Хроническая боль. Эффективная терапия, которая поможет отключить болевые ощущения

- -
- 100%
- +
Между тем иногда боль от хлыстовой травмы так и не проходит. Когда такое случается, диагностируют синдром хронической хлыстовой травмы. Во многих странах этот синдром приобрел характер эпидемии, и до 10 процентов потерпевших в аварии становятся инвалидами на всю жизнь.
Самое странное здесь то, что, как показали исследования, у синдрома хронической хлыстовой травмы нет никакой структурной основы[14]. Другими словами, тело выздоравливает, а боль по какой-то причине остается.
Группа исследователей решила, что ответ на эту медицинскую загадку можно найти в далекой Северной Европе. Литва – небольшая страна на берегу Балтийского моря, известная красивыми пейзажами и отличными баскетбольными командами (баскетбол там национальный вид спорта). Но вот чего вы не найдете в Литве, так это хронических хлыстовых травм. Там есть дороги, есть машины, которые регулярно врезаются сзади друг в друга, однако от хронической боли в шее никто не страдает.
Ученые обследовали сотни жертв аварий с наездом сзади и проследили за процессом их выздоровления. У многих пациентов сразу после аварии болела шея, однако год спустя их состояние ничем не отличалось от среднего по популяции.

Но если автомобильные аварии не вызывают хронические боли в шее, в чем же тогда кроется их причина?
Исследователи из Германии провели блестящий и немного безумный эксперимент, чтобы выяснить это[16]. Они набрали добровольцев для исследования автомобильных аварий. Участников сажали на водительское сиденье автомобиля, а сзади в него врезался другой автомобиль. Вот только на самом деле это было не так. Все было понарошку. Сами ученые называют это «плацебо-аварией».
Как можно инсценировать автомобильную аварию? Ученые разбивали бутылку, чтобы сымитировать звук удара при столкновении, а с помощью сложной системы шкивов и рампы автомобиль, в котором находились испытуемые, слегка дергался вперед. Фактического контакта с другой машиной не происходило, однако участники эксперимента были полностью убеждены, что в них врезались сзади.
Через три дня после инсценировки столкновения у 20 процентов участников появились боли в шее. Через четыре недели у 10 процентов из них симптомы сохранились. Боль была настоящей, но структурных повреждений в их теле не было. Им попросту неоткуда было взяться, ведь в их машину никто не врезался.

Литовцы этой веры не разделяли. Поскольку в их стране хроническая хлыстовая травма не была распространена, жертвам автоаварий в Литве даже в голову не приходило, что боль может сохраниться на столь долгое время. Вот она и проходила.
Каким же образом вера в возможность хронической хлыстовой травмы может привести к реальной хронической боли? Ответ на этот вопрос вы найдете в третьей главе, а пока скажу лишь, что наш мозг, очевидно, достаточно мощен и сложен, чтобы генерировать и поддерживать болевые ощущения. Это звучит парадоксально, поскольку кажется, что боль исходит от нашего тела, однако в действительности она является нейропатической и исходит от нашего мозга. И это отличная новость: если мозг способен вызывать у нас боль, то он способен и избавить нас от нее.
Больная спина и хроническая хлыстовая травма – это лишь два примера хронических заболеваний, зачастую вызываемых нейропатической болью. У меня в запасе есть истории и исследования о многих других видах боли, включая головную, боль в животе, в области таза, суставах, невралгию, синдром раздраженного кишечника, а также травмы от повторяющихся нагрузок. Я не стану вдаваться в детали о каждой из них, замечу лишь, что мы с моими сотрудниками успешно лечили их все с помощью терапии переработки боли.
В каждом случае пациенты испытывали физические симптомы, однако физическое лечение не помогало. Когда мы взялись не за тело, а за мозг, пациенты наконец смогли избавиться от своей боли. Это возвращает нас к Кейси – моему пациенту с болью в животе, ставшему героем передачи «Врачи».
Исцеление Кейси
Кейси и его семья сидели в моем кабинете, стараясь не обращать внимания на двух операторов в паре метров от них. Мама Кейси, сдерживая слезы, рассказала мне его историю. Она сказала:
– Мы перепробовали все. Лекарства, процедуры, операции… Ничего не помогло.
Я объяснил Кейси, в чем суть нейропатической боли: наш мозг создает очень реальные болевые ощущения даже при отсутствии травмы, – и добавил, что от этой боли можно избавиться. Кейси почувствовал проблеск надежды, и по его лицу потекли слезы.
– Мы все исправим, дружок, – сказала его мама, изо всех сил стараясь поверить в собственные слова.
Мы с Кейси встречались раз в неделю. Мы обсуждали, как развивается его боль и почему она не проходит. Я научил его элементам терапии переработки боли, и мы вместе тренировались их выполнять.
Четыре недели спустя он без боли размахивал бейсбольной битой в моем кабинете. Через шесть недель он уже бегал на полной скорости по коридору (к большому удивлению моих коллег).

Вскоре после этого он вернулся в школу, где ему было самое место. А еще его взяли центральным принимающим в школьную команду по бейсболу!
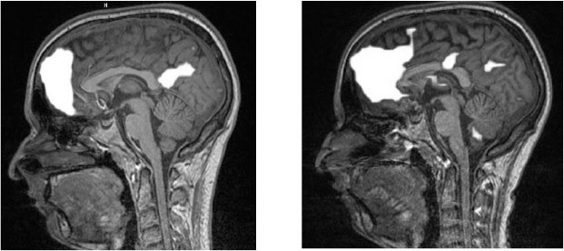
По просьбе продюсеров передачи «Врачи» мы сделали фМРТ мозга Кейси до начала лечения и по его окончании[17]. В медицинской литературе полно фМРТ-снимков людей, испытывающих боль разной интенсивности, однако никому в голову не пришло изучить, как выглядит мозг после излечения от хронической боли. Будут ли в мозге Кейси заметные изменения?

Мозговая активность Кейси до начала лечения (слева) и после его окончания (справа)
Несколько дней спустя мне позвонил радиолог, который проводил фМРТ Кейси.
– Это невероятно, – сказал он. – Разница между двумя снимками просто ошеломляющая.
Он сразу же мне их отправил.
По прихоти ток-шоу мы провели первое в мире фМРТ-исследование в области лечения хронической боли. Я смотрел на невероятные различия в снимках Кейси до и после лечения и думал: «Мозг этого парня может изменить мир».
Новое понимание боли
Снимки мозга Кейси поражали воображение. Они демонстрировали явные изменения в медиальной префронтальное коре (cortex praefrontalis), прилежащем ядре (nucleus accumbens) и передней островковой доле (anterior insula). У этих участков мозга две общие черты: все они звучат на латыни как заклинания из Гарри Поттера[18], и все они участвуют в обработке болевых ощущений[19].
Результаты Кейси выглядели заманчиво, но это был лишь единичный случай. Случайны ли эти изменения или терапия переработки боли действительно перестроила мозг Кейси? Мы знали, что с этим вопросом нам сможет помочь только один человек – всемирно известный нейробиолог Тор Вагер. За последние 10 лет произошла революция в нашем понимании боли, и Тор Вагер был в первых ее рядах.
На протяжении веков ученые рассматривали мозг как некий «черный ящик». Мы знали только основные принципы его работы: он получает сигналы от тела, он генерирует мысли и чувства, а иногда он «замерзает», если слишком быстро есть мороженое. Мы даже примерно представляли себе функции отдельных участков мозга. Тем не менее в основном мы знали лишь то, что это очень важный розовато-серый комочек у нас в голове.
Все изменилось с появлением технологии фМРТ. Благодаря снимкам фМРТ вроде тех, что были сделаны в случае Кейси, мы можем в точности увидеть, какие именно участки мозга задействуются в различных ситуациях. Впервые в истории мы смогли заглянуть вглубь этой сложной системы, что дало нам совершенно новое понимание боли. За последнее десятилетие были проведены тысячи фМРТ-исследований по различным аспектам боли. Нам еще предстоит очень многое узнать, однако мы уже сделали два важных открытия.
Во-первых, стало ясно, что хроническая боль кардинально отличается от кратковременной. Она иначе действует, иначе реагирует на лечение и даже затрагивает другие участки мозга[20]. Я расскажу об этом подробнее во второй главе.
Во-вторых, боль гораздо сложнее, чем мы думали изначально. В мозге не существует единого «центра боли». Исследования с применением фМРТ показали, что с болевыми ощущениями связано множество областей мозга. И когда я говорю «множество», я имею в виду множество.
Это возвращает нас к Тору Вагеру, который показал, насколько сложная у боли природа. Доктор Вагер проанализировал тысячи снимков мозга с помощью нейросети. Ему удалось обнаружить уникальные паттерны мозговой активности, возникающие, когда люди испытывают боль[21]. Эта «сигнатура боли» включает в себя 44 области мозга. Сорок четыре! Половина этих областей мозга участвует в усилении боли, а другая половина – в ее уменьшении.
Очевидно, мозг выполняет сложнейшую обработку информации, чтобы сгенерировать болевые ощущения, и никто не разбирается в этом лучше Тора Вагера. Мы сразу же отправили ему снимки мозга Кейси. В ответ он предложил нам невероятную возможность.
Боулдерское исследование боли в спине
По счастливой случайности доктор Вагер собирался начать новое исследование хронической боли в спине, и все участники должны были пройти фМРТ мозга до и после лечения. Доктор Вагер, впечатленный результатами Кейси, предложил добавить к исследованию еще одну группу, которая будет проходить лечение по нашей методике. Для нас это было отличным шансом, потому что рандомизированное контролируемое исследование с участием всемирно известного нейробиолога могло придать нашей терапии переработки боли серьезную научную достоверность. Проблема была лишь в том, что лаборатория доктора Вагера находилась в Колорадском университете в Боулдере, в тысяче миль от Лос-Анджелеса[22]. Мы ухватились за эту возможность.
Следующий год моей жизни прошел в водовороте путешествий. Я помогал проводить исследование боли в спине в Боулдере, одновременно продолжая лечить пациентов в Лос-Анджелесе и преподавать в Университете Южной Калифорнии. Я совершал четыре перелета в неделю. Каждую неделю. Бонусных миль, которые у меня накопились в процессе, хватило бы, чтобы преодолеть половину расстояния до Луны.
Исследовательская группа была как на подбор. Помимо самого доктора Вагера, были еще Зак, Лори и Джудит, которые делали снимки мозга участников. Доктор Говард Шубинер проводил медицинские консультации. А еще был человек, который правил бал, – Йони, 32-летний вундеркинд с умом Аристотеля и непринужденным хладнокровием Джеймса Дина. У нас с Йони сложились прекрасные рабочие отношения. Он был человеком практичным. Я был более… идеалистом.
Йони. Нам нужно определить цели нашего исследования, прежде чем мы начнем, чтобы оно было полностью объективным.
Я. Отлично.
Йони. Каждую неделю участники будут заполнять опросник КОБ (краткая оценка боли – стандартная форма для описания уровня боли по шкале от 0 до 10). Затем мы будем сравнивать их оценки в начале и в конце лечения, чтобы определить, удалось ли снизить уровень боли.
Я. Я хочу не просто снизить уровень их боли. Я хочу вообще избавить их от нее.
Йони. Ну, исследования хронической боли не дают статистики по «избавлению», потому что пациентов редко удается избавить от боли. Стандартный подход – это просто попытаться снизить уровень боль.
Я. Мы их излечим.
Йони. Хорошо…
Йони был настроен скептически (Йони всегда настроен скептически), но он согласился. Если к концу исследования средний балл боли у пациента снизится до 0 или 1 (это называется «без боли / почти без боли»), мы сможем считать, что он излечился.
Кристи, один из моих лучших терапевтов, отправилась вместе со мной в Боулдер для проведения лечения. Следующие 12 месяцев мы работали с пациентами, страдающими от хронических болей в спине. Они были из разных слоев общества, их возраст варьировался от 21 года до 70 лет. Но всех их объединяло одно – хроническая боль в спине, которая не поддавалась никаким медицинским вмешательствам. Пятьдесят пациентов были случайным образом распределены в нашу лечебную группу[23]
Конец ознакомительного фрагмента.
Текст предоставлен ООО «ЛитРес».
Прочитайте эту книгу целиком, купив полную легальную версию на ЛитРес.
Безопасно оплатить книгу можно банковской картой Visa, MasterCard, Maestro, со счета мобильного телефона, с платежного терминала, в салоне МТС или Связной, через PayPal, WebMoney, Яндекс.Деньги, QIWI Кошелек, бонусными картами или другим удобным Вам способом.
Примечания
1
Краудфандинг – привлечение небольших сумм, вносимых большим количеством людей. – Прим. ред.
2
…медицинского ток-шоу, которое выходит на канале CBS уже многие годы. – «Врачи» – удостоенное премии «Эмми» ток-шоу, в котором освещается широкий спектр вопросов медицины и здоровья. Транслируется в США и за границей компанией CBS Television Distribution и является спин-оффом передачи «Доктор Филл», которая, в свою очередь, спин-офф передачи «Шоу Опры Уинфри».
3
Требовалось что-то наглядное для зрителей… – Мы с Кейси появились в 74-м эпизоде девятого сезона передачи «Врачи», который вышел в эфир в январе 2017 года.
4
…томография, которая показывает активность головного мозга. – Функциональная магнитно-резонансная томография (фМРТ) регистрирует изменения кровотока в мозге. Когда какая-то часть мозга напряженно работает, к этой области приливает больше крови, и фМРТ показывает, какие участки мозга активны. Мы надеялись, что увидим другую картину активности в мозге Кейси, когда он избавится от хронической боли.
5
Только в США более 50 миллионов взрослых страдают от хронической боли. – Это число получено от Центров по контролю и профилактике заболеваний, которые проанализировали данные Национального анкетирования по вопросам здоровья за 2016 год и установили, что от хронической боли страдают чуть более 50 миллионов взрослых американцев, или 20,4 процента населения. Центры по контролю и профилактике заболеваний определяют хроническую боль как «боль, которая наблюдается большую часть дней или каждый день в течение последних шести месяцев».
Dahlhamer, James, Jacqueline Lucas, Carla Zelaya, Richard Nahin, Sean Mackey, Lynn DeBar, Robert Kerns, Michael Von Korff, Linda Porter, and Charles Helmick. “Prevalence of chronic pain and highimpact chronic pain among adults – United States, 2016.” Morbidity and Mortality Weekly Report 67, no. 36 (2018): 1001.
6
По всему миру их число оценивается в 1,2 миллиарда! – Мировые оценки хронической боли сильно разнятся. Всемирная организация здравоохранения (ВОЗ) провела опрос пациентов в 15 регионах Азии, Африки, Европы и Америки. Обнаружилось, что в среднем 22 процента взрослых пациентов страдали от так называемой постоянной боли, то есть боли, которая «присутствовала большую часть времени в течение шести месяцев или более за предыдущий год». В результаты включали значительную боль только в том случае, если пациент обращался за медицинской помощью, принимал лекарства более одного раза или «сообщал, что боль сильно мешала жить или вести какую-либо деятельность».
Gureje, Oye, Michael Von Korff, Gregory E. Simon, and Richard Gater. “Persistent pain and wellbeing: A World Health Organization study in primary care.” JAMA 280, no. 2 (1998): 147–151.
На момент написания этой книги население мира оценивается в 7,7 миллиарда человек, из которых примерно 5,5 миллиарда – взрослые; 22 процента взрослого населения дают нам 1,2 миллиарда хронически страдающих от боли людей во всем мире.
7
В Питтсбургском университете проводилось исследование гипноза и боли. – В этом исследовании использовали горячий зонд (48 градусов по Цельсию), чтобы вызвать боль у добровольцев. Функциональная магнитно-резонансная томография показала активность в таламусе, передней поясной коре, передней островковой доле, теменной и префронтальной коре. Считается, что эти области мозга являются частью сети, отвечающей за ощущение боли. Когда участники испытывали гипнотически вызванную боль (без горячего зонда), фМРТ показывала аналогичную картину активности мозга.
Derbyshire, Stuart W. G., Matthew G. Whalley, V. Andrew Stenger, and David A. Oakley. “Cerebral activation during hypnotically induced and imagined pain.” Neuroimage 23, no. 1 (2004): 392–401.
8
Боль в спине – наиболее распространенная форма хронической боли… – Национальный центр статистики здравоохранения в ходе Национального анкетирования по вопросам здоровья в 2017 году получил следующие результаты:
⏷ боль в пояснице – 28 процентов;
⏷ мигрени или сильные головные боли – 15,5 процента;
⏷ боль в шее – 14,9 процента;
⏷ боль в лице или челюсти – 4,4 процента.
National Health Interview Survey, 2017. Hyattsville, Maryland, 2018. Hoy, Damian, Lyn March, Peter Brooks, Fiona Blyth, Anthony Woolf, Christopher Bain, Gail Williams, et al.
“The global burden of low back pain: Estimates from the Global Burden of Disease 2010 study.” Annals of the Rheumatic Diseases 73, no. 6 (2014): 968–974.
9
…многие из наиболее распространенных операций на позвоночнике просто неэффективны. – Это исследование показало, что у пациентов, перенесших дискэктомию, результаты не лучше, чем у тех, кому операцию не делали:
Thomas, Kenneth C., Charles G. Fisher, Michael Boyd, Paul Bishop, Peter Wing, and Marcel F. Dvorak. “Outcome evaluation of surgical and nonsurgical management of lumbar disc protrusion causing radiculopathy.” Spine 32, no. 13 (2007): 1414–1422.
Этот обзор четырех исследований показал, что операция по сращиванию поясничных позвонков не более эффективна, чем лечение нехирургическими методами:
Mirza, Sohail K., and Richard A. Deyo. “Systematic review of randomized trials comparing lumbar fusion surgery to nonoperative care for treatment of chronic back pain.” Spine 32, no. 7 (2007): 816–823.
Этот обзор четырех популярных ортопедических операций показал, что ни одна из них не эффективнее плацебо в виде «фиктивных» операций в снижении боли и ограниченности движений:
Louw, Adriaan, Ina Diener, César Fernández-de-las-Peñas, and Emilio J. Puentedura. “Sham surgery in orthopedics: A systematic review of the literature.” Pain Medicine 18, no. 4 (2017): 736–750.
10
…после операции боль настолько часто не проходит, что для этого даже придумали специальное название… – Синдром неудачной операции на позвоночнике – очень распространенный исход спинальной хирургии. Точная степень распространенности зависит от типа операции и от того, кого вы спрашиваете (пациента или хирурга).
В одном исследовании, посвященном операции по сращиванию поясничных позвонков, было установлено, что 46 процентов пациентов испытывают после операции такую же или более сильную боль. Другие исследования показали, что доля неудачных операций составляет от 19 до 36 процентов.
В данном обзоре приводится информация о синдроме неудачной операции на позвоночнике и обсуждаются показатели неудач при различных операциях:
Chan, Chinwern, and Philip Peng. «Failed back surgery syndrome». Pain Medicine 12, no. 4 (2011): 577–606.
11
…у 64 процентов людей, не испытывающих боли в спине, наблюдаются протрузии, грыжи и дегенерация межпозвоночных дисков. – Исследование показало, что у 64 процентов испытуемых без болей в спине был по крайней мере один диск с отклонениями, а у 38 процентов – более одного!
Jensen, Maureen C., Michael N. Brant-Zawadzki, Nancy Obuchowski, Michael T. Modic, Dennis Malkasian, and Jeffrey S. Ross. “Magnetic resonance imaging of the lumbar spine in people without back pain.” New England Journal of Medicine 331, no. 2 (1994): 69–73.
12
Никакой связи между структурными нарушениями и симптомами испытуемых обнаружить не удалось. – Kleinstück, Frank, Jiri Dvorak, and Anne F. Mannion. “Are ‘structural abnormalities’ on magnetic resonance imaging a contraindication to the successful conservative treatment of chronic nonspecific low back pain?” Spine 31, no. 19 (2006): 2250–2257.
13
…группа ученых из Северо-Западного университета взяла курс на новый рубеж – предсказание боли. – Baliki, Marwan N., Bogdan Petre, Souraya Torbey, Kristina M. Herrmann, Lejian Huang, Thomas J. Schnitzer, Howard L. Fields, and A. Vania Apkarian. “Corticostriatal functional connectivity predicts transition to chronic back pain.” Nature Neuroscience 15, no. 8 (2012): 1117–1119.
14
…у синдрома хронической хлыстовой травмы нет никакой структурной основы. – В этой статье обсуждается отсутствие структурных повреждений при хронической хлыстовой травме и уровни ее распространенности в разных странах: Ferrari, Robert, and Anthony S. Russell. “Epidemiology of whiplash: An international dilemma.” Annals of the Rheumatic Diseases 58, no. 1 (1999): 1–5.
15
Хронической хлыстовой травмы в Литве попросту не существует. – В исследовании, проведенном в Литве, почти половина участников сразу после аварии испытывала ту или иную боль: 10 процентов жаловались на боль в шее, 19 процентов – на головную боль, а еще 18 процентов – на боль в шее и головную боль. Однако через год процент участников, сообщавших о боли, снизился до того же уровня, что и среди литовцев, никогда не попадавших в аварию.
Obelieniene, Diana, Harald Schrader, Gunnar Bovim, Irena Misevičiene, and Trond Sand. “Pain after whiplash: A prospective controlled inception cohort study.” Journal of Neurology, Neurosurgery, and Psychiatry 66, no. 3 (1999): 279–283.
16
Исследователи из Германии провели блестящий и немного безумный эксперимент… – Castro, W. H. M., S. J. Meyer, M. E. R. Becke, C. G. Nentwig, M. F. Hein, B. I. Ercan, S. Thomann, U. Wessels, and A. E. Du Chesne. “No stress – no whiplash?” International Journal of Legal Medicine 114, no. 6 (2001): 316–322.
17
…мы сделали фМРТ мозга Кейси до начала лечения и по его окончании. – Через несколько месяцев после нашего первого появления мы с Кейси снова попали в передачу «Врачи» для повторного выступления (сезон 9, эпизод 162). В этом выпуске Кейси рассказывает о своем выздоровлении и мы сравниваем результаты его фМРТ до и после лечения.
18
…все они звучат на латыни как заклинания из Гарри Поттера… – Неудивительно, потому что заклинания из Гарри Поттера тоже основаны на латыни. Так, anterior insula означает «передняя часть острова» на латыни, и мне нравится представлять, что если бы Гарри Поттер произнес это заклинание, то оно отправило бы меня на гавайский пляж.
19
…все они участвуют в обработке болевых ощущений. – Bastuji, Hélène, Maud Frot, Caroline Perchet, Koichi Hagiwara, and Luis Garcia-Larrea. “Convergence of sensory and limbic noxious input into the anterior insula and the emergence of pain from nociception.” Scientific Reports 8, no. 1 (2018): 1–9; Harris, Haley N., and Yuan B. Peng. “Evidence and explanation for the involvement of the nucleus accumbens in pain processing.” Neural Regeneration Research 15, no. 4 (2020): 597.
20
…даже затрагивает другие участки мозга. – Apkarian, A. Vania, Javeria A. Hashmi, and Marwan N. Baliki. “Pain and the brain: Specificity and plasticity of the brain in clinical chronic pain.” Pain 152, no. 3 suppl. (2011): S49.
21
…уникальные паттерны мозговой активности, возникающие, когда люди испытывают боль. – Woo, Choong-Wan, Liane Schmidt, Anjali Krishnan, Marieke Jepma, Mathieu Roy, Martin A. Lindquist, Lauren Y. Atlas, and Tor D. Wager. “Quantifying cerebral contributions to pain beyond nociception.” Nature Communications 8, no. 1 (2017): 1–14.







