- -
- 100%
- +
Festlegung der Grenzwerte für Resistenz
Grenzwerte für die klinische Definition der Resistenz werden für Europa von EUCAST (European Committee on Antimicrobial Susceptibility Testing) festgelegt10. Sie können von Empfehlungen anderer Organisationen, wie BSAC (British Society for Antimicrobial Chemotherapy)11 oder CLSI (Clinical & Laboratory Standards Institute, US-Organisation)12, abweichen.
Die unterschiedlichen Grenzwerte können zur Folge haben, dass Erreger, die nach EUCAST als resistent eingestuft werden, nach CLSI als empfindlich gelten können. Daher sind Empfindlichkeitsdaten, z. B. aus den USA, nicht ohne weiteres mit europäischen Daten vergleichbar.
Klinische Resistenz: Der Erreger wird unter der Normdosierung weder gehemmt noch abgetötet, auch wenn er mikrobiologisch als empfindlich eingestuft worden ist, da die Konzentrationen zu seiner Hemmung am Ort der Infektion klinisch selbst unter hoher Dosierung nicht zu erzielen sind.
Resistenztypen
Multi-Resistenz: Ein Erreger wird als multiresistent definiert, wenn er mindestens gegen drei Antibiotikaklassen resistent ist.
Hoch-Resistenz: Diese liegt vor, wenn der Erreger gegen alle untersuchten Antibiotika, mit Ausnahme von ein bis zwei Antibiotikaklassen, resistent ist.
Pan-Resistenz: Der Erreger ist gegen alle verfügbaren Antibiotikaklassen resistent.
Strategien zu Verhinderung der Zunahme von Antibiotikaresistenz
Der wichtigste Faktor für die Zunahme der Antibiotikaresistenz (erworbene Resistenz) ist die Selektion resistenter Varianten (Stämme) unter Antibiotikaeinsatz. Daher ist die Hauptforderung eine Verminderung des Einsatzes von Antibiotika. Um dieses Ziel zu erreichen, muss jede Antibiotikagabe kritisch und möglichst gezielt erfolgen. Im Idealfall sollte das gewählte Antibiotikum nur auf den nachgewiesenen Erreger einwirken (Schmalspektrumantibiotikum) und die körpereigene Flora (Mikrobiom) möglichst nicht oder wenig beeinflussen.
Eine gezielte Antibiotikatherapie ist selten möglich, da zum Zeitpunkt der Diagnose weder der Erreger noch seine Empfindlichkeit bekannt sind. Die mikrobiologische Diagnostik benötigt in der Regel mehr als einen Tag. Die Therapie wird daher fast immer kalkuliert begonnen, evtl. später modifiziert, wenn der mikrobiologische Befund vorliegt. Bei unbekanntem Erreger richtet sich die kalkulierte Therapie nach der Infektlokalisation, dem häufigsten Erreger bei dieser Diagnose und der lokalen Resistenzsituation. Um dieses Ziel zu erreichen, ist ein kontinuierliches Erstellen von Erreger- und Resistenzdaten, lokal, regional, national und international, erforderlich. Diese müssen dem behandelnden Arzt zur Verfügung stehen, um eine rationale und rationelle Therapie zu ermöglichen13.
Die weltweit am längsten laufende Erhebung von überregionalen Resistenzdaten wird von der Paul-Ehrlich-Gesellschaft für Chemotherapie e. V. durchgeführt14–16. Diese Daten sind jedoch in der Regel mehr als zwei Jahre alt und dienen dazu, einen Trend aufzuzeigen (Abb. 1). Bei einer Abfrage im Januar 2021 zur Resistenz von Escherichia coli gegenüber Ciprofloxacin lagen die Daten nur bis 2016 vor (Tab. 3). Außerdem werden in dieser Studie die Daten nicht kontinuierlich erhoben und analysiert. Auch in der nationalen Studie ARS (Antibiotika-Resistenz-Surveillance) am Robert-Koch-Institut Berlin sucht man vergeblich nach aktuellen Daten, im Januar 2021 existierten Daten nur bis 201917. Außerdem fehlen in der Datenbank von ARS Daten zu wichtigen obligat pathogenen Bakterien, z. B. Salmonella enterica Serotyp Typhi und Paratyphi (Typhus-Bakterien) sowie Shigella-Spezies, und Daten zu dem häufigsten Enteritis-Erreger Campylobacter-Spezies.
Tab. 3 Resistenzdaten im Internet für häufige bzw. klinisch relevante bakterielle Erreger (alle Abfragen Januar 2021).
RegionVerfügbare DatenDeutschland, Österreich, SchweizDaten bis 2016https://www.p-e-g.org/resistenzdaten-46.htmlDeutschlandDaten bis 2019, keine Daten zu Salmonella oder Campylobacter-Spezies oder Neisseria gonorrhoeaehttps://ars.rki.de/DeutschlandDaten zu Neisseria gonorrhoeae bis 2017https://www.rki.de/DE/Content/InfAZ/G/Gonorrhoe/GORENET/GORENET_inhalt.html;jsessionid=8A22474831B69DFA35B0FE0FAF0E20DE.2_cid290#doc3860010bodyText3DeutschlandDaten bis 2019 vom Landesgesundheitsamt Niedersachsenhttps://www.nlga.niedersachsen.de/startseite/infektionsschutz/antibiotikaresistenz/armin_resistenzentwicklung/armin-19418.htmlEuropaDaten bis 2019https://www.ecdc.europa.eu/sites/default/files/documents/surveillance-antimicrobial-resistance-Europe-2019.pdfEuropaDaten für Gonokokken bis 2018https://www.ecdc.europa.eu/sites/default/files/documents/gonorrhoea-annual-epidemiological-report-2018.pdfÖsterreichDaten bis 2018 auch zu Salmonella, Campylobacter, Neisseria gonorrhoeaehttps://www.ages.at/themen/ages-schwerpunkte/antibiotika-resistenzen/NiederlandeDaten bis 2018 über Resistenz, Verbrauch, auch veterinärmedizinische Datenhttps://www.rivm.nl/publicaties/nethmap-2020-consumption-of-antimicrobial-agents

Abb. 1 Resistenzentwicklung von Escherichia coli gegen Ciprofloxacin (in %); Daten der Arbeitsgemeinschaft Resistenz der PEG e. V.
Für eine rationelle Verordnung sind lokale aktuelle Resistenzdaten erforderlich, die vom lokalen mikrobiologischen Laboratorium dem Einsender von Proben in regelmäßigen Intervallen unaufgefordert mitgeteilt werden sollten. Beim Auftreten von ungewöhnlichen Resistenzen sollte das Laboratorium dem Einsender einen Warnhinweis geben und die Situation weiter beobachten.
Um die Gesundheit von Menschen und Tieren zu schützen und weiterhin die Wirksamkeit von Antibiotika zu erhalten, wurde von der Bundesregierung 2015 die „Initiative Deutsche Antibiotika-Resistenzstrategie, DART 2020: Antibiotika-Resistenzen bekämpfen zum Wohl von Mensch und Tier“18 gestartet.
Literatur
1. Bassett EJ, Keith MS, Armelagos GJ, Martin DL, Villanueva AR. Tetracycline-labeled human bone from ancient Sudanese Nubia (A.D. 350). Science 1980;209(4464):1532–1534.
2. Harbarth S, Harris AD, Carmeli Y, Samore MH. Parallel analysis of individual and aggregated data on antibiotic exposure and resistance in gram-negaive bacilli. Clin Infect Dis 2001;33:1462–1468.
3. Rodloff AC, Christiansen B, Deutrich Ch, Engelmann L, Schreiter D, Gaus W. Entwicklung der Antibiotika-Resistenz bei bakteriellen Krankheitserregern von Patienten eines Universitätsklinikums. Chemotherapie Journal 2002;11:105–112.
4. Bronzwaer SLAM, Cars O, Buchholz U et al. A European study on the relationship between antimicrobial use and antimicrobial resistance. Emerg Infect Dis 2002;8:278–282.
5. Kahlmeter G, Menday P, Cars O. Non-hospital antimicrobial usage and resistance in community-acquired Escherichia coli urinary tract infection. J Antimicrob Chemother 2003;52:1005–1010.
6. Sande-Bruinsma N, Grundmann H, Verloo D et al. Antimicrobial drug use and resistance in Europe. Emerg Infect Dis 2008;14:1722–1730.
7. Adam HJ, Hoban DJ, Gin AS, Zhanel GG. Association between fluoroquinolone usage and a dramatic rise in ciprofloxacin-resistant Streptococcus pneumoniae in Canada, 1997-2006. Int J Antimicrob Agents 2009;34:82–85.
8. Versporten A, Bolokhovets G, Ghazaryan L et al. Antibiotic use in eastern Europe: a cross-national database study in coordination with the WHO Regional Office for Europe. Lancet Infect Dis 2014;14:381–387.
9. Klein EY, Van Boeckel TP, Martinez EM et al. Global increase and geographic convergence in antibiotic consumption between 2000 and 2015. Proc Natl Acad Sci U S A 2018;115:E3463–E3470.
10. http://www.eucast.org/; letzter Zugriff am 02.02.2021.
11. https://www.bsac.org.uk/susceptibility/; letzter Zugriff am 02.02.2021.
12. https://clsi.org/standards/products/microbiology/; letzter Zugriff am 02.02.2021.
13. Bodmann KF et al. Kalkulierte parenterale Initialtherapie bakterieller Erkrankungen bei Erwachsenen – Update 2018. PEG S2k Leitlinie (AWMF-Registernummer 082-006). https://www.p-e-g.org/files/content/Service/Empfehlungen-Leitlinien/PEG-S2k-Leitlinie-Update-2018.pdf; letzter Zugriff am 23.11.2020.
14. https://www.p-e-g.org/resistenzdaten-46.html; letzter Zugriff am 02.02.2021.
15. Wiedemann B, Ansorg R, Freiesleben H et al. Empfindlichkeit klinischer Isolate einiger Enterobacteriaceae sowie von Pseudomonas aeruginosa, Staphylococcus aureus und Streptococcus faecalis gegenüber Chemotherapeutika - Ergebnisse einer überregionalen koooperativen Studie aus dem Jahre 1975. Infection 1978;6:35–44.
16. Kresken M. Die Resistenzentwiclung von 1975 bis heute. Chemotherapie J 2009;18:64.
17. https://ars.rki.de/; letzter Zugriff am 02.02.2021.
18. https://www.bundesgesundheitsministerium.de/themen/praevention/antibiotika-resistenzen/antibiotika-resistenzstrategie.html; letzter Zugriff am 02.02.2021.
Zahnärztliche Chirurgie

Odontogene Infektionen
Julia Heider, Bilal Al-Nawas
Odontogene Infektionen entstehen durch entzündliche Prozesse, die entweder von den Zähnen oder vom Zahnhalteapparat ausgehen. Abhängig von der Ursache (z. B. Karies profunda, apikale Parodontitis, Parodontitis, Periimplantitis, Paro-Endo-Läsion, verlagerte und retinierte Zähne, infiziertes Augmentationsmaterial) und einer bestehenden Ausbreitungstendenz kann nur punktuell eine Aussage über die Prävalenz odontogener Infektionen getroffen werden. In einem ambulanten zahnärztlich-chirurgischen Zentrum in Deutschland wurde im Zeitraum 2000 bis 2007 eine Prävalenz odontogener Infektionen von 9,2 % angegeben1. In jeder Altersklasse können odontogene Infektionen auftreten. Am häufigsten sind 20- bis 40-jährige Patienten betroffen1–6. Bei Kindern wird ein Zusammenhang zwischen einem progredienten Verlauf der Infektion und einem niedrigen Gewicht diskutiert7. Bei Männern treten odontogene Infektionen häufiger auf als bei Frauen, wobei dies vom Untersuchungszeitraum, der Untersuchungslokalisation (ambulant/stationär) und dem Untersuchungsland variieren kann4,5,8. Der erste und dritte Molar stellen die häufigsten Infektionsquellen für eine odontogene Infektion dar. Die Molaren im Unterkiefer lösen dabei in mehr Fällen eine odontogene Infektion aus als die Molaren im Oberkiefer9,10. Odontogene Ursachen im Oberkiefer können zu Wangenabszessen führen. Von Unterkieferzähnen ausgehende odontogene Infektionen zeigen dagegen eher eine Ausbreitung nach submandibulär, perimandibulär und pterygomandibulär, wobei eine Ausbreitung der odontogenen Infektion nach submandibulär am häufigsten auftritt3,4,8. In der AWMF-S3-Leitlinie „Odontogene Infektionen“ wird zur Vereinfachung der Nomenklatur die evidenzbasierte Empfehlung der Einteilung der odontogenen Infektionen in „Infiltrat, lokale odontogene Infektion ohne/mit Ausbreitungstendenz und ohne/mit lokalen oder systemischen Komplikationen“ ausgesprochen11.
Die meisten lokal begrenzten odontogenen Infektionen werden ambulant therapiert. Bei einer fortschreitenden Entzündung mit Weichgewebsbeteiligung, z. B. durch eine akute oder chronische apikale Parodontitis ausgelöst, treten bei odontogenen Infektionen die typischen Entzündungszeichen Rubor, Tumor, Calor, Dolor und Functio laesa auf. Abhängig von der odontogenen Ursache der Infektion unterscheiden sich die lokalen klinischen Symptome und Ausbreitungstendenzen. Bei einem Infiltrat oder einer lokalen odontogenen Infektion kommt es zu einer enoralen Schwellung, die sich, je nach ursächlichem Zahn, in verschiedene Regionen ausbreiten kann (Abb. 1 bis 3). Besonderen Stellenwert nehmen nicht abgeschlossene endodontische Therapien und Karies profunda als Ursache für eine odontogene Infektion ein und steigern das Risiko, eine odontogene Infektion zu entwickeln. Eine ausführliche Anamnese ist notwendig, um eventuell bestehende Risikofaktoren, z. B. ein nicht eingestellter Diabetes mellitus, Immunsuppression, für eine Ausbreitung der odontogenen Infektion erkennen zu können. Die initiale Einschätzung, ob eine Ausbreitungstendenz besteht, wird häufig durch den Hauszahnarzt gestellt. Um diese Einschätzung durchführen zu können, ist neben der Anamnese eine extra- und enorale klinische Untersuchung notwendig. Hierbei soll laut S3-Leitlinie „auf Zeichen der Ausbreitungstendenz“ geachtet werden, wie z. B. Einschränkung der Mundöffnung, Druckschmerz am Kieferwinkel/Augenwinkel (V. angularis), extraorale Schwellung (Ist der Unterkiefer durchtastbar?), Schluckbeschwerden, Atemnot, angehobener Mundboden, kloßige Sprache, Fieber, Exsikose“11. Die chirurgische Entlastung einer lokal begrenzten odontogenen Infektion steht weiter an erster Stelle der Therapie (Abb. 4 bis 7). Entleert sich Pus und liegen keine Risiken von Seiten des Patienten vor, kann in diesem Stadium der odontogenen Infektion auf eine Antibiotikatherapie verzichtet werden. Zeigt sich keine Entleerung von Pus oder liegen Risikofaktoren des Patienten für eine mögliche Ausbreitung der odontogenen Infektion vor, kann ein orales Antibiotikum verschrieben werden. Die Entfernung der Ursache der odontogenen Infektion wird entweder gleichzeitig mit der chirurgischen Intervention oder im Therapieverlauf durchgeführt (Abb. 3). Der Patient muss bereits bei dem ersten Eingriff darüber aufgeklärt werden, dass zur Sanierung der Ursache für die Infektion ein zweiter Eingriff notwendig sein kann. Eine physikalische Therapie in Form von Kühlen des infizierten Bereichs unterstützt den Rückgang der klinischen Symptome, wie z. B. Schwellung oder eine Kieferklemme. Zeigt sich eine Ausbreitungstendenz der odontogenen Infektion, können trotz adäquater Therapie oder bei verzögerter Therapie schwerwiegende Komplikationen eintreten. In der S3-Leitlinie „Odontogene Infektionen“ wird folgende evidenzbasierte Empfehlung ausgesprochen: „Um den Verlauf der Infektion widerzuspiegeln, können bei Ausbreitungstendenz und/oder Komplikationen die Messung der Mundöffnung, die Kontrolle der Körpertemperatur, des u. a. C-reaktiven Proteins und/oder der Leukozyten durchgeführt werden“11. Als lokale Komplikationen werden unter anderem die Osteomyelitis, die Sinusitis, die Orbitaphlegmone, der Abszess der Orbita und der Hirnabszess gesehen11. Zu den systemischen Komplikationen zählen unter anderem die Sepsis, die Endokarditis, die Spondylitis, die Mediastinitis, die nekrotisierende Fasciitis (Abb. 8 und 9), die Perikarditis, eine hypertensive Krise, eine respiratorische Insuffizienz, die Pneumonie, eine Thrombose der Vena jugularis, eine disseminierte intravasale Koagulation, Pleuraergüsse, cavernöse Sinusthrombosen, die renale Insuffizienz, die Pleuritis, Multiorganversagen oder das Adult Respiratory Distress Syndrome11. Liegt bei einer odontogenen Infektion eine Ausbreitungstendenz vor, unabhängig davon, ob diese ohne oder mit Komplikationen einhergeht, kann dies zu einer stationären Aufnahme der Patienten führen. Bei Vorliegen einer odontogenen Infektion mit Ausbreitungstendenz steht ebenfalls die chirurgische Eröffnung des Abzesses im Vordergrund. Insgesamt treten lokale Komplikationen häufiger auf als systemische Komplikationen und diese führen auch häufiger zu einer stationären Aufnahme der Patienten12,13. Vor allem Patienten mit Vorerkrankungen weisen ein erhöhtes Risiko für eine Ausbreitung der odontogenen Infektion und Komplikationen im Verlauf der Erkrankung auf14,15. Das Auftreten von systemischen Komplikationen kann im Vergleich zu den Patienten mit lokalen Komplikationen zu einer längeren stationären Verweildauer führen14,16,17. Systemische Komplikationen können z. B. durch eine Ausbreitung der odontogenen Infektion in das Mediastinum, in die Orbita oder das Gehirn (Abb. 10 und 11) zum Tod der Patienten führen18.

Abb. 1 Patient 1: Fossa-canina-Abszess, ausgehend von einem kariösen Zahn.

Abb. 2 Patient 1: Verstrichenes, gerötetes Vestibulum Regio 65.

Abb. 3 Patient 1: Extraktion des Zahnes 65, der die odontogene Ursache für den Fossa-canina-Abszess darstellt. Entlastung des Abszesses über eine marginale Schnittführung und Einlage einer Lasche zur Drainage, welche nach 2 Tagen entfernt wurde.

Abb. 4 Patient 2: Submandibulärer Abzess, ausgehend von dem verlagerten und retinierten Zahn 38.

Abb. 5 Patient 2: Anzeichnung des Unterkiefers und der Schnittführung zwei Fingerbreit unterhalb des Unterkiefers.

Abb. 6 Patient 2: Schnitt bis auf das Platysma. Stumpfe Präparation bis auf den Unterkiefer und Eröffnung der betroffenen Logen (pterygomandibulär, massetericomandibulär, lingual). Es entleerte sich Pus aus der Wunde.

Abb. 7 Patient 2: Im Anschluss an die Eröffnung des submandibulären Abszesses erfolgt die Einlage von Drainagen in die eröffneten Logen.

Abb. 8 Patient 3: Vorstellung des Patienten; Zustand nach Extraktion des Zahnes Regio 47 alio loco vor 5 Tagen und seit dem progredienter Schwellung pterygomandibulär. Nebenbefundlich zeigte sich der Zahn 48 verlagert und retiniert. Es zeigt sich ein perimandibulärer Abszess mit Ausbreitung in die Wange, nach temporal und nach zervikal, jugulär. Der Patient wies eine massive Rötung und druckschmerzhafte Schwellungen im Bereich der Ausbreitungsgebiete auf. Er gab an, unter starken Schluckbeschwerden und einer Kieferklemme zu leiden. Der Patient wies eine kloßige Sprache auf. Eine orale Antibiotikatherapie war durch den Hauszahnarzt mit Penicillin V erfolgt.

Abb. 9 Patient 3: Eröffnung des perimandibulären Abszesses mit Ausbreitungstendenz nach bukkal, temporal und zervikal. Die odontogene Infektion wurde zuerst in üblicher Weise von submandibulär entlastet und zusätzlich Drainagen nach temporal, in die Wange, nach zervikal jugulär und sublingual eingelegt. Die Drainageröhrchen wurden mit Nähten befestigt. Aus dem intraoperativ durchgeführten Abstrich ließen sich Parvimonas micra/Peptostreptococcus micros, Prevotella oralis, Propionibacterium acnes nachweisen. Im Verlauf entwickelte sich eine nekrotisierende Fasziitis. Der Patient wurde tracheotomiert und die nekrotischen Areale im Sinne eines Wunddebridements abgetragen und erneut eine großflächige Wunderöffnung durchgeführt. Es zeigten sich im Verlauf beidseitige Pleuraergüsse mit einer rechtseitigen eingeschränkten Ventilation, welche zu einer Pleuradrainage auf dieser Seite führte. Vorrübergehend war der Patient intensivpflichtig und wurde nach Stabilisierung wieder auf die periphere Station verlegt.

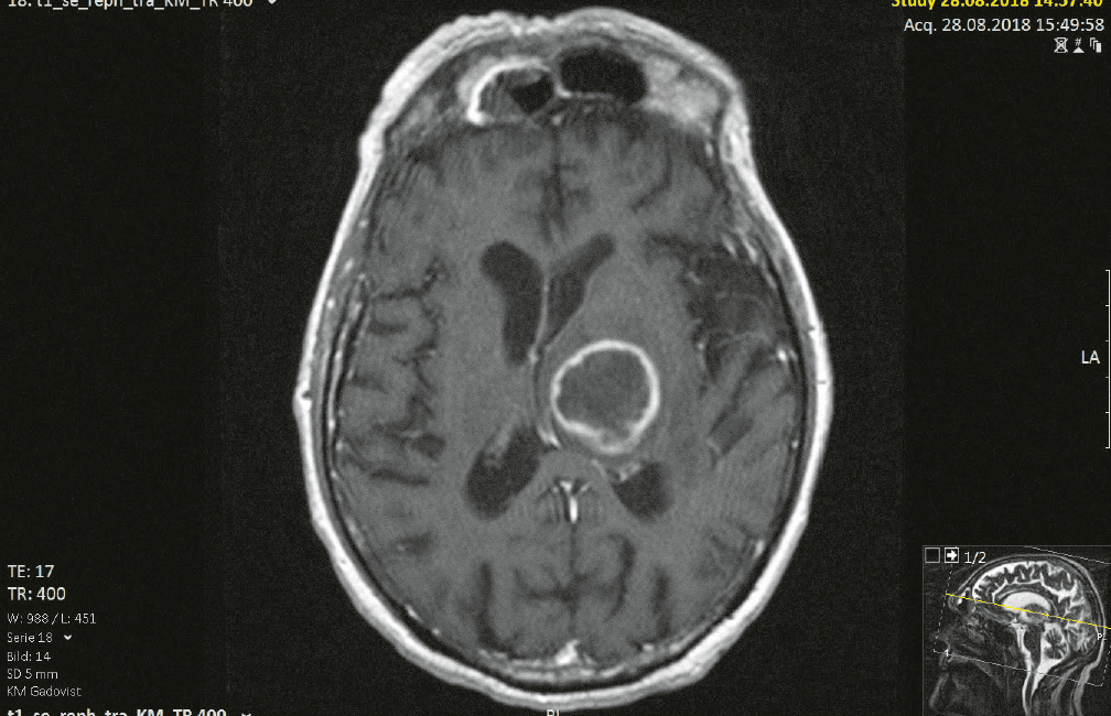
Abb. 10 Patient 4: Magnetresonanztomografie (T2-Gewichtung) eines Patienten, der vom Rettungsdienst somnolent und verwahrlost in seiner Wohnung aufgefunden wurde. Eine primäre Vorstellung fand über die Notaufnahme in der Klinik für Neurochirurgie statt. Es zeigte sich ein Hirnabszess, der im Verlauf chirurgisch entlastet wurde.

Abb. 11 Patient 4: Desolater Zahnstatus des prothetisch und konservierend nicht versorgten Patienten mit multiplen kariösen Zähnen, elongierten Zähnen, Wurzelresten, apikalen Ostitiden. Mit dem Nachweis der Bakterien aus der Streptococcus-anginosus-Gruppe und Fusobacterium nucleatum wurde der Nachweis für eine odontogene Infektion ausgehend von den desolaten, nicht erhaltungswürdigen Zähnen erbracht. Nach Stabilisierung des Patienten erfolgte eine Zahnsanierung.
In der Mundhöhle mit über 800 verschiedenen Bakterienspezies werden in den meisten Fällen Gemische aus aeroben und anaeroben Bakterien für die odontogenen Infektionen verantwortlich gemacht19,20 (Tab. 1). Teilweise liegt ein schwer vollständig erfassbares Erregergemisch vor9.
Tab. 1 Patient 4: Bei der Entlastung des Hirnabszesses wurde ein Abstrich durchgeführt. Mikrobiologisch wurden in der Kultur zahlreiche Bakterien aus der Streptococcus-anginosus-Gruppe (grampositive Aerobier) und Fusobacterium nucleatum (gramnegative Anaerobier) nachgewiesen. Im Antibiogramm zeigten sich die Bakterien aus der Streptococcus-anginosus-Gruppe sensibel gegenüber Penicillin, Ceftriaxon und Clindamycin. Auch Fusobacterium nucleatum zeigte sich sensibel gegen die getesteten Antibiotika.
Streptococcus-anginosus-GruppeSensibilitätFusobacterium nucleatumSensibilitätPenicillinsensibelPenicillinsensibelCeftriaxonsensibelAmoxicillin/SulbactamsensibelClindamycinsensibelPiperacillin/Tazobactamsensibel––Imipenemsensibel––MetronidazolsensibelZu den am häufigsten nachgewiesenen aeroben Bakterien odontogener Infektionen gehören die Viridans-Streptokokken und Staphylococcus aureus, aber auch Neisseria spp., Klebsiella spp., Enterococcus faecalis, Capnocytophaga gingivalis, Aggregatibacter actinomycetemcomitans, Eikenella corrodens und Lactobacillus spp.3,21–23. Bei den anaeroben Bakterien dominieren Peptostreptococcus und Prevotella spp. neben Porphyromonas spp.; Bacteroides und Fusobacterium spp. können neben Veillonella und Eubacterium spp. sowie Campylobacter spp. ebenfalls nachgewiesen werden3,4,19. Auch Hefepilze konnten in odontogenen Infektionen nachgewiesen werden, wobei keine Resistenzdaten zu den nachgewiesenen Hefepilzen vorliegen und die pathophysiologische Rolle unklar ist4,9,24.
Abhängig von der Häufigkeit der Verschreibung verschiedener Antibiotika kann eine erhöhte Antibiotikaresistenz der Bakterien, die odontogene Infektionen verursachen, beobachtet werden. Dies erklärt die Unterschiede der Resistenzdaten in unterschiedlichen Ländern25,26. Ein regionaler Unterschied der Verschreibungspraxis fällt z. B. im ambulanten Bereich in Deutschland zwischen dem Nordosten Deutschlands – hier werden weniger Antibiotika verordnet – und westlichen Bundesländern auf27. Um einer Ausbreitung von resistenten Bakterien entgegenzuwirken, ist ein bewusster Umgang mit den unterschiedlichen Antibiotika sowie eine strenge Indikationsstellung für den Einsatz der Antibiotika notwendig. In Europa werden in den südlichen Ländern mehr Antibiotika verschrieben als in den nördlichen Ländern (European Centre for Disease Prevention and Control [ECDC]).






