Навигационная имплантология. Практическое руководство для практикующих имплантологов

- -
- 100%
- +

Благодарности:
Петр Владимирович Иванов
Лариса Алексеевна Зюлькина
© Е. Н. Шастин, 2025
ISBN 978-5-0067-0593-7
Создано в интеллектуальной издательской системе Ridero

Благодарности
Я хочу выразить искреннюю признательность всем, кто помогал и поддерживал меня в процессе создания этой книги. Этот труд стал возможным благодаря вкладу множества людей, чья поддержка, знания и усилия вдохновляли меня на каждом этапе работы.
Прежде всего, я хочу поблагодарить своего соавтора, Иванова Петра Владимировича, ставшего инициатором этого проекта, за глубокий профессионализм, неоценимый вклад и преданность нашему проекту. Ваши знания и опыт сделали эту книгу уникальной и действительно полезной.
Особую благодарность я выражаю своей семье, чья поддержка была для меня источником сил и вдохновения. Ваше терпение, понимание и вера в меня позволили мне завершить эту работу.
Хочу поблагодарить своих коллег и друзей, чьи советы и конструктивная критика помогли улучшить содержание книги. Ваше участие стало важной частью процесса, и я ценю вашу готовность делиться опытом и знаниями.
Отдельное спасибо моему научному редактору, Зюлькиной Ларисе Алексеевне, за тщательную работу над текстом. Ваш профессионализм и внимание к деталям придали книге завершённый вид и сделали её понятной и доступной для читателей.
Я также выражаю благодарность своим пациентам, которые доверяли мне и вдохновляли на совершенствование профессиональных навыков. Каждый случай, каждая история – это бесценный вклад в накопление опыта и развитие навыков, которые нашли отражение на страницах этой книги.
И наконец, я хочу поблагодарить всех, кто разделяет мой интерес к дентальной имплантологии и навигационным методам. Ваши вопросы и стремление к знаниям подталкивают меня к постоянному развитию и поиску новых решений.
Введение
Современная имплантология представляет собой одну из самых динамично развивающихся областей стоматологии, где технологические инновации играют ключевую роль в повышении эффективности и предсказуемости лечения. В последние годы значительное внимание уделяется навигационной имплантологии, которая представляет собой передовой подход к планированию и проведению имплантационных операций с использованием цифровых технологий. Настоящая книга, «Навигационная имплантология», является результатом многолетнего опыта и тщательного изучения последних достижений в этой области. Она написана с целью предоставить практическое руководство для специалистов, стремящихся внедрить навигационные методы в свою практику.
Данная книга предназначена для практикующих специалистов-имплантологов, а также студентов и стоматологов, заинтересованных в освоении и применении навигационных методов в своей практике. Она адресована тем, кто стремится улучшить качество своих профессиональных навыков и внедрить в свою практику самые современные технологии. Навигационная имплантология открывает новые возможности для достижения высоких клинических результатов и повышения уровня комфорта для пациентов.
Цель этой книги – обобщить накопленные знания по навигационной имплантологии и поделиться моим многолетним опытом, чтобы помочь коллегам в повышении качества и предсказуемости их работы. На страницах книги представлены результаты многочисленных научных исследований, на основании которых разработаны протоколы и методы, позволяющие существенно повысить точность установки имплантатов и улучшить результаты лечения. Вся информация изложена в доступной и последовательной форме, что делает книгу полезной как для опытных специалистов, так и для начинающих имплантологов.
Книга структурирована таким образом, чтобы читатель мог не только изучить теоретические основы навигационной имплантологии, но и познакомиться с практическими аспектами через детальный анализ клинических случаев, выполненных мной. Такой подход позволяет не только глубже понять принципы и механизмы работы современных навигационных систем, но и увидеть реальные результаты их применения.
Структура книги состоит из 12 глав, каждая из которых посвящена определенному аспекту навигационной имплантологии. В первой главе рассматриваются методы оптимального позиционирования имплантатов, что является ключевым фактором для достижения долгосрочных успешных результатов. Вторая глава посвящена различным навигационным методам, которые используются в имплантологии, включая их преимущества и ограничения. В третьей главе представлена история развития навигационной имплантологии, начиная с первых попыток применения навигационных систем и до современных высокотехнологичных решений.
Цифровая стоматология, обсуждаемая в четвертой главе, играет важную роль в современном подходе к имплантации, предоставляя стоматологам инструменты для точного планирования и выполнения операций. В пятой и шестой главах рассматриваются компьютерная визуализация и проектирование, которые позволяют создавать виртуальные модели и планировать операции с высокой степенью точности. Седьмая глава посвящена компьютерному производству, включающему изготовление навигационных шаблонов и других инструментов с использованием CAD/CAM технологий.
Навигационные шаблоны, обсуждаемые в восьмой главе, играют важную роль в обеспечении точности и безопасности имплантационных операций. В девятой главе представлены различные системы навигационных инструментов, которые используются в современной имплантологии. Десятая глава включает пошаговые протоколы установки имплантатов, что позволяет стоматологам следовать проверенным методикам и избегать возможных ошибок.
В одиннадцатой главе рассматриваются аспекты цифровой реконструктивной хирургии, которые открывают новые возможности для восстановления челюстно-лицевой области. Последняя, двенадцатая глава, посвящена протезированию в навигационной имплантологии, в ней обсуждаются современные методы создания и установки протезов с использованием навигационных технологий.
Мой опыт в имплантологии насчитывает более 20 лет, и я являюсь автором книги «Первая сотня», которая стала руководством для начинающих имплантологов, помогая им успешно установить первые сто имплантатов без ошибок. Многолетний практический опыт и глубокие знания в этой области позволили мне собрать и систематизировать материалы для этой книги, чтобы предложить коллегам наиболее эффективные и проверенные методы работы.
Навигационная имплантология позволяет существенно увеличить точность и прогнозируемость имплантации, ускорить процесс заживления и минимизировать риски осложнений. Использование навигационных шаблонов и цифрового планирования дает возможность стоматологам минимизировать хирургическое вмешательство, что способствует более быстрому заживлению и повышению комфорта для пациентов. Эти методы также позволяют более точно прогнозировать результаты лечения и значительно улучшать результаты комплексной стоматологической реабилитации.
При написании данной книги было изучено большое количество научных исследований, которые служат фундаментом для предлагаемых методов и рекомендаций. Ссылки на эти исследования предоставлены в тексте, что позволяет читателям самостоятельно ознакомиться с первоисточниками и углубить свои знания в данной области. Каждый раздел книги включает примеры из клинической практики, иллюстрации и пошаговые инструкции, что делает материал легко усваиваемым и применимым на практике.
Надеюсь, что эта книга станет надежным помощником для специалистов, стремящихся внедрить навигационные методы в свою практику и улучшить качество оказываемой помощи. Ваш путь к совершенству в имплантологии начинается здесь, с освоения передовых технологий и подходов, которые открывают новые горизонты в стоматологии. В мире, где технологии постоянно развиваются, важно не только идти в ногу со временем, но и быть на шаг впереди, внедряя инновационные методы в свою практику для достижения наилучших результатов.
Добро пожаловать в мир навигационной имплантологии! Желаю вам успехов в освоении новых технологий и улучшении качества вашей профессиональной деятельности. Пусть каждый ваш шаг будет точным, каждое решение – обоснованным, а каждый результат – предсказуемым и успешным.
Глава 1. Позиционирование имплантатов
В настоящее время протезирование с опорой на имплантаты стало эффективной методикой реабилитации пациентов с адентией. Отсутствие необходимости в препарировании соседних зубов, эстетичный внешний вид протезов и благоприятный отдаленный прогноз лечения сделали имплантацию популярным подходом среди врачей и пациентов.
Но, как показывают исследования, долгосрочное функционирование ортопедической конструкции с опорой на имплантаты достигается только при условии установки имплантата в оптимальное положение. Неоптимальное положение имплантата, в свою очередь, может негативно сказаться на итоговом результате лечения. Следовательно, правильное позиционирование имплантата – залог изготовления долговечного протеза.
Критериями успешного функционирования имплантата являются:
• Отсутствие жалоб и болезненности как в покое, так и при функции
• Абсолютная неподвижность
• Не более 2мм потери кости в результате ремоделирования и отсутствие потери кости в дальнейшем
• Отсутствие воспаления десны, кровоточивости и экссудации
При соответствии всем критериям можно дать хороший прогноз данному имплантату и надеяться на его длительное функционирование.
Правила позиционирования имплантата
Как показали исследования, самым важным аспектом, влияющим на долгосрочную успешность, является положение имплантата. Основным правилом является 3A-2B Rule (правило 3А-2В), предложенное Fernando Rojas-Vizcaya в 2013 году. Оно гласит: «Правильное позиционирование имплантата подразумевает наличие 2мм кости буккально (2В) и 3мм мягких тканей апикальнее реставрации, то есть над платформой имплантата (3А). Доказано, что именно такое расположение имплантата гарантирует правильное формирование биологической ширины, а, следовательно, минимальное ремоделирование тканей, максимальную устойчивость к микробной инвазии и длительное функционирование.
Постараемся подробнее вникнуть в это правило, и так 2В – костные структуры, имеющие толщину менее 2 мм, будут лизированы из-за недостаточного кровоснабжения, так как 1 мм внешнего слоя кости представлено кортикальной костью, а 1мм губчатой кости, обращенной к имплантату, недостаточно для питания и предотвращения резорбции. Хотя естественные зубы имеют вестибулярную кость значительно менее 2 мм, (особенно фронтальная группа зубов) это возможно благодаря дополнительному кровоснабжению, получаемому из пародонтальной связки, которая отсутствует у имплантата. Поэтому имплантат должен быть размещен таким образом, чтобы его окружала кость толщиной не менее 2мм.
Мягкие ткани, расположенные над платформой имплантата – основа не только эстетического вида будущей реставрации, но и основная защита имплантата от бактериальной инвазии. При наличии менее 3 мм мягких тканей, что часто встречается при тонком биотипе десны, протетической проблемой является создание внутридесневой части абатмента, которая должна обеспечить переход с диаметра имплантата к диаметру контура прорезывания, что при недостатке высоты ведет к неоптимальному грибовидному абатменту.
Биологической проблемой при толщине слизистой менее 3 мм является невозможность сформировать биологическую ширину, что ведет к получению дополнительного места под биологическую ширину с помощью ремоделирования краевой кости, а именно ее резорбции и заполнения освободившегося пространства мягкими тканями. Поэтому важно в случаях, когда имеется недостаточная толщина слизистой оболочки, заранее спланировать либо хирургические манипуляции, направленные на увеличение толщины, либо удалить часть кости, увеличив расстояние для мягких тканей, либо выполнять установку имплантата субантрально (глубже костного края), чтобы в результате ремоделирования имплантат все равно не потерял буккальную кость.

Рис. 1.1. Иллюстрация правила 3A-2B Rule из статьи Fernando Rojas-Vizcaya
Рассмотрим другие правила позиционирования имплантатов, которые будут необходимы для создания правильного плана лечения и определения оптимальных позиций для имплантатов.
• Минимальное расстояние между имплантатом и соседним естественным зубом должно составлять от 2 мм
• Минимальное расстояние между двумя имплантатами должно составлять от 4 мм
• Зона безопасности от нижнего альвеолярного нерва или дна верхнечелюстной пазухи до верхушки имплантата должна составлять 2 мм
• От платформы имплантата до окклюзионной поверхности зуба антагониста должно быть доступно не менее 7 мм межокклюзионного пространства для цементной фиксации и не менее 5 мм межокклюзионного пространства для прямой винтовой фиксации.

Рис. 1.2. Правила установки имплантатов: а (расстояние между имплантатами) – больше 4 мм, b (расстояние между естественным зубом и имплантатом) – более 2 мм, с (расстояние от платформы имплантата до окклюзионной поверхности зубов антагонистов – более 5мм для винтовой фиксации и более 7 мм для цементной фиксации
Установка имплантата, согласно этим правилам, обеспечит его успешную остеоинтеграцию и долгосрочную стабильность, предотвращая резорбцию костной ткани и поддерживая нормальное функционирование имплантата. Это способствует равномерному распределению жевательной нагрузки и минимизирует риск воспалительных процессов, обеспечивая сохранение мягких тканей и предотвращение инфекций. Таким образом, корректное позиционирование имплантата критически важно для его функциональности, эстетических результатов и общего успеха протезирования.
И все же, запросом пациента является создание функционального протеза, а не установка имплантата, следовательно, размещение имплантатов всецело подчинено ортопедическим задачам, поэтому очень важно знать и понимать, какой именно реставрацией выполняется протезирование и какие правила позиционирования имплантатов применяются для этого типа реставраций.
Типы ортопедических конструкций
Количество и положение имплантатов будет определяться типом протеза, которым будет выполнено протезирование конкретного пациента. Carl E. Misch разделил ортопедические реставрации на две группы: несъемные реставрации FP (Fixed Prosthesis) и съемные реставрации RP (Removable Prosthetics), в этих группах выделил пять типов, как описано в следующей таблице:


Рис. 1.3. Три типа несъемных протезов и два типа съемных протезов по классификации Carl E. Misch
FP-1
Несъёмная реставрация FР-1 по всем параметрам полностью соответствует естественным зубам и является наиболее выгодной заменой зуба как с функциональной точки зрения (передача жевательных усилий проходит аналогично естественному зубу), так и с эстетической (эстетика реставрации близка к естественной). Реставрация FP-1 – это идеальная реставрация, полностью соответствующая коронке на естественном зубе без повреждений пародонта, что особенно важно во фронтальном отделе верхней челюсти, где эстетика является главной заботой врача ортопеда.

Рис. 1.4. Средние параметры реставрации FP-1 полностью соответствуют естественным зубам
Между тем, для выполнения реставрации FP-1 важно не только правильно разместить имплантат (аналогично корню замещаемого зуба), но и клиническая ситуация должна предрасполагать к созданию идеальной реставрации, а именно костное предложение и количество мягкой ткани должны соответствовать идеальной ситуации. В противном случае, необходимо либо отказаться от выполнения реставрации типа FP-1 в пользу FP-2 или FP-3, либо провести костнопластические и мягкотканые реконструктивные вмешательства для восстановления идеальной конфигурации кости и мягких тканей.
Важно, что этот выбор должен быть выполнен информированным пациентом до проведения операции по установке имплантата, а не после. Необходимо понимать, что, ожидая получить ортопедические реставрации, пациент представляет именно реставрации типа FP-1, поэтому при протезировании реставрациями других классов врач должен уделить достаточно внимания разъяснению отличий и способствовать осознанному принятию пациентом будущей реставрации.
FP-2
Несъёмная реставрация FР-2 заменяет коронку, а также некоторую часть корня естественного зуба, чем очень похожа на искусственную коронку, покрывающую естественный зуб, имеющий заболевания пародонта, сопровождающиеся рецессией мягких тканей. Обычно места утраты зубов имеют умеренную потерю костной ткани, а также потерю мягких тканей из-за ремоделирования альвеолярного отростка при заживлении постэкстракционной лунки. В этих случаях восстановление отсутствующих зубов возможно с помощью реставрации FP-2 типа, так как верхняя часть коронки находится в правильном положении, а апикальная часть увеличена.
Реставрация FP-2 не требует столь идеального положения имплантата в мезиодистальном направлении, поэтому положение имплантата можно выбрать, руководствуясь в большей степени шириной кости или ангуляцией, чем сугубо эстетическими требованиями.
Использование реставраций FP-2 типа во фронтальном отделе верхней челюсти целесообразно при невысокой линии улыбки, когда апикальная треть коронки не визуализируется во время улыбки или разговора. Пациент должен быть четко проинформирован об этом перед тем, как идти на установку имплантата.

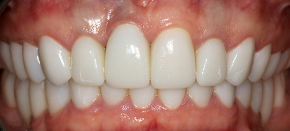
Рис. 1.5. Реставрация FP-2 типа на имплантате в области 11 зуба
FP-3
FP-3 – это несъемная реставрация, замещающая как коронки естественных зубов, так и прилегающие мягкие ткани (краевую десну и межзубные сосочки), для чего используются розовые материалы. Как и в случае с протезом FP-2, доступная кость располагается апикальнее идеального положения, и/или имплантаты установлены в область межзубных сосочков, однако ввиду визуализации апикальной части коронок при высокой улыбке, либо из-за эстетических пожеланий пациента «длинные зубы» протеза FP-2 неприемлемы, и мы вынуждены применить имитацию мягких тканей.
В результате зубы имеют естественный вид по размеру и форме, а розовые материалы имитируют область межзубных сосочков и пришеечную область десны альвеолярного отростка. То есть применение реставрации FP-3 позволяет получить хорошие результаты при неидеальных параметрах кости и мягких тканей, а также при неоптимальном расположении имплантата, что может с успехом использоваться для ортопедической компенсации неоптимального хирургического результата.
В случаях выраженного недостатка кости и принятия решения устанавливать имплантаты в места с максимальным костным предложением, а не в места оптимального для ортопедической конструкции положения реставрация FP-3 даст возможность выполнить эстетически приемлемое протезирование.
Сложностью в изготовлении протезов FP-3 является подбор цвета искусственной десны. Так как естественная десна меняет цвет в зависимости от кровоснабжения, обычно несколько раз в течении дня, это довольно трудно передать с помощью современных материалов, потому нужно проектировать достаточный объем искусственной десны, избегая применения розовых материалов небольшими фрагментами. При изготовлении тотальных мостов с опорой на имплантаты и наличии у пациента десневой улыбки целесообразно задуматься о резекции части альвеолярного отростка, что позволит скрыть от визуализации границу протеза.

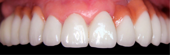
Рис. 1.6. Реставрация FP-3 типа на имплантатах в боковых отделах полости рта
RP-4
RP-4 – это съемный протез, полностью поддерживаемый имплантатами, зубами или и теми, и другими. После установки протез жестко фиксируется и обладает стабильностью несъемной реставрации. Съемный протез соединяется с имплантатами при помощи различных аттачментов, балочного крепления или телескопических коронок.
Для изготовления протеза RP-4 требуется 4—6 имплантатов на нижней челюсти и 5—8 имплантатов – на верхней челюсти. Для создания места для съемного протеза и супраструктур необходимо позиционировать имплантаты иначе, чем для несъемного протеза. Необходима установка в более апикальном и лингвальном положении по сравнению с расположением имплантатов несъемного протеза.

Рис. 1.7. Съемные телескопические протезы, выглядящие как несъемные конструкции FP-1, FP-2, FP-3
Протез RP-4 может выглядеть как FP-1, FP-2 или FP-3. Цельноциркониевый съемный протез с телескопической фиксацией обладает эстетикой, не уступающей циркониевым несъемным конструкциям, однако возможность самостоятельно демонтировать протез обеспечивает ряд преимуществ и всего один отрицательный аспект – психологический дискомфорт (вызванный необходимостью снимать протез), что необходимо всегда обсуждать с пациентом.
RP-5
RP-5 – это съемный протез, сочетающий поддержку имплантатами и слизистой оболочкой полости рта. Количество имплантатов может варьировать от 2 до 4 на нижней челюсти и от 2 до 6 на верхней. Крепление съемного протеза может осуществляться аттачментами к одиночным имплантатам, либо протез может крепиться к балке, объединяющей имплантаты. Однако, в отличие от RP-4, имплантаты не обеспечивают полную поддержку съемного протеза на всем протяжении, а локализованы в одном месте, обычно во фронтальном отделе. В этом случае протез поддерживается имплантатами, а не полностью опирается на них (в отличие от RP-4), такая конструкция очень похожа на частичный съемный протез, поддерживаемый естественными зубами.
Как и в случае с традиционным протезом, те участки слизистой оболочки, которые получают нагрузку от съемного протеза, подвергаются резорбции кости, которая в случае с RP-5 будет в 2—3 раза быстрее, чем в случае с естественными зубами. Пациенты, использующие протезы RP-5, должны каждый год проходить перебазировку протеза с помощью мягкой или твердой пластмассы, а также коррекцию окклюзии. Учитывая фактор ускоренной резорбции кости, протезы RP-5 следует с осторожностью использовать, особенно при молодом возрасте пациента.
Основное преимущество протезов RP-5 – это низкая стоимость, в то же время они обеспечивают лучшее качество жизни, нежели полные съемные протезы. Добавив дополнительные имплантаты, RP-5 всегда можно перевести в RP-4, однако это потребует повторного выполнения всей ортопедической работы. Еще одним частым применением протезов RP-5 является улучшение качества жизни пациентов, использующих полные съемные протезы. При недостаточной ретенции полного съемного протеза и, соответственно, подвижности протеза во время жевания или разговора можно использовать улучшение ретенции путем добавления имплантированных опор. То есть пациенту, уже имеющему съемный протез, устанавливают, допустим, два имплантата и фиксируем к ним аттачменты – абатменты, после чего в полости рта монтируют втулки, одновременно выполняя клиническую перебазировку протеза. Эта методика позволяет значительно улучшить качество жизни пациента, пользующегося съемным протезом.
Определение количества имплантатов
В случае отсутствия одного зуба или нескольких зубов можно легко определить количество и положение имплантатов. Как правило, для всех ситуаций с частичной адентией, кроме потери одного зуба, минимальное количество используемых имплантатов – два. Максимальное количество используемых имплантатов зависит от количества отсутствующих зубов и обычно один имплантат заменяет один зуб.



