Книга про твой мозг

- -
- 100%
- +

Иллюстратор Chat.openai Нейросеть
© Владислав Гринюк, 2024
© Chat.openai Нейросеть, иллюстрации, 2024
ISBN 978-5-0062-5079-6
Создано в интеллектуальной издательской системе Ridero
Здравствуйте, друзья! Меня зовут Гринюк Владислав, я врач-невролог, кандидат медицинских наук, преподаватель высшей школы.
Еще немного обо мне:
– стаж работы неврологом более 11 лет,
– научный сотрудник медицинского университета,
– автор научных статей,
– специалист в области диагностики и лечения когнитивных нарушений.
В своей книге я рассказываю о том, какие состояния могут угрожать вашему когнитивному здоровью, а также даю советы, как этих состояний избежать и сохранять ясность мышления в любом возрасте. Приятного чтения и будьте здоровы!
САМЫЙ УНИКАЛЬНЫЙ ОРГАН НАШЕГО ТЕЛА
В первую очередь немного расскажу о нашем мозге, как он функционирует и от чего зависят когнитивные способности.
Если мы посмотрим на наш организм, то увидим, что часть органов дублируются: почки, легкие, яичники, надпочечники, щитовидные и паращитовидные железы. Такое дублирование показывает нам, насколько важны для нас те или иные органы. И, казалось бы, головной мозг – это один из самых важных органов. Но в данном случае никакого дублирования мы не видим. Наоборот, во многом у каждого полушария разные специализации. Но зато мозг имеет уникальные виды защиты, которые недоступны другим органам.
Во-первых, это единственный орган нашего организма, который находится внутри костной структуры, что обеспечивает защиту от травм.
Также голова находится на самом подвижном участке позвоночного столба – шейном отделе позвоночника. Большое количество условных рефлексов позволяет мышцам шеи выполнять очень быстрые движения головой, убирать голову в случае опасности.
Кроме того, самый лучший зрительный контроль осуществляется за предметами, находящимися перед черепом, что также уменьшает вероятность травмы.
Второй момент: мозг защищен от гипоксии, он получает 15% кровоснабжения нашего тела, при этом вес мозга, как правило, составляет всего 2% от массы всего тела. Мозгу требуется 3—4 мл кислорода и 5г глюкозы на 100г вещества мозга в минуту, он кровоснабжается сразу четырьмя крупными артериями, при этом, если сужение артерий не превышает 70%, например, на фоне атеросклероза, кровоток головного мозга никак не меняется. Одновременно с этим, нервные клетки способны выдерживать значительные колебания кровоснабжения. Но и это не все. Артерии внутри головного мозга особенные, они способны поддерживать постоянный кровоток при системном артериальном давлении от 50 до 170 мм. рт. ст. Кроме всего прочего, части нашего мозга во время активной работы могут кровоснабжаться в 2—3 раза сильнее, чем соседние области, например, височные области в момент обучения, области лобной коры во время решения задач. Мозг также защищен энергетически: несмотря на высокий уровень кислорода и доступность глюкозы в крови, наши нервные клетки способны метаболизировать эту глюкозу без помощи инсулина. Но этого им мало, они еще способны получать энергию из молочной кислоты, которая синтезируется в мышцах во время физической работы. То есть после физической работы все ткани нашего организма могут испытывать некоторый энергетический дефицит, но это не относится к нашим нервным клеткам. Они, наоборот, получают дополнительный источник энергии.
Кроме всего перечисленного ранее, у мозга еще и особая иммунная система. В то время, как весь организм будет страдать от системного воспаления на фоне ОРВИ или других заболеваний, за гематоэнцефалическим барьером будет полный штиль. Гематоэнцефалический барьер – это особенная система иммунной защиты нервной системы. Даже при гнойном заболевании кожи, бронхите или пневмонии, как правило, не возникает воспаления в ликворе. (Ликвор – это жидкость, которая циркулирует внутри нервной системы.) Итак, защита от физических повреждений, защита от нарушения кровообращения, защита от недостатка энергии и инфекций. Кроме этого, вроде банально, но защита от ожирения. Вы не ослышались: внутри черепа не накапливается подкожно-жировая клетчатка. Жировые отложения нарушают работу нашей печени, почек, сердца, я имею в виду, механически, но они никак не вредят нашему мозгу, просто в голове нет места, где способен накопиться жир.
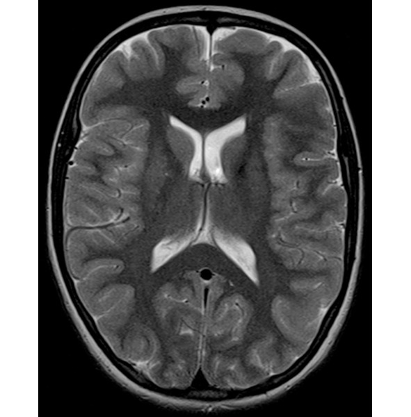
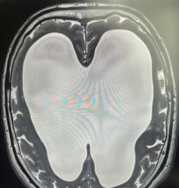
Помимо всего этого, у мозга есть еще одна потрясающая способность – способность сжиматься без какой-либо травмы вещества мозга, если в голове постепенно уменьшается полезный объем. На фото вы видите МРТ человека с нормотензивной гидроцефалией (стр.7), а рядом обычное МРТ (стр.6).


При нормотензивной гидроцефалии объем желудочков мозга увеличивается постепенно. Вы видите, насколько мало места в черепе осталось непосредственно для головного мозга, примерно в два раза меньше нормального объема. И вот этот человек с такими проблемами в голове ходил на работу, начал отмечать замедленность мышления, снижения скорости обработки информации, поэтому обратился к неврологу. Нейрохирурги выполнили ему операцию, после которой желудочки мозга стали нормального размера. И он вновь стал думать так же быстро и великолепно запоминать информацию. И за несколько месяцев сжатия в его мозге не погибли клетки, там не возникло участков некроза, видимых на МРТ. Представьте, если бы мы сдавили мышцы бедра или предплечья. Уже через несколько часов был бы некроз мышц, а здесь несколько месяцев – и без последствий. Таким образом, компенсаторная способность к уменьшению объема у мозга совершенно поражает воображение.
Почему такое особенное отношение нашего организма к мозгу? Дело в том, что слишком много поставлено на карту. При нарушении функционирования мозга, например, при отеке может остановиться сердце, при поражении волокон, идущих от коры к конечностям, вы не сможете двигать руками или ногами, при поражении верхнешейного отдела спинного мозга – не сможете дышать. Поэтому организм так тщательно оберегает этот орган.
Безусловно, у такой системы есть и определенные недостатки.
Во-первых, очень большие клетки. Вы можете померить длину самой длинной вашей клетки, это расстояние от 12 грудного позвонка (к нему крепится последнее ваше ребро) до большого пальца ноги. Длина этих клеток точно больше метра. Представьте, длина одной клетки на 40 см больше длины ваших штанов. Но это не все. У одного нейрона взрослого человека в среднем 10 000 связей с другими нервными клетками. Каждую из таких клеток обслуживают сотни, а иногда и тысячи клеток-помощников. Из-за всего этого долгое время считалось, что нервные клетки не восстанавливаются. Понятно, что процесс роста новых нервных клеток происходит достаточно медленно и высокоспециализированная нервная клетка не может разделиться на две таких же. Есть особенные области головного мозга, в которых образуются нервные клетки: считается, что это гиппокамп и область вокруг желудочков мозга. Запомните эти названия, я специально написал их. Дело в том, что во многих исследованиях по когнитивному восстановлению измеряют толщину гиппокампа, а область вокруг желудочков мозга сильнее всего страдает при сосудистом поражении мозга (об этом буду рассказывать ниже).
Друзья, каждый день у нас образуется около 1500 тысяч новых, свежих нервных клеток, готовых приступить к работе. Кроме того, не все нервные клетки способны выполнять только сугубо определенные функции. Большая часть нашего мозга может менять свою специализацию. Это позволяет быстро восстановиться после инсульта или травмы, не ждать, пока вырастет «молодежь», а перестроить работу уже имеющихся клеток. Связи между нервными клетками образуются и разрушаются каждый день, это и определяет пластичность нашей нервной системы. Способность перестраиваться.
Что мы имеем в итоге? Самый защищенный орган нашего организма, способный к регенерации.
Почему же так много людей сталкиваются с нарушением памяти и внимания?
Итак, каждый день образуется около 1500 новых нервных клеток. Казалось бы, неплохо: 550 000 в год, за 50 лет – 25 000 000. Однако у нас 100 миллиардов нервных клеток, и 25 миллионов по сравнению с 100 миллиардами – это очень мало, то есть за всю жизнь человека не произойдет даже однократного обновления. Конечно, число скорее всего пока сильно занижено, это связано со сложностью подсчета. Но, тем не менее, сразу понятно, что оно значительно ниже скорости деления остальных клеток. Даже самой старой клетке кости всего 12 лет, а остальным гораздо меньше. Таким образом, нам необходимо стараться не убить наши 100 миллиардов супер выносливых и ко всему привыкших нейронов.
Почему же не всем это удается? (Кстати, маленькая ремарка: большинству все же, к счастью, удается.) Деменцией болеют далеко не 100% пожилых людей, примерно 10—15% из них. И замечу, в большинстве своем проблемы возникают после 50—60 лет. В принципе, долгое время мозг работает нормально, несмотря на попытки человека его повредить.
Есть несколько основных причин снижения памяти и внимания, и самая частая из них – это нарушение использования своего тела, то есть осознанное или не совсем осознанное, но целенаправленное повреждение своего мозга. Очень интересно, что решения, которые приводят к повреждению клеток головного мозга, генерирует сам головной мозг. Потом он управляет телом, чтобы оно долгое время исполняло действия, приводящие к этому повреждению. Получается, в каком-то смысле, это даже элемент суицида.
Другая проблема кроется в генетике. На данный момент в России можно выполнить практически полный спектр генетических анализов, но делаются они достаточно редко, основная проблема – это отсутствие понимания пациентов и иногда врачей, что делать с этими анализами. Ведь наличие у человека гена – хорошего или плохого – не означает, что организм будет использовать этот ген. Зачем же тогда делать анализ? Или другой вариант, некоторым людям в голову может прийти такая мысль: «если генетический анализ окажется положительным, значит, на роду написано, ничего не изменить, зачем тогда его сдавать и пытаться бороться с судьбой». Разумеется, и первый и второй подход неверны. Знание дефекта позволяет действовать на опережение и существенно заранее диагностировать проблему. Даже не болезнь, а проблему. Мы не знаем всех факторов, которые приводят к проявлению патологического гена, но многие факторы уже известны, и возможности убрать часть из них есть у каждого человека. Также генетический анализ позволяет определить склонность к тромбозам или чувствительность к плесени. Большинство людей не чувствительны к плесени, но часть людей с определенным геном могут от нее страдать. Поэтому генетический анализ для них позволит начать профилактику.
Ну и самое важное: болезнь Альцгеймера начинается за 15—20 лет до начала симптомов, и у нас есть методы, позволяющие диагностировать данное заболевание на ранней стадии. Самая точная методика – это измерение маркеров данного заболевания в жидкости, которая омывает мозг. Но для этого нужно делать люмбальную пункцию – прокол в области поясницы. Просто так доктора это исследование не делают, но, если у вас положительный ген APOE4, тогда выполнение анализа целесообразно.
Итак, давайте разберем, что необходимо нашему мозгу для сохранения численности нейронов?
СОН

Друзья, что происходит в нашей голове во время сна? Для чего он нужен? Сколько необходимо спать?
Как я уже сказал, у наших нервных клеток очень много помощников, все они выполняют свою функцию. Микроглия обеспечивает иммунный надзор, олигодендроциты улучшают проведение импульсов по отросткам нервных клеток. И есть клетки – астроциты, которые помогают нашим нервным клеткам формировать новые синапсы, стимулируют гибель поврежденных нервных клеток, секретируют факторы роста нервов и неройгенеза. Именно за счет упорядоченного образования новых связей между нервными клетками происходят процессы запоминания информации и освоения нами новых навыков. Наиболее активно нейрогенез происходит во сне. Во время сна происходит упаковывание информации определенным образом, чтобы мы могли легче воспроизвести необходимую информацию, кроме того, астроциты отшлифовывают нейросети, убирают лишние отростки нервных клеток, оставляя только самые быстрые и эффективные связи. И утром после сна вы можете более активно использовать информацию или навык, освоенный накануне.
Также, сон это – состояние, во время которого амилоидный белок выводится из головного мозга. Это белок, который нужен нашему мозгу для обезвреживания различных раздражающих факторов. В бляшках амилоидного белка находят вирусы и различные бактерии. Но если амилоидного белка становится много, память ухудшается. На данный момент амилоидный белок – это основная причина развития болезни Альцгеймера, а болезнь Альцгеймера – это самая частая причина деменции, около 8% людей после 65 лет страдают данным заболеванием.
Многие люди испытывают проблемы со сном. По данным российских исследований, это от 9 до 15% граждан. Кто-то не может заснуть, другие люди часто просыпаются. У большинства людей (80—90%) данные нарушения связаны с нарушением гигиены сна. В чем же состоит гигиена сна?
Время нахождения в постели должно быть не более 8 часов. Время нахождения в постели – это не то время, которое вы непосредственно спите, это время, когда вы находитесь в кровати. Вы можете не спать, если у вас бессонница или тревога, много раз проснуться, но по истечении этого времени необходимо встать и не ложиться до следующего вечера. Время нахождения в кровати для всех разное. Начать лучше с такого графика сна: 6 или 7 часов в сутки с понедельника по пятницу и 8 часов в сутки в субботу и воскресенье. Не бойтесь, что вначале вы будете спать немного меньше, это необходимо для формирования дефицита сна, который поможет вам восстановить фазы сна.
Какое время суток необходимо отвести для сна? Наиболее удобное для вас. Разумеется, наши циркадные ритмы зависят от солнечного света: когда темнеет, наш мозг начинает готовить организм ко сну, идеально ложиться до полуночи, но, если у вас сбит режим сна и бодрствования, вы можете ложиться в комфортное для вас время, так вы быстрее будете засыпать.
Физическая активность помогает восстановить здоровый сон, поскольку во время физической нагрузки лучше вырабатываются факторы, ускоряющие рост нервных волокон и деление нервных клеток. Кроме того, при сидячей работе за компьютером, за рулем, за кассой, за прилавком возникает много мышечных спазмов, застой лимфы в нижних конечностях, в области таза, в шейно-воротниковой зоне, что часто доставляет физический дискомфорт и мешает сну. Физическая нагрузка позволяет убрать спазмы и венозный застой крови. Также, чаще всего человеку приходится на работе запоминать информацию, анализировать, считать, в результате больше устают нейроны теменно-височной зоны, в то время как при физической нагрузке в большей степени задействованы лобная кора и мозжечок. Тем самым, регулярные занятия спортом позволяют снять когнитивное напряжение и способствуют нормализации сна. Поэтому за 2—3 часа до сна 30-40-минутная прогулка или зарядка поможет вам крепче заснуть.
Прием пищи. Еда нас в какой-то степени будит: те гормоны, которые будут выделяться для переваривания ужина, особенно если он был плотным, в первые несколько часов будут нарушать сон. Зато когда пища будет находиться в тонком кишечнике – через 2—3 часа после еды, напротив, сон будет лучше. Поэтому ужин должен быть не позже, чем за 2 часа до сна.
Следующий пункт гигиены сна – это действия, которые необходимо предпринять в ситуации, если вы долго не можете заснуть, когда легли спать или проснулись ночью. Вам необходимо встать с кровати, сесть в кресло, почитать книгу или послушать спокойную музыку, а когда вам захочется спать – снова ложитесь. Вы спросите, что делать, если не спали всю ночь, а только сидели и читали. Ответ предсказуем: нужно приступить к вашим привычным делам, как только время нахождения в кровати истечет. Это нужно для формирования дефицита сна. Если вы не выспались ночью, сможете лучше заснуть на следующий день.
Важный элемент гигиены сна – это использования кровати по назначению, то есть для секса и сна. Вы не должны заниматься посторонними делами на кровати, на которой вы спите. Не нужно на ней есть, работать, сидеть и смотреть кино. Тогда у вас вырабатывается своего рода условный рефлекс: если легли на свою кровать, значит, пора спать.
И крайне важно избегать дневной сон. С возрастом организм становится более совершенным и поэтому синтезирует гормоны, необходимые для сна в течение вашего бодрствования достаточно равномерно. То есть примерно за 16 часов гормонов будет достаточно для качественного сна. И если вы бодрствовали 8 часов, затем поспали 1 час, за следующие 8 часов не синтезируется достаточное количество гормонов, и сон будет короче. Возвращаясь к пункту с дефицитом сна. Если вы не спали ночью, поскольку не смогли уснуть, днем ни в коем случае не ложитесь. А вот если вы не удержались и поспали днем, не удивляйтесь, что ночной сон будет менее продолжительным.
Ну и бич современной действительности – это гаджеты, телевизор и компьютер – их необходимо исключить за 2 часа до сна. Дело в том, что данные гаджеты представляют собой источники синего спектра света, который частично имитирует солнечный свет, поэтому если за 2 часа до сна вы работаете с компьютером или что-то смотрите на экране, вам будет сложно заснуть в первые 2 часа. Сон перед включенным телевизором так же вреден, поскольку глаза способны улавливать свет через закрытые веки, и, таким образом, даже если вас утомил телевизор и вы заснули, то в течение ночного сна, как правило, у вас будет больше пробуждений.
Кроме гаджетов к нарушению засыпания могут приводить лампы дневного света, можно либо их заменить на лампы накаливания, либо за 2 часа до сна начать носить антибликовые очки с синими стеклами, они будут убирать синий спектр света и ваш гипоталамус будет готовить тело ко сну.
Уменьшение стрессовых ситуаций, переживаний, ссор в вечернее время.
Сказать легко, а как это сделать? Ведь наши эмоции слабо зависят от нас. На самом деле, есть методики, которые позволяют значительно снизить уровень тревоги. Это когнитивно-поведенческая психотерапия и медитация осознанности. Какую методику выбрать для себя, зависит от вас. Но точно необходимо овладеть одной из данных методик, чтобы контролировать уровень стресса. Все зависит от вашей склонности. Когнитивно-поведенческая психотерапия – это работа с автоматическими мыслями. Она обязательно осуществляется письменно, занимает примерно 40 минут в день. Медитация осознанности – это концентрация внимания на определенном ощущении вашего тела или части вашего тела. На медитацию осознанности уходит тоже около 40 минут ежедневно, но ее можно эффективно встраивать в вашу повседневную жизнь.
Важно знать еще одну особенность: если вы проснулись на час-полтора раньше, чем запланировали, и чувствуете, что вы выспались, не нужно лежать и пытаться заснуть. Необходимо встать и приступить к вашей дневной активности. Почему нельзя засыпать на несколько таких приятных минут? Дело в том, что для того, чтобы проснуться, нужны определенные гормоны, которые синтезируются во время сна. Если вы уже проснулись, чувствуете, что отдохнули, значит, эти гормоны уже выделились, и если вы заснете на несколько минут, ваши гормоны, необходимые для сна, снизят активность гормонов, необходимых для бодрствования. За тот час, который вы поспите, не успеет синтезироваться необходимое количество гормонов бодрствования и, таким образом, вы проснетесь через час менее свежим, чем в первый раз, хотя вроде проспите дольше.
Кажется, зачем всем этим заниматься, если можно выпить таблетку и сразу спать крепко и долго? Дело в том, что на фоне фармакотерапии нарушаются фазы сна. Долго не означает эффективно. Если вы потратите примерно 2 месяца времени на гигиену сна, у вас получится восстановить ваш сон, это уменьшит риск снижения когнитивных функций, гипертонической болезни, заболеваний сердца, ожирения. Не нужно думать, что само пройдет или восстановится. Те проблемы, которые связаны с нарушением режима или поведения, не проходят сами собой. Представьте: если человек имеет лишний вес, поскольку ест слишком много еды, и он будет думать, что похудеет сам собой через какое-то время, если будет вести тот же образ жизни. Любой человек скажет, что он мыслит не рационально, не логично и ему нужно поменять образ жизни. Так же и со сном, гигиена сна – это обязательный и самый первый шаг, который может сделать каждый. Эффективность гигиены сна в лечении бессонницы составляет 70—80%.
Длительность применения гигиены сна, если вы ее проводите без консультации врача, должна быть примерно 4 недели. Если за это время сон не нормализовался, необходима консультация невролога.
Другое очень распространенное заболевание – это апноэ сна. Заболевание встречается очень часто: в популяции оно есть у 2—7% человек, это значит, что из 100 человек, минимум 2 человека страдают от апноэ сна. Апноэ – это кратковременные остановки дыхания во время сна. Во время этих пауз снижается концентрация кислорода в крови, это вызывает гипоксию, нарушает обмен веществ, нарушает фазы сна. Чаще всего (в 90% случаев) встречается обструктивное апноэ сна. Основная причина обструктивного апноэ сна заключается в сужении верхних дыхательных путей. У человека происходит сокращение диафрагмы, но из-за сужения верхних дыхательных путей вдоха не происходит. Сужение верхних дыхательных путей чаще всего связано с избыточным весом. Что, собственно, и подтверждает статистика: у пациентов с ожирением частота встречаемости обструктивного апноэ сна составляет 77%. Примерно в 3 раза чаще этим заболеванием страдают мужчины.
Интересно, что лишний вес и апноэ сна – это коморбидные, тесно связанные между собой заболевания. Как я уже сказал выше, у людей с ожирением риск апноэ возрастает в 10 раз, это связано с тем, что подкожно-жировая клетчатка откладывается в области верхних дыхательных путей и суживает их просвет, в связи с этим увеличивается риск апноэ. В то же время, когда у человека возникает апноэ, он становится менее активным, поскольку просыпается неотдохнувшим, часто отмечает дневную сонливость, скорость метаболизма у него снижается, за счет этого снижается физическая активность. Кроме этого, повышается концентрация гормона, который увеличивает тягу к пище, и снижается концентрация гормона, который снижает тягу к пище. Все это увеличивает скорость набора веса – что подтверждают клинические исследования: у людей с избыточным весом и с апноэ сна скорость набора веса значительно выше, чем у пациентов с таким же весом, но без апноэ сна.
Как заподозрить у себя апноэ сна? Практически всегда апноэ сна сопровождает храп.
Вы можете спросить своего близкого человека, храпите вы или нет и есть ли у вас эпизоды остановки дыхания во сне. Это длительные паузы между эпизодами ровного дыхания. Можно также записать свой храп на аудиозапись в телефоне или воспользоваться фитнес-браслетом, который может померить сатурацию кислорода в крови (современные браслеты также могут примерно определить фазы сна).
Кроме этого, нужно обратить внимание на следующие симптомы:
– эпизоды нехватки воздуха во время сна, которые заставляют вас просыпаться среди ночи,
– утренние головные боли,
– утренние эпизоды повышения давления,
– ощущение утренней усталости, как будто вы совсем не спали и уже проснулись уставшим, хотя вы спали достаточное количество времени.
Что необходимо делать, если вы обнаружили признаки апноэ?
Необходимо обратиться к сомнологу и выполнить полисомнографию. Это исследование, которое позволяет установить тяжесть апноэ, насколько частые и насколько продолжительные у вас дыхательные паузы. А также узнать, первичное это апноэ или обструктивное. Зачем вам это устанавливать? Дело в том, что апноэ устраняется очень просто: есть аппараты СИПАП, которыми вы пользуетесь во время сна. За счет использования этих аппаратов вы полностью убираете риски апноэ и гипоксии. Это:
– уменьшает скорость набора веса,
– уменьшает вероятность развития когнитивных нарушений,
– нормализует артериальное давление, если оно было связано с апноэ,
– существенно снижает риск развития нарушений ритма сердца.
И, кроме того, полностью убирает риск остановки дыхания во сне и последующей внезапной смерти.



