Психология стресса

- -
- 100%
- +
Гипертония также вредна для кровеносных сосудов. Общая особенность кровеносной системы состоит в том, что в разных пунктах большие кровеносные сосуды (например, аорта) переходят в сосуды меньших размеров, затем в еще меньшие и т. д., разветвляясь на тысячи крошечных капилляров. Этот процесс разделения на меньшие и меньшие единицы называют бифуркацией. (Чтобы представить себе, насколько эффективно это постоянное разветвление в кровеносной системе, достаточно сказать, что каждая клетка в теле отстоит от кровеносного сосуда не более чем на пять клеток, хотя кровеносная система составляет всего 3 % от массы тела.) Одно из свойств систем, разветвляющихся подобным образом, заключается в том, что точки разветвления (то есть точки бифуркации) особенно уязвимы для повреждений. Точки разветвления в стенке сосуда, где возникает бифуркация, принимают на себя основное давление поступающей в него крови. Отсюда простое правило: когда увеличивается сила, с которой жидкость перемещается по системе, это повышает турбулентность, и эти участки стенок сосуда повреждаются чаще других.
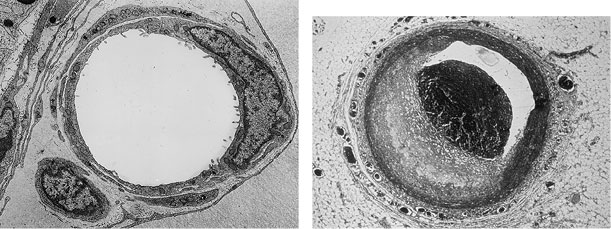
С хроническим повышением артериального давления, возникающим в результате повторяющегося стресса, такие повреждения возникают в точках разветвления артерий по всему телу. Гладкая внутренняя поверхность сосуда начинает трескаться, на ней формируются небольшие кратеры. А если повреждена внутренняя поверхность сосудов, возникает воспаление, и в этом месте накапливаются клетки иммунной системы, призванные устранить воспаление. Кроме того, здесь начинают формироваться клетки, наполненные питательными жирами, которые называют пенистыми клетками. Вдобавок во время стресса симпатическая нервная система делает кровь более вязкой. А именно адреналин приводит к тому, что тромбоциты (кровяные тельца, способствующие свертыванию крови) начинают склеиваться друг с другом, и такие «склейки» тоже скапливаются в местах повреждений сосудов. Как мы увидим в следующей главе, во время стресса мы мобилизуем энергию, выбрасывая ее в кровь, в том числе жиры, глюкозу и «плохой» холестерин, и эти вещества тоже могут «застревать» в местах повреждений сосудов. Как и всевозможные фиброзные загрязнения. Так у нас начинают формироваться атеросклеротические бляшки (рис. 8).

Рис. 8. Здоровый кровеносный сосуд (слева) и кровеносный сосуд с атеросклеротическими бляшками (справа)
Следовательно, стресс может способствовать возникновению бляшек, увеличивая риск повреждения и воспаления кровеносных сосудов и приводя к тому, что сгустки в крови (тромбоциты, жир, холестерин и т. д.) начнут «прилипать» к этим воспаленным участкам. Уже много лет врачи пытаются оценить риск развития сердечно-сосудистых заболеваний, измеряя, сколько сгустков того или иного типа находится в крови. Прежде всего это, конечно, холестерин. Сегодня он вызывает такую панику, что даже производители яиц начали убеждать нас не злоупотреблять их переполненными холестерином продуктами. Высокий уровень холестерина, особенно «плохого» холестерина, конечно, увеличивает риск сердечно-сосудистых заболеваний. Но это не слишком надежный прогностический фактор; на удивление, многие из нас переносят высокий уровень «плохого» холестерина безо всякого вреда для здоровья, и только у половины жертв сердечных приступов обнаруживается повышенный уровень холестерина.
В последние годы выяснилось, что количество поврежденных, воспаленных кровеносных сосудов – более точный прогностический фактор риска сердечно-сосудистых заболеваний, чем количество сгустков в крови. Это вполне понятно, ведь можно съедать по десятку яиц в день и не иметь никаких проблем с атеросклерозом, если у вас нет поврежденных сосудов, к которым могли бы «прилипать» сгустки; и наоборот, если поврежденных сосудов много, бляшки формируются, несмотря на «здоровый» уровень холестерина.
Как оценить вред от воспаления? Хорошим маркером оказалось вещество под названием С-реактивный белок (СРБ). Он вырабатывается в печени в ответ на сигнал о повреждении сосуда и мигрирует к поврежденному сосуду, где усиливает воспаление. Помимо прочего, это помогает локализовать в воспаленном участке «плохой» холестерин.
СРБ оказался намного лучшим прогностическим фактором риска сердечно-сосудистых заболеваний, чем холестерин, даже за много лет до начала болезни. Поэтому СРБ внезапно стал очень модным среди врачей и сегодня становится стандартом в диагностике состояния кровеносной системы.
Таким образом, хронический стресс может вызвать гипертонию и атеросклероз – накопление бляшек. Одна из самых наглядных демонстраций этого, имеющая практическое применение в обычной жизни, описана в работе физиолога Джея Каплана из Медицинской школы Боуман-Грей. Каплан взял за основу известную работу своего предшественника – физиолога Джеймса Генри (мы упоминали о нем в предыдущей главе), показавшего, что стресс, имеющий исключительно социальную природу, может вызывать у мышей гипертонию и атеросклероз. Каплан и его коллеги продемонстрировали похожий феномен у приматов, что сделало эту тему намного актуальнее для нас, людей. Соберите самцов обезьян в социальную группу, и очень скоро – от нескольких дней до месяца – они выяснят, каков их статус друг относительно друга. Как только возникла устойчивая иерархия подчинения, последнее место, которое вы хотели бы занимать, – в самом низу: здесь вы подвергаетесь наибольшему количеству не только физических, но и психологических стрессоров, как мы увидим в главе 13, посвященной психологическому стрессу. Такие подчиненные самцы демонстрируют множество физиологических признаков хронической реакции на стресс. У этих животных часто развиваются атеросклеротические бляшки – их артерии засорены. А вот еще одно свидетельство того, что атеросклероз является результатом излишней активности симпатического компонента нервной системы при реакции на стресс: если Каплан давал обезьянам из группы риска препараты, подавляющие активность симпатической нервной системы (бета-блокаторы), бляшки у них не формировались.
Каплан показал, что риску подвергается и другая группа животных. Предположим, что мы постоянно меняем систему иерархии, каждый месяц перемещая обезьян в новые группы. При этом животные постоянно находятся в напряжении, они все время на неопределенной стадии выяснения статуса. В таких условиях обезьяны, которые пытаются занять место на вершине меняющейся иерархии, проявляют больше всего признаков соперничества и демонстрируют больше всего поведенческих и гормональных признаков стресса. Как оказалось, у них развиваются тонны атеросклеротических бляшек; у некоторых из этих обезьян даже происходят сердечные приступы (резкая блокада одной или нескольких коронарных артерий).
В целом обезьяны, подвергающиеся сильному социальному стрессу, имеют самый высокий риск формирования бляшек. Каплан показал, что это может происходить даже несмотря на диету с низким содержанием жиров. А это значит, как мы увидим в следующей главе, что жир, формирующий бляшки, мобилизуется из хранилищ в теле, а не поступает вместе с чизбургером, который обезьяна съела перед сложными переговорами (рис. 9). Но если объединить социальный стресс и диету с высоким содержанием жира, возникает эффект удваивания, и бляшки начинают формироваться с безумной скоростью.
Таким образом, стресс может увеличивать риск атеросклероза. Сформируйте достаточно атеросклеротических бляшек, чтобы серьезно затруднить кровоснабжение нижней половины тела, и получите хромоту, а ваши ноги и грудь начнут адски болеть из-за отсутствия кислорода и глюкозы, когда вы ходите; теперь вы кандидат на шунтирование. Если то же самое происходит с артериями, идущими в сердце, можно получить ишемическую болезнь сердца, ишемию миокарда и другие ужасные болезни.

Рис. 9
Но это еще не все. Если у вас сформировались бляшки, постоянный стресс может создать и другие проблемы. Возникает стрессовая ситуация – повышается артериальное давление. И когда кровь перемещается по сосудам с достаточной силой, бляшки могут начать отрываться и разрывать сосуды. Возможно, у вас сформировались бляшки в широком акведуке кровеносного сосуда, но они слишком мелкие, чтобы создать какие-то проблемы. Но если они оторвались и превратились в то, что называют тромбом, этот движущийся комок может попасть в намного более узкий кровеносный сосуд и полностью его заблокировать. Заблокируйте коронарную артерию – и получите инфаркт миокарда, сердечный приступ (такой маршрут тромба объясняет подавляющее большинство сердечных приступов). Заблокируйте кровеносный сосуд в мозге, и произойдет инфаркт мозга (инсульт).
Но и на этом неприятности не заканчиваются. Если хронический стресс повреждает кровеносные сосуды, каждый новый стрессор еще более разрушителен по дополнительной коварной причине. Она связана с ишемией миокарда – состоянием, возникающим, когда артерии, которые кормят сердце, забиваются настолько, что сердце частично лишается кровоснабжения, а значит – кислорода и глюкозы[15]. Предположим, возник какой-то острый стресс, но ваша сердечно-сосудистая система находится в хорошей форме. Вы возбуждены, симпатическая нервная система начинает работать. Сердечный ритм ускоряется, он сильный и скоординированный, и с каждым сердечным сокращением сила увеличивается. В результате сердечная мышца расходует больше энергии и кислорода. Поэтому артерии, идущие к сердцу, расширяются, чтобы поставлять сердечной мышце больше питательных веществ и кислорода. Все хорошо.
Но если вы сталкиваетесь с острым стрессором, а ваше сердце страдает хронической ишемией миокарда, вы в беде. Коронарные артерии не расширяются в ответ на активацию симпатической нервной системы, а сокращаются. Это очень сильно отличается от сценария, описанного в начале главы, когда сжимаются некоторые большие кровеносные сосуды, поставляющие кровь в те части тела, работа которых угнетается во время стресса. Вместо этого эти маленькие сосуды возвращают кровь прямо в сердце. Именно тогда, когда сердцу нужно больше кислорода и глюкозы, острый стресс еще больше закрывает и без того закупоренные сосуды, а это приводит к нехватке питательных веществ и вызывает ишемию миокарда. Это прямо противоположно тому, что нам нужно. Возникают сильные боли в груди – стенокардия. И оказывается, что достаточно короткого периода гипертонии, чтобы сосуды начали сжиматься. Поэтому хроническая ишемия миокарда, возникающая вследствие атеросклероза, может привести по крайней мере к сильным болям в груди – каждый раз, когда возникает какой-то физический стресс. Это прекрасная демонстрация того, что стресс чрезвычайно эффективно усугубляет проблемы, существовавшие ранее (рис. 10).

Рис. 10. Сердце, пораженное некрозом
В 1970-х годах методы кардиологии начали совершенствоваться, и кардиологи с удивлением обнаружили, что мы еще более подвержены проблемам в этой сфере, чем считалось раньше. При использовании прежних методов нужно было взять больного ишемией миокарда и присоединить его (мужчины более склонны к болезням сердца, чем женщины) к большому аппарату для снятия ЭКГ, разместить у него на груди большой рентгеновский аппарат и попросить его выполнять однообразные механические действия до тех пор, пока он сможет это делать. Как и следовало ожидать, при этом кровоснабжение сердца уменьшалось и у пациента возникали боли в груди.
Потом инженеры изобрели миниатюрный аппарат для снятия кардиограммы, который можно присоединить к себе, занимаясь обычными делами. Также существует передвижная система для электрокардиографии. И тут открылся один неприятный сюрприз: оказалось, что у людей из группы риска небольшие ишемические кризисы случаются в самых разных частях тела. Чаще всего ишемические эпизоды бывают «тихими» – они не дают предупреждающего болевого сигнала. Кроме того, такой эпизод может возникнуть в ответ на любой психологический стрессор – выступление перед публикой, сложное собеседование, экзамен. Согласно старой парадигме, если вы страдаете болезнью сердца, вам нужно начинать волноваться, если вы испытываете физический стресс и чувствуете боли в груди. Сегодня считается, что у тех, кто входит в группу риска, проблемы возникают при любых психологических стрессах в повседневной жизни и человек может о них даже не знать. Если в сердечно-сосудистой системе есть проблемы, она становится очень чувствительной к острым стрессорам, как физическим, так и психологическим.
И последняя плохая новость. Мы слишком много говорим о том, как стресс активирует сердечно-сосудистую систему. А как насчет того, чтобы «выключать» ее после того, как психологический стрессор перестал действовать? Как мы уже отмечали, сердечный ритм замедляется, когда парасимпатическая нервная система активирует блуждающий нерв. Возвращаясь к автономной нервной системе, не позволяющей нам одновременно жать одной ногой на газ, а другой – на тормоз: если у нас все время включена симпатическая нервная система, то постоянно отключена парасимпатическая. И поэтому нам сложнее замедлиться и расслабиться, даже в те редкие моменты, когда мы не испытываем никакого стресса.
Как можно выявить, что блуждающий нерв не выполняет свою работу и не успокаивает сердечно-сосудистую систему, когда действие стрессора уже закончилось? Врач может подвергнуть пациента небольшому стрессу, скажем попросить его позаниматься на беговой дорожке, а затем измерить скорость восстановления после окончания упражнений. Оказалось, что есть более тонкий, но более простой способ обнаружить проблему. Каждый раз, делая вдох, мы включаем симпатическую нервную систему, немного ускоряя сердечный ритм. А когда мы выдыхаем, включается парасимпатическая нервная система и активируется блуждающий нерв, замедляя процессы в теле (именно поэтому во многих видах медитации делается акцент на удлиненном выдохе). Поэтому во время вдоха интервал между двумя ударами сердца короче, чем во время выдоха. Но что, если хронический стресс притупил способность парасимпатической нервной системы активировать блуждающий нерв? В таком случае, когда мы выдыхаем, сердечный ритм не замедляется, интервал между двумя ударами сердца не увеличивается. Для измерения этого интервала кардиологи используют специальные мониторы. Заметная изменчивость (то есть короткие интервалы между двумя ударами на вдохе и длинные – на выдохе) означает, что у нас сильный парасимпатический тон, противодействующий симпатическому, и это хорошо. Небольшая изменчивость означает, что парасимпатическому компоненту сложно «затормозить» наше сердце. Это маркер того, что мы не только слишком часто включаем реакцию сердечно-сосудистой системы на стресс, но уже не можем ее выключить.
Внезапная остановка сердца
В предыдущих разделах мы говорили о том, как хронический стресс постепенно разрушает сердечно-сосудистую систему и каждый последующий стрессор делает ее еще более уязвимой. Но одна из самых поразительных и самых известных особенностей болезней сердца состоит в том, что во время действия стрессора часто возникают сердечные приступы. Человек получает неприятную новость; у него умерла жена; он потерял работу; домой возвращается ребенок, которого считают давно умершим; он выигрывает в лотерею. Человек плачет, кричит, ликует, вздыхает, задерживает дыхание, пораженный новостью. Вскоре он внезапно хватается за грудь и падает замертво от внезапной остановки сердца. Сильная негативная эмоция, например гнев, удваивает риск сердечного приступа в течение двух часов после ее появления. Так, во время судебного процесса над O. Дж. Симпсоном Билл Ходжман, один из обвинителей, начал испытывать боли в груди, когда в 20-й раз вскочил, чтобы возразить Джонни Кокрану, и даже упал в обморок (не волнуйтесь, он выжил). Из-за такой уязвимости сердечно-сосудистой системы для сильных чувств в каждом казино Лас-Вегаса есть дефибриллятор. Есть даже данные о том, что поездка в Нью-Йорк – серьезный фактор риска сердечного приступа[16].
Этот феномен хорошо изучен. В одном исследовании врач собрал газетные вырезки, где сообщалось о внезапной смерти от остановки сердца 170 человек. Он определил события, которые, по-видимому, были связаны с этими смертельными случаями: болезнь, смерть или угроза утраты близкого человека; острое горе; потеря статуса или унижение собственного достоинства; траур, годовщина смерти близких; физическая опасность; угроза травмы или период реабилитации после травмы; важная победа или сильная радость. Другие исследования подтвердили эти выводы. Во время войны в Персидском заливе в 1991 году уменьшение смертельных случаев в Израиле было связано с неисправностью ракет, а не с уменьшением частоты внезапной смерти от остановки сердца среди напуганных пенсионеров. Во время землетрясения в Лос-Анджелесе в 1994 году также был зафиксирован скачок количества сердечных приступов[17].
Фактические причины, очевидно, определить трудно (так как невозможно предсказать, что может произойти, и невозможно взять интервью у умерших людей, чтобы узнать, что они чувствовали), но в целом кардиологи согласны с тем, что внезапная остановка сердца – просто крайний вариант острого стресса, вызывающего желудочковую аритмию или, еще хуже, фибрилляцию желудочков и ишемию[18]. Как можно предположить, это связано с симпатической нервной системой и чаще происходит в поврежденной сердечной ткани, чем в здоровой. Человек может умереть от внезапной остановки сердца, даже если он никогда не страдал сердечными заболеваниями, несмотря на увеличенный кровоток в коронарных сосудах; однако вскрытие часто показывает, что у таких людей был выраженный атеросклероз. Иногда происходят и совершенно загадочные случаи, когда жертвами внезапной остановки сердца становятся здоровые на первый взгляд 30-летние люди, не страдавшие атеросклерозом.
Фибрилляция представляется самым важным событием в случае внезапной остановки сердца, по данным исследований на животных (например, десять часов стресса делают сердце крысы более уязвимым для фибрилляции в течение нескольких следующих дней). Как одна из причин мышца больного сердца становится более электрически возбудимой и поэтому склонной к фибрилляции. Кроме того, активация стимулирующих сердце факторов во время сильного стресса становится хаотичной. Симпатическая нервная система посылает в сердце две симметричные проекции нервных путей; теоретически во время сильного эмоционального возбуждения эти две проекции настолько активированы, что теряют координацию между собой, – сильная фибрилляция сжимает грудь, и человек падает.
Смертельные удовольствия
Среди разных причин внезапной остановки сердца особенно интересна одна: важная победа или сильная радость. Рассмотрим сценарий, когда человек умирает, узнав о том, что выиграл в лотерею, или когда смерть наступила во время секса, – но здесь человек, по крайней мере, умирает счастливым. (Несколько десятилетий назад такой случай произошел с бывшим вице-президентом США, медицинские подробности инцидента стали объектом особенно тщательного изучения, потому что пациент был обнаружен не в обществе законной жены.)
Возможность умереть от удовольствия кажется абсурдом. Разве стрессогенные заболевания возникают не из-за стресса? Разве радостное событие может уничтожить нас точно так же, как и внезапное горе? Дело в том, что проявления и того и другого с физиологической точки зрения очень похожи. Сильный гнев и сильная радость оказывают разное влияние на физиологию репродуктивной системы, на функцию роста, скорее всего, и на иммунную систему; но относительно сердечно-сосудистой системы их влияние очень похоже. Повторим еще раз, мы имеем дело с основным понятием физиологии стресса, объясняющим похожие реакции на разные ситуации: неважно, слишком жарко или слишком холодно, добыча мы или хищник, – некоторые органы нашего тела, в том числе сердце, не интересует, в каком направлении мы выбиты из аллостатического равновесия, их интересует только степень дисбаланса. Когда мы рыдаем и бьемся головой о стену от горя или прыгаем и кричим в экстазе радости, и то и другое предъявляет серьезные требования к больному сердцу. Иначе говоря, наша симпатическая нервная система, вероятно, оказывает примерно одно и то же воздействие на коронарные артерии, переживаем ли мы слепую ярость или потрясающий оргазм. У диаметрально противоположных эмоций может быть удивительно похожее физиологическое выражение (это напоминает мне известное высказывание Эли Виезеля, писателя и нобелевского лауреата, пережившего холокост: «Противоположность любви – не ненависть. Противоположность любви – безразличие»). Когда дело доходит до сердечно-сосудистой системы, гнев и экстаз, горе и радость становятся одинаковым вызовом для аллостатического равновесия.
Женщины и болезни сердца
Несмотря на то что у мужчин сердечные приступы случаются чаще, чем у женщин, болезни сердца – основная причина смерти среди женщин в Соединенных Штатах – 500 тысяч случаев в год (по сравнению с 40 тысячами смертельных случаев в год от рака молочной железы). И количество сердечных болезней среди женщин растет, а смертность от сердечно-сосудистых заболеваний среди мужчин снижается уже несколько десятилетий. Кроме того, при одинаковой тяжести сердечных приступов у женщин они в два раза чаще приводят к инвалидности, чем у мужчин.
О чем говорят эти данные? Повышенная вероятность инвалидности после сердечных приступов может оказаться эпидемиологическим казусом. Женщины все еще реже подвергаются сердечным приступам, чем мужчины, и в среднем приступы у них начинают возникать на десять лет позже. Поэтому, если у мужчины и женщины случается одинаково серьезный сердечный приступ, то женщина, согласно статистическим данным, будет на десять лет старше мужчины. И поэтому ей будет сложнее восстановиться.
Но что можно сказать по поводу роста заболеваемости сердечными болезнями среди женщин? Она связана с различными факторами. В США ожирение является серьезной проблемой прежде всего среди женщин, а оно увеличивает риск болезней сердца (как мы увидим в следующей главе). Кроме того, хотя количество курильщиков в США продолжает уменьшаться, среди женщин оно падает медленнее, чем среди мужчин.
Естественно, стресс тоже играет важную роль. Каплан и Кэрол Шивели изучали иерархию подчинения самок обезьян и отметили, что у животных, хронически занимающих подчиненное положение, атеросклероз возникает в два раза чаще, чем у доминирующих самок, даже при диете с низким содержанием жира. Данные, связанные с социальной иерархией, получены и в исследованиях на людях. Рост количества сердечно-сосудистых заболеваний у женщин начался в тот период, когда они стали активно работать вне дома. Может быть, при этом возникает стресс? Некоторые исследования показали, что работа вне дома не увеличивает риск сердечно-сосудистых заболеваний у женщин. При условии, что они не заняты канцелярской работой. И при условии, что у них хорошие отношения с боссом. Так что попробуй разберись. И просто чтобы развеять миф о том, что чем больше женщин работают вне дома, тем больше мужчин берут на себя ведение домашнего хозяйства, я могу назвать еще один фактор, увеличивающий риск сердечно-сосудистых заболеваний у женщин, работающих вне дома, – наличие детей.
Почему же стресс повышает риск сердечно-сосудистых заболеваний у самок приматов и у женщин? Из-за действий наших «главных подозреваемых» – слишком сильного возбуждения симпатической нервной системы, слишком обильной выработки глюкокортикоидов. Но здесь есть дополнительный фактор, вызывающий весьма противоречивые оценки, – эстроген.
Когда было опубликовано предыдущее издание этой книги, эстрогены никого не интересовали. Уже в течение многих десятилетий было известно, что эстроген защищает от сердечно-сосудистых заболеваний (а также от инсульта, остеопороза, а возможно, и от болезни Альцгеймера) главным образом потому, что эстрогены действует как антиоксидант, избавляя тело от вредных свободных радикалов кислорода. Это объясняет, почему серьезные сердечные заболевания у женщин часто возникают после менопаузы, когда падает уровень эстрогенов. Это было широко известно и являлось одним из оснований для гормональной терапии эстрогенами после менопаузы.
На важную роль эстрогенов в защите от сердечно-сосудистых заболеваний указывают не только статистика заболеваемости среди населения, но и серьезные экспериментальные исследования. Как мы увидим в главе 7, стресс приводит к снижению уровня эстрогенов, и у самок обезьян Каплана, имевших подчиненный статус, уровень эстрогена был таким же низким, как и у обезьян с удаленными яичниками. А если самке, в течение многих лет имевшей низкий статус, давали синтетический эстроген, повышая его уровень до уровня, характерного для доминирующих самок, то риск атеросклероза у нее снижался. Удалите яичники самки с высоким статусом, и она рискует заболеть атеросклерозом. Выводы таких исследований казались однозначными.



