туманны, а в литературе существует достаточное количество необъяснимых фактов о данном биологическом феномене. Например, в 1993 г. в США родилась и прожила 20 лет девушка, которая практически не была подвержена возрастным изменениям. В 2009 г. 16-летняя Брук Гринберг в физическом и умственном отношении находилась на уровне годовалого ребенка: ее рост 76 см, вес – 7,3 кг, у нее молочные зубы, костная ткань соответствует 10-летнему возрасту, а мозг претерпел лишь незначительные изменения с раннего детства. Гринберг умерла в возрасте 20 лет от бронхомаляции. Американские ученые ведут поиски гена, который мог стать причиной состояния Гринберг. Не исключено, что он окажется ключом к пониманию всех процессов старения человеческого организма.
Ирландский землевладелец Браун, доживший, как считается, до 120 лет, завещал сделать себе надгробную надпись; вот ее текст: «Он был всегда пьян и так страшен в этом состоянии, что сама смерть боялась его». Вот и мысли долгожителя для всех нас… Но есть, есть-таки одно общее, что объединяет всех долгожителей мира, – это неистощимое жизнелюбие, оптимизм. Они жили долго, потому что искренне любили жизнь, и она отплатила им взаимностью. Однако только жажды жизни для этого явно недостаточно, т.к. мы пока не понимаем фундаментальных причин старения человека и млекопитающих. В следующей главе мы поговорим о различных теоретических взглядах и научных теориях ученых и исследователей всего мира на процесс старения.
Глава 4. Современные теории старения и концепции долголетия человека
История возникновения научных теорий старения человека является достаточно короткой и совсем небольшой по сравнению с 2 тыс. лет известной цивилизации, описанной в Библии. Мы не будем останавливаться на общеизвестных подходах к продлению жизни в древних цивилизациях и в Средние века, т.к. назвать их научными, наверное, было бы неправильно, хотя вся история человечества – это поиск Грааля бессмертия и чудодейственных средств продления собственной жизни. Сегодня существует несколько альтернативных теорий, которые отчасти противоречат друг другу, а отчасти друга друга дополняют. Современная биология уделяет проблеме старения очень много внимания, и с каждым годом появляются новые факты, позволяющие глубже понять механизмы этого процесса.
Первые попытки научного объяснения старения начались в конце XIX в. В 1882 г. в одной из первых работ известный зоолог и теоретик эволюционного учения Август Вейсман (Weissmann, 1882) предложил теорию происхождения старения как свойства, которое возникло в результате эволюции. Согласно А. Вейсману, «не стареющие организмы не только не являются полезными, они вредны, потому что занимают место молодых», что должно было привести эволюцию к возникновению старения. Его, правда чисто теоретическое, представление о старении и «бессмертии» клеток не было подтверждено им экспериментально, но он еще в 1881 г. предположил, что старение организма определяется тем обстоятельством, что у соматических клеток «…способность к росту путем деления не вечна, а ограниченна». По его же мнению, могут бесконечно входить в процесс деления только половые клетки, которые с этой точки зрения являются «бессмертными», т.е. иммортальными. Однако первые же опыты по выращиванию изолированных из организма клеток в культуре ткани, произведенные французским хирургом и патофизиологом Алексисом Каррелем (Carrel, 1912), казалось бы, полностью опровергли предположение А. Вейсмана о «смертности» соматических клеток. А. Каррель впервые в цитологической практике разработал технику выращивания культуры тканей с использованием плазмы крови и эмбриональной жидкости, позволившую длительное время поддерживать рост клеток, в т.ч. соматических, выделенных из организма. В своем самом известном эксперименте он удалил небольшое количество ткани из сердца эмбриона цыпленка, погрузил его в питательную среду и смог сохранить эту ткань живой в своей лаборатории. Спустя десятилетия после смерти самого Каррела в 1944 г. ткани цыпленка намеренно позволили умереть. За эти исследования, а также за разработку методик по сшиванию кровеносных сосудов А. Каррель в 1912 г. был удостоен Нобелевской премии. Вплоть до 1961 г. считалось, что постулат А. Вейсмана опровергнут, но американские цитологи Л. Хейфлик и П. Мурхед провели эксперименты по культивации фибробластов человеческих эмбрионов. Эти исследователи помещали в питательную среду отдельные клетки, а не цельный кусочек ткани, как это делал А. Каррель. Леонард Хейфлик обнаружил, что легочная ткань, по-видимому, отмирает после того, как ее клетки поделились определенное количество раз, обычно 50. Это число называли пределом Хейфлика. Более того: когда клетки приближались к своему пределу деления, они начинали напоминать старую ткань с возрастными пигментами, которые обнаруживаются в постаревших клетках сердца и головного мозга.
Оригинальную гипотезу старения выдвинул выдающийся русский биолог И. И. Мечников (1845—1916), который считал старение результатом интоксикации организма продуктами обмена бактерий, обитающих в кишечном тракте, и продуктами азотистого обмена веществ самого организма (мочевая кислота). Образуются ядовитые вещества, в т.ч. скатол, индол, фенол (карболовая кислота), крезол, кадаверин (трупный яд), тирамин и другие токсины. Данную теорию И. И. Мечников назвал теорией бактериальной интоксикации организма.
Важным шагом в исследовании старения был доклад английского биолога проф. Peter Brian Medawar перед Лондонским королевским обществом в 1951 г. под названием An Unresolved Problem in Biology («Нерешенная проблема биологии»; Medawar, 1952). В этой лекции он подчеркнул, что животные в природе редко доживают до возраста, когда старение становится заметным; таким образом, эволюция не могла оказывать влияние на процесс развития старения. Эта работа положила начало целой серии новых исследований. На протяжении следующих 25 лет исследования имели преимущественно описательный характер. Тем не менее начиная с конца 70-х гг. возникает большое количество теорий, которые пытались объяснить феномен старения (Древина, 2009). Например, в известном обзоре литературы по этому вопросу, опубликованном Калебом Финчем в 1990 г., насчитывалось ок. 4 тыс. ссылок (Finch, 1990) на различные научные исследования. Только в конце 1990-х гг. ситуация начала проясняться и большинство авторов стали приходить к общим выводам.



