Замершая беременность

- -
- 100%
- +
Аналогичным образом происходит синтез белка в клетках: ДНК расплетается; с нее считывается информация методом достраивания РНК, которая уходит из ядра в рибосомы (структуры клетки), где и становится матрицей для синтеза белка; расплетенная ДНК вновь закручивается в спираль.
Основы генетики
Гены являются носителями наследственной информации человека. Каждый ген – это участок молекулы ДНК, несущий информацию об определённом белке. Полный набор генов человека (генотип) отвечает за работу организма, его рост и развитие. Совокупность множества генов определяет уникальность каждого человека.
Гены передаются ребёнку от родителей: один «комплект» – от мамы, другой – от папы. Поэтому дети так похожи на своих родителей.
Если от обоих родителей нам достались одинаковые гены, отвечающие за какой-либо признак, например голубой цвет глаз, то генотип считается гомозиготным по этому признаку, и цвет глаз будет голубым (рисунок 6 а).
Если мы унаследовали разные гены (например, от матери – голубой цвет глаз, от отца – темный), то генотип считается гетерозиготный (рисунок 6 б). В этом случае проявляется тот признак, который является доминантным (преобладающим), и цвет глаз будет темным.
Гены у разных людей похожи, но имеются небольшие отличия – полиморфизмы. Существенные изменения генов, приводящие к нарушению функции клеток, называются мутацией (абберации). В живой клетке гены постоянно мутируют. Основными процессами, в ходе которых возникают сбои, являются репликация и транскрипция ДНК.
Некоторые изменения (полиморфизмы или мутации) приводят к внутриутробной гибели плода, другие – становятся причинами генных болезней и проявляются сразу после рождения, третьи – являются фактором, лишь предрасполагающим к возникновению некоторых заболеваний.

Рисунок 6. Гомозиготный (а) и гетерозиготный (б) типы
Типы хромосомных нарушений
Выделяют два основных типа хромосомных нарушений (мутаций, аббераций):
1. Количественные изменения числа хромосом (анеуплоидия): присутствие дополнительной хромосомы (трисомия) или отсутствие одной из двух парных хромосом (моносомия). Они возникают при нарушении расхождения хромосом в процессе деления клетки, в результате чего генетический материал неравномерно распределяется среди дочерних клеток. Анеуплодия приводит к выкидышам или формированию пороков развития.
Наиболее часто встречается трисомия по 16-й хромосоме, следствием которой становится ранний самопроизвольный выкидыш. Носители трисомии по хромосомам 13 (синдром Патау) и 18 (синдром Эдвардса) могут дожить до рождения, но отличаются значительными нарушениями развития, в связи с чем чаще погибают сразу после появления на свет.
Единственным видом трисомией по аутосомным (неполовым) хромосомам, при наличии которой возможно рождение жизнеспособного ребенка, является синдром Дауна (трисомия по хромосоме 21). Об этой патологии я расскажу подробно в соответствующей главе.
Также описаны хромосомные аномалии, при которых увеличивается число половых хромосом. Наиболее часто встречаются: синдром Шерешевского-Тернера (о нем мы поговорим отдельно); синдром Клайнфельтера (47XXY вместо 46XY), при котором возможно рождение младенца мужского пола, наделенного некоторыми вторичными женскими половыми признаками, и прочие.
При наличии в клетке дополнительного набора хромосом образуется полиплоидия. Например, при оплодотворении одной яйцеклетки сразу двумя сперматозоидами возникает триплоидия (тройной набор хромосом).
2. Также могут возникнуть нарушения в строении хромосом: делеция (утрата части), инверсия (поворот участка хромосомы на 180̊), кольцо (хромосома формирует кольцевую структуру), дупликация (повторение участка хромосомы), транслокация (перенос части хромосомы на другую).
При сбалансированных структурных нарушениях хромосом количество представленного хромосомного материала соответствует норме, изменена лишь их конфигурация. Человек со структурными абберациями хромосом, как правило, не имеет никаких проявлений, кроме возможных проблем с воспроизводством здорового потомства. Нарушения структуры хромосом могут передаваться от родителей к ребенку.
Синдром Дауна
В механизме возникновения синдрома Дауна лежит нарушение расхождения хромосом при созревании половых клеток (гамет).
Во время этого процесса и у мужчин, и у женщин, происходит деление обычной соматической клетки, содержащий двойной (диплоидный) набор хромосом, на две дочерние с уменьшенным вдвое числом хромосом (рис. 7). Если бы количество хромосом в гаметах оставалось диплоидным, как и в соматических клетках, то при оплодотворении в каждом поколении оно бы удваивалось.

Рисунок 7. Созревание половых клеток из соматической
При нарушении расхождения хромосом созревают гаметы с неправильным их количеством. Если такая «патологическая» половая клетка будет участвовать в оплодотворении, то имеется высокий риск зачатия ребенка с наследственной патологией.
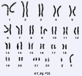
При наличии дополнительной 21-й хромосомы формируется синдром Дауна (рис. 8). Это одна из форм геномной патологии, при которой кариотип представлен 47 хромосомами (трисомия по 21 хромосоме) вместо 46, то есть от одного из родителей (носителя болезни) ребенку досталась не одна 21-я хромосома, как положено, а две; третью он получил от другого (здорового) родителя.
Изменение количества хромосом часто несовместимо с жизнью и приводит к гибели эмбриона, что является одной из главных причин невынашивания беременности в первом триместре. Однако плод с синдромом Дауна погибает не всегда. Нередко такие дети все же появляются на свет – в среднем наблюдается один случай на 700 родов.

Рисунок 8.Трисомия по 21 хромосоме. Синдром Дауна
Синдром Дауна является тяжелым отклонением, характеризующимся слабоумием, замедленным развитием и наличием других врожденных пороков. В настоящий момент благодаря пренатальной диагностике частота рождения детей, страдающих данной патологией, уменьшилась до 1 на 1100.
Дети с синдромом Дауна могут появиться у генетически здоровых родителей. Однако вероятность зачатия такого ребенка повышается с возрастом. Если женщине больше 45 лет, то риск составляет 1:19. Также увеличивается частота заболеваемости этим синдромом у ребенка, отец которого старше 42 лет.
Синдром Шерешевского – Тернера
Одной из причин прерывания беременности является такое генетическое заболевание плода, как синдром Шерешевского – Тернера. Это хромосомная патология, характеризующаяся наличием моносомии по Х-хромосоме (одна Х-хромосом вместо двух).
Беременность при наличии у плода такого синдрома чаще всего (в 98%) заканчивается самопроизвольным выкидышем на ранних сроках. Если этого не произошло, и девочка с синдромом Шерешевского – Тернера родилась, она будет отставать в физическом развитии. Типичными признаками синдрома являются: низкий рост, бочкообразная грудная клетка, укороченная шея. При этом интеллект чаще всего не страдает.
Из-за дефекта или полного отсутствия одной половой X-хромосомы нарушается формирование половых желез: яичники могут полностью отсутствовать, матка – находиться в зачаточном состоянии.
Так как при данной патологии яичники обычно не существуют, эстрогены не продуцируются. В результате повышается уровень гонадотропинов и отмечается аменорея (отсутствие менструаций).
Основным видом лечения пациенток с синдромом Шерешевского – Тернера служит гормональная терапия, которую начинают с 14–16 лет. Это приводит к феминизации телосложения, развитию женских вторичных половых признаков, уменьшает повышенную активность гипоталамо-гипофизарной системы. Терапию проводят в течение всего детородного возраста больных. Тем не менее, женщины с синдромом Шерешевского – Тернера бесплодны из-за отсутствия яичников.
Как часто прерывается беременность при хромосомных нарушениях?
Хромосомные аберрации являются наиболее частой причиной выкидыша: от 50 до 95% случаев самопроизвольного прерывания беременности обусловлено хромосомными аномалиями плода. При замершей беременности среди хромосомных аномалий чаще выявляются:
–45–55% – аутосомные трисомии,
–20–30% – моносомия,
–15–20% – триплоидия.
Родители плода с увеличенным количеством хромосом чаще всего здоровы, и анализ их кариотипа мало информативен. Риск повторного возникновения количественных хромосомных аберраций (например, трисомии) в последующих беременностях составляет около 1%, что потребует проведения пренатальной диагностики в первом триместре. Об этом должна быть проинформирована супружеская пара в случае гибели плода и обнаружении у него ХА.
При выявлении у плода структурных аберраций хромосом проведение кариотипирования у родителей является обязательным, так как в семьях, где один из родителей имеет нарушение структуры хромосом (например, транслокацию), риск самопроизвольного прерывания беременности повышается до 25%-50%.
В некоторых случаях при структурных абберациях хромосом плода беременность может прогрессировать, при этом родится ребенок с существенными пороками развития. Вероятность появления на свет здорового малыша у родителей со структурными хромосомными абберациями сохраняется. Но в 1-15% случаев он будет иметь генетические отклонения.
Как мы уже сказали, важную роль в установлении причины самопроизвольного выкидыша играет цитогенетическое исследование абортного материала.
Посещение генетика
Установить причины прерывания беременности может помочь посещение генетика.
Вопрос: Скажите, что мне делать? Я не могла забеременеть 4 года, потом это у меня получилось. Но на 6 неделе на УЗИ сказали, что есть угроза выкидыша. Затем было все хорошо, а на 12 неделе начались кровяные выделения. Сделали повторное УЗИ, сказали, что плод замер в развитии на 9 неделе. Скажите, пожалуйста, какое лечение получить, и смогу ли я еще забеременеть? Спасибо.
Вопрос: У меня один раз было выскабливание, второй раз медикаментозный аборт, так как обе беременности были замерзшие. Сдала анализы на скрытые инфекции, результат отрицательный. Родов не было, очень хочется ребеночка. Скажите, пожалуйста, какие еще мне нужно сдать анализы?
Именно хромосомная патология плода приводит к его внутриутробной гибели на ранних сроках развития (так называемая «замершая беременность») и самопроизвольному выкидышу. Поэтому, если у вас в прошлом были выкидыши или замершая беременность, то следует пройти генетическое обследование.
Нередко будущие мамочки очень настороженно относятся к медико-генетической консультации. И напрасно! Данное исследование позволяет заранее определить степень риска рождения детей с генетическими аномалиями.
Подобные нарушения у плода могут быть унаследованы от одного из родителей либо быть вызваны неблагоприятными внешними воздействиями: курением будущей мамочки, употреблением алкоголя, приемом некоторых препаратов, перенесенными инфекциями, воздействием радиации в период зачатия и до него.
Консультация специалиста необходима если:
–у будущих родителей или их родственников имеются какие-либо наследственные заболевания;
–в семье есть ребенок с генетической патологией;
–будущие родители являются родственниками;
–возраст будущей мамы старше 35 лет, отца – более 40 лет;
–предыдущие беременности были замершими или заканчивались самопроизвольными выкидышами;
–будущие родители подвергались воздействию радиации или долгое время работали с вредными химическими веществами;
будущая мама принимала сильнодействующие лекарственные препараты в период зачатия и/или на ранних сроках беременности.
Парам, находящимся в группе риска, следует пройти медико-генетическое обследование в обязательном порядке. При желании любая пара, планирующая ребенка, может проконсультироваться у генетика.
После наступления беременности за женщинами из группы риска устанавливается особый контроль. На 10-13 неделе беременности необходимо провести пренатальную диагностику состояния здоровья малыша, о которой мы поговорим далее.
Скрининг первого триместра
Комплекс мероприятий, направленных на раннее выявление патологии у плода, называется пренатальной диагностикой. Согласно последнему приказу МЗ и СР№ 808 от 02.10.2009 года в скрининг первого триместра, который проводится на сроках 11-14 недель беременности, входят следующие исследования:
1. УЗИ плода с оценкой:
–толщины воротникового пространства (ТВП);это область между внутренней поверхностью кожи плода и наружной поверхностью его мягких тканей, покрывающих шейный отдел позвоночника, в которой может скапливаться жидкость; в норме в сроки 11-14 недель ТВП составляет 2-2,8 мм; является маркером хромосомных нарушений плода, в первую очередь синдрома Дауна;
–наличия и длины носовой кости (НК); в норме на сроке 12-13 недель составляет 3 мм; ее отсутствие подозрительно в отношении синдрома Дауна.
2. Материнские сывороточные маркеры («двойной тест»):
–свободный хорионический гонадотропин человека (b-ХГЧ); в норме на сроке12 недель его уровень составляет 13,4-128,5 нг/мл; 13 недель – 14,2-114,7 нг/мл; 14 недель – 8,9-79,4 нг/мл; позволяет определить риск развития некоторых трисомий: синдрома Дауна (21 хромосомы), синдром Эдвардса (18) и синдрома Патау (13);
–ассоциированный с беременностью плазменный протеин А (РАРР-А): в норме на сроке 11-12 недель составляет 0,79-4,76 мЕд/л, 12-13 недель – 1,03-6,01 мЕд/л; 13-14 недель – 1,47- 8,54 мЕд/л; при синдроме Дауна и Эдвардса его уровень снижен.
Вопрос: мне 34 года. Я на 12 неделе сдала «двойной тест»: РАРР-А в норме- 3,07, а ХГЧ – больше нормы (178,0). УЗИ патологии не показало. Есть ли повод для переживаний? Можно ли оставлять беременность?
Несоответствие результатов скрининга первого триместра нормам не говорит о необходимости немедленного прерывания беременности, а лишь сигнализирует о возможном риске, который после прохождения обследования рассчитывается индивидуально для каждой пациентки.
При подозрении на наличие патологии у плода по данным скрининга ставится вопрос о проведении углубленного (инвазивного) обследования. Самым достоверным способом постановки диагноза является исследование хромосомного набора клеток плода. С этой целью изучают амниотическую жидкость (выполняют амниоцентез), ткани плаценты (плацентоцентез), ворсин хориона (биопсию), пуповинную кровь плода (кордоцентез).
Комментарий с форума: Мне 38 лет. На учет по беременности я встала лишь в 11 недель. На первом скрининге в 12 недель врач УЗИ намерил толщину воротникового пространства 2,9 мм, также был повышен ХГЧ. Направили к генетику, там выяснилось, что это может быть показателем синдрома Дауна. Предлагали сделать амниоцентез в 18 недель, чтобы точно определить, есть синдром или нет, но я отказалась. До последнего надеялась, что врач ошиблась, мерила не точно. Но в 21 неделю на втором скрининге та же врач обнаружила у ребенка сложный неоперабельный порок сердца и патологию почек. Как мне объяснили, это тоже признаки синдрома Дауна. Комиссия приняла решение вызывать искусственные роды. Жалко, что я не доверилась врачам раньше. Так что первый скрининг – дело хорошее!
При высоком риске хромосомных аномалий у плода женщине предлагается дополнительное инвазивное обследование (амниоцентез, кордоцентез) для того, чтобы получить клетки плода и изучить их хромосомный набор.
Как мы уже сказали, инвазивные процедуры чреваты возникновением ряда осложнений. Поэтому я достаточно часто сталкиваюсь с тем, что результаты биохимического скрининга вызывают у женщин массу переживаний и вопросов.
История из практики: У меня наблюдается молодая пациентка Ирина с тромбофилией. Однажды после прохождения первого скрининга она написала мне письмо: «Ольга, добрый вечер. Я сделала УЗИ, там все нормально. И вот пришла расшифровка биохимического скрининга, и я от нее в шоке…Можно я Вам скину результаты?»
В анализе определялся низкий уровень РАРР-А. Компьютер рассчитал вероятный риск развития синдрома Дауна у ребенка: >1:50.
Ирина очень переживала, ведь это ее долгожданная беременность после двух выкидышей. Неужели теперь Даун? Я объяснила своей пациентке, что РАРР-А снижается не только из-за хромосомной патологии плода, но и по другим причинам. В первую очередь, низкий уровень РАРР-А может свидетельствовать об угрозе прерывания беременности.
Ирина вспомнила, что в прошлой беременности перед выкидышем значение РАРР-А тоже было низким. Поэтому мы решили сделать акцент на препаратах, которые предотвращают возникновение плодово-плацентарной недостаточности. Кроме того, я назначила повторный курс низкомолекулярного гепарина, разжижающего кровь.
Девушка успокоилась. А через несколько недель она прошла второй УЗ-скрининг, по данным которого плод развивался нормально. Она прислала мне идеальные результаты УЗИ и написала, что в их достижении есть и моя заслуга)
Ну а для тех женщин, которые, получив результаты первого скрининга, переживают из-за повышенного риска развития хромосомных аномалий у плода, я рекомендую, не дожидаясь второго скринингового УЗИ, пройти простое обследование (Ирине, к сожалению, сделать его не представилось возможным).
Неинвазивный пренатальный тест
Альтернативой биохимическому скринингу и инвазивным процедурам при беременности (биопсии ворсин хориона, амниоцентезу) сегодня является неинвазивный пренатальный тест (НИПТ). Он проводится с помощью обычного забора венозной крови у будущей матери.
В крови матери циркулирует 5-10% ДНК плода. НИПТ позволяет выделить из крови беременной женщины ДНК плода и проанализировать ее с помощью новейшей технологии.
НИПТ используется во многих странах мира: США, Великобритания, Испания, Германия, Франция, Италия, Бразилия, Южная Корея, Сингапур, Чили и др. Недостатки: тест выполняется не везде и является дорогостоящим.
Современные диагностические технологии позволяют выявить любое отклонение в развитии плода уже с самых ранних сроков беременности. Главное, своевременно проходить все необходимые обследования и выполнять рекомендации специалистов.
Скрининг второго триместра
Тактика проведения пренатальной диагностики во втором триместре существенно изменилась в последние годы. Это важно знать будущим мамочкам с подозрением на хромосомную патологию у плода.
Так, согласно более раннему приказу Минздрава России №457 от 28.12.2000 года скрининг второго триместра должен был включать троекратное проведение УЗИ на сроках 22-24 недели беременности и оценку биохимических маркеров пороков развития плода в 16-20 недель (так называемый «тройной тест»): альфа-фетопротеина (АФП), хорионического гонадотропина человека (ХГЧ) и эстриола (Е3).
Выполнение «тройного теста» было рассчитано на выявление пороков развития плода, в первую очередь, синдрома Дауна. Однако проведенные в течение последующих 9 лет исследования показали, что утвержденная приказом №457 схема пренатальной диагностики не снижает частоту рождения младенцев с врожденными пороками, например, синдрома Дауна. Заболеваемость детей и их смертность, в том числе внутриутробная, оставалась высокой, несмотря на работу женских консультаций по приказу МЗ РФ № 457. Эти данные подтверждаются комментариями с форумов:
Комментарии с форума:
-Да я бы вообще только первый скрининг делала, если он в порядке, то и всё будет отлично! А дальнейшие скрининги не нужны! Даже если они покажут что-то «неправильное», так неужели аборт на таком сроке делать? А он вдруг окажется здоровым абсолютно! Так этого всю жизнь не простишь себе!
-Я делала скрининг два раза: первый был нормальный, второй показал повышенный (1:32) риск синдрома Дауна! По УЗИ было все в порядке, но врач на всякий случай порекомендовала сделать амниоцентез. Патологии выявлено не было. Родилась здоровая девочка!!! Так я и не поняла, зачем я сделала второй скрининг и амниоцентез? Жалко, что хороших вдумчивых специалистов очень мало.
– Лично я очень разочаровалась во втором скрининге. На первом у меня было все в порядке, а на втором – обнаружили повышенный ХГЧ. Моя врач сказала мне, что это патология плода. Представляете, что со мной творилось!? Столько слёз я пролила! А беременным волноваться нельзя! Врач мне рекомендовала побывать у генетика, но я плюнула на всех врачей и подумала: будь что будет, ведь первый-то скрининг ничего не выявил! Родила я абсолютно здорового малыша всем на радость! И вот думаю, зачем придумали этот дурацкий второй скрининг? Чтобы нервы трепать беременным?
В связи с низкой информативностью старой схемы пренатальной диагностики ее решено было изменить. И в 2009 году вышел новый приказ № 808н, согласно которому биохимический скрининг второго триместра был ИСКЛЮЧЕН из схемы пренатальной диагностики!
Нет больше «тройного теста». Проводить его не нужно в связи с малой информативностью и большим процентом последующих необоснованных инвазивных вмешательств.
Однако некоторые женские консультации в нашей стране не располагают нужной информацией об изменениях порядка обследования беременных женщин с подозрением на наличие хромосомных аномалий и продолжают назначать «тройной тест». Повторяю: делать этого теперь не нужно!
Кроме того, согласно новому приказу № 808 от 2009 года сдвинуто время проведения УЗИ второго триместра с точки в 22-24 недели на более ранние сроки (20-22), чтобы в случае выявления аномалий у плода женщина имела возможность прервать беременность до 24 недели, то есть до того времени, когда плод считается жизнеспособным. Следующее УЗИ рекомендуется выполнять на сроках 32-34 недели беременности.
УЗ-признаками синдрома Дауна во втором триместре являются: нарушение формирования костей скелета, расширение воротникового пространства, наличие пороков сердца, расширение почечных лоханок, кисты сосудистого сплетения головного мозга. При их выявлении может быть принято решение о проведении инвазивных методик по диагностике синдрома Дауна и других хромосомных аномалий.
Но это еще не все нововведения в области пренатальной диагностики, осуществляемые в нашей стране. В настоящее время Россия в этом направлении приближается к мировым стандартам. Не верите? Расскажу об этом подробно.
Международный стандарт пренатальной диагностики FMF
В Европе в последние годы появилось новая отрасль – «медицина плода», которая занимается здоровьем малыша в утробе матери. Подготовка врачей пренатальной диагностики и их сертификация проводится в рамках программы Fetal Medicine Foundation (FMF), руководителем которой является профессор Кипрос Николаидес.
FMF занимается исследованиями в области медицины плода, диагностики аномалий его развития, выявления и лечения различных осложнений беременности, а также проводит обучение и сертификацию специалистов по проведению всех видов ультразвуковых исследований при беременности. Целью создания FMF является организация, внедрение и контроль качества стандартизированного обследования беременных женщин в первом триместре (11 – 14 недель) беременности.
Согласно международному стандарту FMF обследование в эти сроки должно включать:
–квалифицированное УЗИ плода в период между 11 и 14 неделями;
–определение биохимических параметров ХГЧ и PAPP-A.
Стандартизированное обследование FMF в первом триместре предусматривает как теоретическую и практическую подготовку врачей, проводящих УЗИ, так и дальнейшую проверку качества проводимых исследований. Одновременно осуществляется стандартизованное изучение материнской крови с гарантией высокого качества работы.
Процесс сертифицирования и учебный материал на курсах FMF приведён в соответствие с общепринятыми немецкими требованиями. Участники, выдержавшие теоретический и практический экзамены, сертифицируются через общество FMF-Deutschland, регистрируются как специалисты ультразвуковой диагностики и вносятся в Интернет-страницы как FMF-Deutschland, так и FMF Великобритании.
Сертификат для проведения ультразвукового исследования на сроках 11-14 недель беременности может быть оформлен только персонально на сертифицированное лицо. Сегодня сертификат FMF получили сотни отечественных специалистов УЗИ.





